网站首页  词典首页


请输入您要查询的字词:

 

字词 肿瘤细胞的超微结构
类别 中英文字词句释义及详细解析
释义
肿瘤细胞的超微结构

肿瘤细胞的超微结构

肿瘤的超微结构主要是指在电子显微镜下观察到的肿瘤的亚显微结构。对肿瘤超微结构的研究,加深了对肿瘤形态及生物学特性的了解。有些肿瘤分化较低,在光学显微镜下不易识别其来源,可从超微结构所见加以区分。对于了解肿瘤与机体的相互关系 (如癌细胞的浸润及机体对肿瘤的反应)也很有帮助。某些肿瘤细胞内的病毒颗粒,也只有在电镜下才能直接看到。近代电镜各种新技术的发展,还可采用免疫、组织化学、放射自显影、冰冻蚀刻等方法更深入地研究肿瘤的细微结构、组织发生、动态变化及治疗反应等。近年来,肿瘤超微结构的观察,也逐渐应用于诊断一些光学显微镜下不能肯定组织类型的肿瘤。然而,到目前为止,从肿瘤的超微结构中,尚未发现肿瘤细胞中有特异性成分,可用以区分肿瘤细胞与非肿瘤细胞,或良性与恶性肿瘤细胞。在电镜下,观察范围很小,有较大的局限性。因此必须在光镜观察的基础上,有针对性地,进行对比观察,才能收到应有的成效。恶性肿瘤细胞的超微结构具有分化低、异型性、蛋白质合成及细胞分裂功能旺盛等特点。
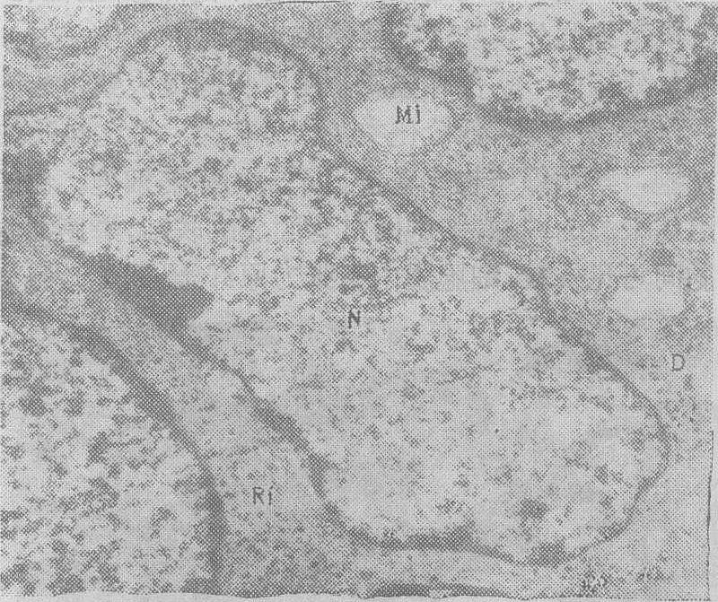
(1) 分化低: 恶性肿瘤根据其分化程度大致可分为三类,即较高分化类、低分化类及未分化类。分化较高的恶性细胞,其微细结构比较接近正常的成熟细胞。例如上皮组织来源的肿瘤,细胞间常有明显的联结;鳞癌细胞的细胞间可见桥粒,细胞质内有张力原纤维(图1),腺癌细胞间可见桥粒及紧密联结,细胞质内有丰富的粗面内质网(图2),也可有分泌泡或分泌颗粒。低分化恶性细胞的超微结构尚保留一定程度类似其发生组织的分化特点,借以判断其组织来源。如低分化鳞癌中,细胞质中仍可见少量张力原纤维,细胞间有少数发育不好的桥粒;在低分化腺癌中,细胞质内泡状系统(粗面内质网及高尔基复合体)较发达,有少量分泌泡或分泌颗粒,细胞间可见少量桥粒及紧密联结或微腺腔。未分化恶性肿瘤基本失去原有组织的分化特点,细胞质内有丰富的核蛋白体,其他细胞器很少,如系从上皮组织来源的未分化癌,仅见极少的细胞间联结,且发育很差(图3)。

图1 高分化鳞状细胞癌。细胞内可见散在分布的张力原纤维(TF),细胞间可见多个桥粒(D)×7500


图2 高分化腺癌。癌细胞呈柱状,细胞腔面有少数微绒毛,胞质内有较丰富的粗面内质网及少量线粒体,核形不规则,细胞间可见紧密联结及桥粒×5600


图3 未分化癌。癌细胞核(N)大,细胞质少,主要系核蛋白体(Ri),细胞间有少量发育不好的桥粒(D),Mi: 线粒体×15000


在同一例恶性肿瘤中,绝大部分细胞的分化程度倾向一致,但其中也有差异。在大部分分化较高的瘤细胞中,也可有少数分化较低的细胞,此类细胞数量虽少,但在浸润、转移方面常有重要的作用。反之,在大部分由未分化瘤细胞组成的瘤组织中,也可有少数分化较高的细胞,可借此判断肿瘤组织的来源。即使在同一种肿瘤细胞内的各种成分,如胞核、胞质、胞膜,或胞质内不同细胞器的分化程度也可以不同步,其中有的分化较高,有的分化较低。有些恶性肿瘤组织或细胞具有双相性分化的特性,即在同一例瘤组织内,有两种不同组织来源的瘤细胞,或在同一瘤细胞内具有两种不同组织来源的细胞分化; 其中常见的是在同一癌细胞中,既可看到鳞状上皮细胞的、又可看到腺上皮细胞的分化特点,即胞质内既有张力原纤维,又有较丰富的泡状系统和分泌泡,或细胞呈腺上皮排列并形成腺腔。在鼻咽癌、肺癌、乳腺癌、子宫颈癌、肠癌中,亦可偶见这类双相性分化特点。此外,在一些胃癌细胞中,既可见到肠上皮细胞的特点,如肠型微绒毛及粘液分泌泡,也可看到胃粘膜上皮细胞的特点,如胃型粘液泡及微绒毛。有的肿瘤组织可有上皮细胞的及间叶细胞的双相性分化的特点,例如滑膜肉瘤内有上皮样成分,其细胞间可见桥粒,还有成纤维细胞样成分;间皮瘤亦然。(2) 异型性: 恶性肿瘤有分化低的特点,但与胚胎发育过程中分化低的胚胎细胞及成熟个体中的幼稚细胞不尽相同,表现在组织与细胞结构上有不同程度的畸变,称异型性变。过去曾有人将低分化与异型性两个不同的概念混同起来。实际上,低分化肿瘤的异型性不一定大(如成视网膜细胞瘤与胚胎性视网膜相比较),而异型性显著的瘤细胞分化不一定低(如多形性鳞状上皮癌,多形性纤维肉瘤)。异形性包括组织结构的异型性与细胞异型性。前者表现在细胞排列的相互关系上,即所谓细胞的极向,恶性肿瘤组织常呈极向紊乱,此种特点在光学显微镜下容易识别;而细胞异型性包括细胞形状、大小及细胞内部结构的变化,特别是后者,只有在超微结构的检查中才易识别。异型性的核可见核膜常呈齿状曲折,有的凹陷很深,使核变成畸形。由于核膜内陷,部分细胞质随同核膜陷入核内,形成假包涵体(图4)。有的核周间隙在局部或整体有明显的扩张,核仁的形状也可显示出多样性。细胞器也可见异型性变,如线粒体分布不规则,有些区域很多,有些区域很少;形状大小也可不一,呈分枝状、线状、圈状或马蹄状。线粒体的嵴一般减少,方向亦乱。粗面内质网亦有异型性变,有的区域密集,有的区域稀少,有的排列呈同心圆状,有的呈指纹状,或有明显的扩张。细胞联结的分布亦不均匀,有的区域可以多个成串出现,有的区域很少。桥粒的长短及发育也不一致。细胞表面的微绒毛稀疏与长短可以不一,肠型微绒毛的轴丝,其细胞内部分,也可表现出方向错乱与深度不一。

图4 鳞癌细胞。核膜凹陷明显,核(N)呈畸形,有假包涵体(PI)形成。胞浆内张力原纤维(TF),胞间有桥粒(D)×20000


(3)蛋白质合成及细胞分裂功能旺盛: 蛋白质合成虽是一种功能状态,但在形态上也有各种表现。首先是核的体积大,核内常染色质丰富;核仁大,且数目增多;核周间隙扩大,核膜孔明显可见。核虽然一般都增大(即核浆比例大)(图5),但有少数恶性肿瘤如有的甲状腺癌,胞核常无明显增大。此外,如印戒细胞癌,细胞质被大量粘液泡所占据,核被挤向一侧,显得反而变小。有的恶性肿瘤细胞核中常染色质十分明显,异染色质在近核膜处较多,在光学显微镜下形成核膜深染,核显得空而明亮,即所谓空泡状核。在电镜下观察,此种核的明亮区域,仍可见到稀疏的细颗粒状结构,即常染色质区。另一类核的异染色质较明显,聚集成小块,散在分布于核中。在光学显微镜下,亦可见核中有深染的染色小块,与周围明亮区域成清楚的对比。核仁常显著增大,一般为圆形,也可为椭圆形,或为不规则形,位于核中心,或近核膜处,或横跨核内。核仁内部的结构呈海绵状,即在电子密度大的区域间,有密度小的区域;或呈盘绳状,即电子密度大的区域与电子密度小的区域分层相间出现;或呈实体状,即成为完全致密的区域。有人曾用放射自显影及分层离心法观察白血病细胞在细胞动力学周期中,核的超微结构有变化,发现异染色质与常染色质的比例,核仁的大小、形状及位置与细胞动力学周期有一定关系。核及核仁的各种超微结构变化,说明癌细胞处于细胞动力学周期的不同阶段。恶性肿瘤中核分裂象也比较多见,其超微结构的变化,除分极有时不对称外,与正常细胞的核分裂类似。细胞质内游离核蛋白体比较丰富,主要是合成瘤细胞本身增殖所需的蛋白。

图5 癌细胞核及核仁(Nu)明显增大,核仁致密,细胞质少×18000


以上三个方面的改变,可以不同程度地表现在同一个瘤细胞内。恶性肿瘤细胞超微结构的改变虽可多种多样,但总的说来,表现在胞膜、胞质及胞核的各种改变上。
人体恶性肿瘤活检组织或其组织培养的电镜观察,在某些肿瘤的细胞核、细胞质或细胞间隙中可见类病毒颗粒。目前比较肯定的有伯基特淋巴瘤与鼻咽癌,在子宫颈癌、乳腺癌、肝癌、白血病中也有发现。此种颗粒是否就是病毒;如果是病毒,是“致瘤病毒”还是“过客病毒”(Passenger Virus)? 均待进一步研究阐明。在肿瘤细胞超微结构的观察中,即使未见到病毒颗粒,也不能否定病毒病因的可能性。因为有的病毒进入细胞后,病毒基因已与细胞染色质中的DNA整合,而不显示完整的病毒颗粒。
☚ 间叶性软组织肿瘤   癌旁组织的超微结构 ☛
00017858
随便看

 

离鸟网收录3541549条中英文词条,其功能与新华字典、现代汉语词典、牛津高阶英汉词典等各类中英文词典类似,基本涵盖了全部常用中英文字词句的读音、释义及用法,是语言学习和写作的有利工具。

 

Copyright © 2004-2024 vtrois.com All Rights Reserved
更新时间:2026/4/18 9:47:12