网站首页  词典首页


请输入您要查询的字词:

 

字词 茶叶霉菌检验
类别 中英文字词句释义及详细解析
释义

茶叶霉菌检验moulds inspection oftea

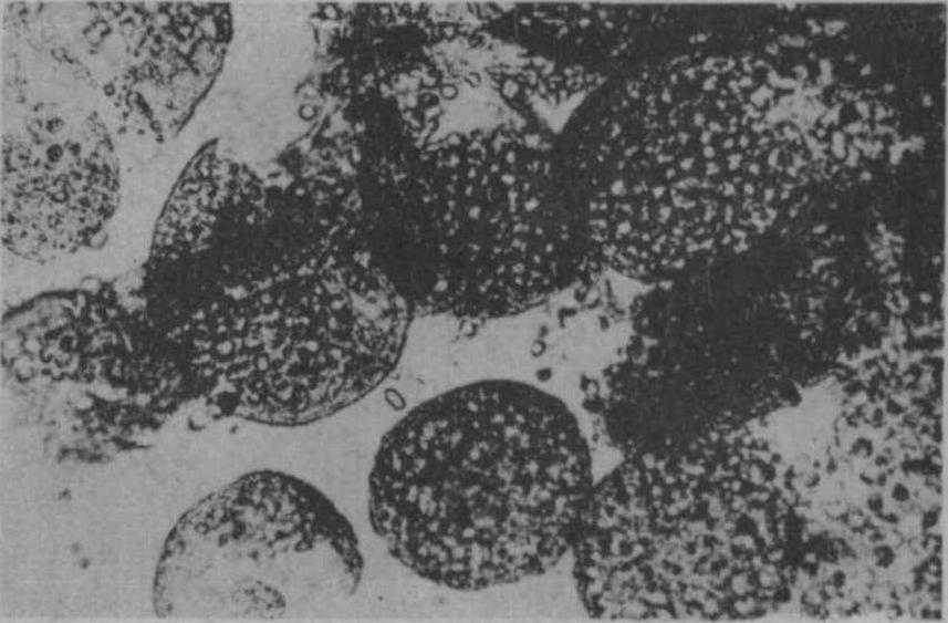
茶叶检验之一。检测成品茶中霉菌含量的技术措施。成品茶受外界温、湿度等影响, 易为霉菌所滋生。有的属有益霉菌,如茯砖中的灰绿曲霉(图1),由于它的多酚氧化酶和纤维分解酶的作用, 能促使成茶香味纯和。个别的属有害毒菌, 如黄曲霉。


图1 灰绿曲霉子囊果


茶叶中的霉菌, 主要是曲霉属与青霉属。曲霉属中灰绿曲霉存在比较多, 其次是黑曲霉、米曲霉、毛霉、蜡叶枝孢霉、互隔交链孢霉、新月弯孢霉、镰刀霉、簇孢匍柄霉等(图2、3、4)。


图2 青霉


图3 黑曲霉


图4 米曲霉


检验霉菌的方法与步骤
样品稀释液的制备 准确称取茶样5克, 放入装有45毫升无菌水的250毫升三角瓶中, 充分振荡20分钟, 即成10-1稀释液; 再用一支无菌吸管吸取10-1稀释液1毫升移入装有9毫升无菌水的试管中, 制成10-2稀释液, 如此继续, 制成10-4的稀释液。待测菌液稀释度的选择, 应根据不同茶类而定。一般茶样含霉菌数量愈多, 则菌液的稀释度也应愈高。如检测压制茶类的霉菌,待测菌液稀释度就应比一般散茶类高。
混合平板接种培养 将上述四种稀释度的菌液分别各吸取1毫升移入无菌培养皿内。然后分别倒入45~50℃马铃薯蔗糖琼脂培养基。使菌液与培养剂混匀制成平板。如此重复三次后,送28~30℃的培养室培养4~5天, 检查霉菌种类和计数。
观察鉴定 主要根据以下特征: ❶菌丝有隔或无隔;
❷菌丝体透明或暗黑、有色或无色;
❸是否产生有性孢子、孢子的类型(卵孢子,接合孢子或子孢子);
❹无性孢子的类型(孢子囊孢子、分生孢子、关节孢子);在显微镜下的形状,特别是分生孢子的形状大小、颜色、光滑或粗糙以及孢子的数目;
❺孢子囊的大小、形状、颜色、位置、以及孢子梗的形态、排列等, 孢子囊的外观;
❻其它特殊结构的存在, 如厚膜、菌核等。
计数 从接种后的三个稀释度中, 选择一个合适的稀释度, 同一种稀释度几次重复的菌落平均数乘以稀释倍数, 即得每克茶样中所含的霉菌数。

茶叶霉菌检验mould inspection of tea

对成品茶中霉菌含量的检测。茶叶中霉菌主要有曲霉属与青霉属,曲霉属中灰绿曲霉存在较多,它是茯砖(砖块形蒸压黑茶之一)中的有益霉菌,能使砖茯香味纯和;其次是黑曲霉、米曲霉、毛霉、蜡叶枝孢霉、互隔交链孢霉、新月弯胞霉、镰刀霉等。检验方法:
❶制取101-44种菌液稀释液,霉菌数量愈多,菌液稀释度愈高。
❷混合平板接种培养。将上述4种稀释菌液,分别移取1 ml入无菌培养皿中,分别加45~50℃马铃薯蔗糖琼脂培养基,制成平板送入28~30℃的培养箱中,培养4~5天。
❸鉴定霉菌种类和计数。从接种后的3个稀释度中,选择1个合适的稀释度,同一种稀释度几次重复的菌落平均数乘以稀释倍数,即得每克茶样所含的霉菌数。

随便看

 

离鸟网收录3541549条中英文词条,其功能与新华字典、现代汉语词典、牛津高阶英汉词典等各类中英文词典类似,基本涵盖了全部常用中英文字词句的读音、释义及用法,是语言学习和写作的有利工具。

 

Copyright © 2004-2024 vtrois.com All Rights Reserved
更新时间:2026/4/19 20:33:11