网站首页  词典首页


请输入您要查询的字词:

 

字词 肿瘤的超微结构与鉴别诊断
类别 中英文字词句释义及详细解析
释义
肿瘤的超微结构与鉴别诊断

肿瘤的超微结构与鉴别诊断

电镜观察比光镜观察较易看到肿瘤细胞的分化特点,因此,对某些在光镜下难于鉴别其来源的肿瘤,特别是转移瘤,电镜观察在判断上有一定的意义。
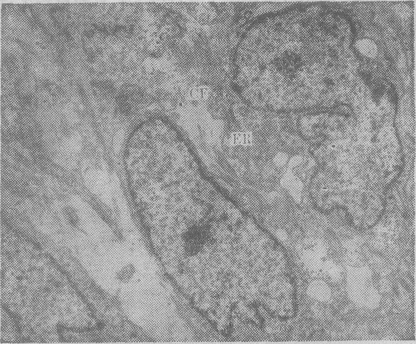
(1) 癌与肉瘤的区别: 从上皮组织及腺组织来源的恶性肿瘤——癌,有一个共同的特点,即细胞间均可见到联结结构,其中最常见的是桥粒。从柱状上皮及腺上皮来源的癌,还可有中间联结及紧密联结。肉瘤细胞虽常互相紧靠,但一般看不到胞间联结,而常可看到一些胶原纤维等间质(见图),但也有例外,如滑膜肉瘤、脑膜瘤、间皮瘤及个别软骨肉瘤等。在癌细胞间一般虽可见到胞间联结,但当分化很低时,胞间联结就很难找到,并且发育很差。有些癌细胞变成长梭形,而且分散,在光镜下易被误认为肉瘤,但在电镜下则可以根据癌的分化特点加以鉴别。

纤维肉瘤细胞。细胞略呈长梭形,粗面内质网(ER)丰富,核有畸形,细胞间有胶原纤维(CF)×6400


(2)鳞癌与腺癌的区别: 分化较高的鳞癌与腺癌在光镜下容易鉴别,但在低分化癌,有些鳞癌的细胞可出现腺体样排列,而低分化的腺癌又可呈现弥漫分布,鉴别比较困难。在电镜下,鳞癌的细胞质内总有多少不等的张力原纤维,细胞间的桥粒也比较明显,而腺上皮来源的肿瘤,细胞内泡状系统比较发达,有时可见分泌泡或分泌颗粒,或有微腺腔形成。
(3)肠型胃癌与肠癌的区别: 胃粘膜与肠粘膜的组织结构有明显差别,因此不难区分。但在胃癌中,大多数病例有肠型化生,与肠癌十分类似,二者均可有肠型微绒毛,即在微绒毛中心有细丝组成的轴心,并有类似肠腺中杯状细胞的粘液分泌泡。但以下两点在鉴别上有一定意义:
❶在胃癌细胞中,常有细胞内微囊出现,而在肠癌细胞中极难见到;
❷在肠型胃癌中有时尚可保留一部分胃型上皮的特点。如胃型粘液分泌泡中,有一电子密度大的核样体,此外可见细胞表面有胃型微绒毛。
(4) 内分泌腺肿瘤与一般腺上皮肿瘤的区别: 二者的粗面内质网都比较发达,但内分泌腺肿瘤细胞的粗面内质网有一定特点,即常呈短小多层平行排列的内质网,而其他腺上皮肿瘤的粗面内质网常分散排列,或较长。此外,在内分泌腺肿瘤中,可见到电子密度大的分泌颗粒,在颗粒外有质膜包绕。
(5) 恶性软组织肿瘤的区别: 恶性软组织肿瘤中,恶性纤维性组织细胞瘤、多形性脂肪肉瘤及多形性横纹肌肉瘤,有时在光镜下不易区分,用电镜观察有助于鉴别。在恶性纤维性组织细胞瘤中有中等粗的微丝(100),多分布于核周,脂质仅限于黄色瘤细胞中;多形性脂肪肉瘤的成脂细胞中可见较多的脂质,溶酶体也显著;在多形性横纹肌肉瘤中,可见细微丝及粗微丝(75及220),有时可见肌节,糖元丰富。
(6)星形胶质细胞瘤与室管膜瘤的区别: 在室管膜下的星形胶质细胞瘤,与室管膜瘤有时在光镜下不易区分,电镜下,根据分化程度及异型性大小,可将星形细胞瘤分为四级。级别低者,瘤细胞类似正常星形细胞,细胞的大小与形状比较规则,排列疏松,细胞内有多少不等的胶质纤维;级别高者,细胞排列较密,异型性显著,常有多核巨细胞出现,细胞内极少胶质纤维,微管与核蛋白体较多。在室管膜下的星形胶质细胞瘤中,常混有少量室管膜细胞。室管膜瘤细胞多数呈多边形或梭形;分化低者,细胞内核蛋白体较多,其他细胞器少;分化较高者,细胞内可见较丰富的粗面内质网、线粒体与微管等。瘤细胞有时呈菊花样排列,细胞间可见中间或紧密联结。在少数细胞内或其表面可见纤毛。在室管膜瘤中,也可混有少量星形细胞。
(7) 无色素性黑色素瘤与未分化癌的区别: 有的黑色素瘤,在光镜下不易看到色素,很难与未分化癌区别;而在电镜下观察,此种细胞内可见到黑色素前体颗粒。
☚ 癌旁组织的超微结构   肿瘤的组织化学变化 ☛
00017860
随便看

 

离鸟网收录3541549条中英文词条,其功能与新华字典、现代汉语词典、牛津高阶英汉词典等各类中英文词典类似,基本涵盖了全部常用中英文字词句的读音、释义及用法,是语言学习和写作的有利工具。

 

Copyright © 2004-2024 vtrois.com All Rights Reserved
更新时间:2026/4/19 22:46:57