网站首页  词典首页


请输入您要查询的字词:

 

字词 核型多角体病
类别 中英文字词句释义及详细解析
释义

核型多角体病nuclear polyhedrosis

桑蚕病毒病的一种,由桑蚕核型多角体病毒感染而引起。桑蚕发病后,血液变成乳白色(白茧种)或略带黄色,皮肤易破裂,最后流出乳白色病变血液而死亡。又称脓病,俗名体腔型脓病、拖白水、高节、白肚、肥公(广东省)等。欧洲养蚕业者称此病为黄胆病或脂肪病。
核型多角体病毒是昆虫病毒中发现最早的一类病毒。《陈旉农书·蚕桑叙》 (1149)中,已有“伤湿即黄肥、伤风即节高、沙蒸即脚肿”等症状记述。核型多角体病的发生,凡养蚕的国家和地区几乎都有发生,中国的不同养蚕地区,不同养蚕季节都有发病,是为害普遍的传染性蚕病之一。
核型多角体病的病原,经长期研究,直到1912年冯·帕劳伐采克氏(Von prowazek)实验证明是滤过性病毒。又经过长时期的争论和研究,日本人北岛钺雄(1927)等先后通过滤过试验而再次证实了核型多角体病病原为滤过性病毒。40年代后期开始,对核型多角体病毒的形态、结构、化学性质、增殖方式、发病条件等逐步进行广泛的研究。
病原 蚕核型多角体病毒属杆状病毒科,学名为Bombyx mori Nuclear Polyhedrosis Virus简称NPV。病毒粒子呈杆状,长宽为330×80毫微米,沉降系数为1870S,为双链脱氧核糖核酸(dsDNA),含量为7.9%,分子量80~100×106,编码为D/2∶80~100/8~15∶U/E:1/0(图1)。
蚕受病毒感染后,在细胞核内形成一种特异的产物,称多角体。它是一种结晶的蛋白质,其中包埋着许多病毒粒子。由于这些多角体在细胞核内形成,故称核型多角体。核型多角体病毒依赖着多角体蛋白的


图 1 核型多角体病毒



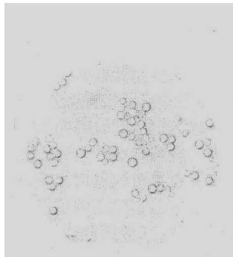
图 2 核型多角体

保护,对不良环境有较强的抵抗力,被碱性溶液溶解而释放出来的病毒和游离在多角体外的病毒粒子称游离病毒,对环境的抵抗力很弱。核型多角体直径为2~6微米,平均3.2微米,多数为比较整齐的六角形,偶尔产生四角或三角形大小不一的变异型(图2)。核型多角体中含病毒3~5%,其余都是由10多种氨基酸组成的多角体蛋白质。多角体蛋白质分子量28,000,此外多角体中还含有硅、铁、镁等微量元素。
病毒对物理、化学因子的稳定性与病毒的存在环境及温度高低有密切的关系,游离的病毒,在37.5℃中约经1天即失去致病力,在含1%甲醛的溶液中经3分钟、0.3%有效氯的漂白粉液中经1分钟即失去致病力。而核型多角体内的病毒,在常温下可保存2~3年仍具有致病力。在夏秋季日光下曝晒经2天以上,用2%甲醛溶液消毒经15分钟; 0.3%有效氯的漂白粉液或1%石灰浆消毒3分钟,都可使核型多角体内的病毒失去致病力达到养蚕消毒的要求,所以,养蚕生产上的防病消毒主要是针对多角体内的病毒。
传染 核型多角体病主要传染来源,是病蚕尸体及其流淌的脓汁,以及患有核型多角体病的桑蟥、野桑蚕等桑田害虫。病原侵入蚕体的途径,以食下传染为主,在人工接种情况下,创伤传染的发病率比食下传染率高。
感病初期,血球细胞核的染色质先出现凝集,形成具有光泽的小颗粒(多角体原),逐渐增多,形体也由小逐渐变大,形成多角体。多角体充满在病细胞核内,病核的体积也随之膨大,染色体被挤在一边。其后核内多角体的数量越来越多,直到核内不能容纳而破裂,整个血球细胞也跟着破裂,多角体便游离到血液中。此外,还有从病蚕脂肪组织和其他组织细胞中相继破裂而游离至血液中的多角体,更增加了血液的混浊度,由于皮肤细胞的破坏,体壁极易破裂,流出含有大量多角体和病毒的病变血液,是重要的传染源。
蚕的染病潜伏期长短、发病率高低,因蚕龄及发育阶段而有差别。在不同发育阶段中,以蚁蚕最易感染; 在同1龄期中以起蚕和将眠蚕最易感染。蚁蚕或起蚕感染,当龄眠前发病; 龄末感染的,一般在次龄发病。在同样数量的病毒经口感染下,发病率的高低,又与品种、发育阶段、外界环境条件有密切的关系。小蚕较大蚕抗病力弱,发病率高; 同1龄期,起蚕抗病力弱,食桑后显著增强,到将眠时又易感染。外界环境条件适应蚕体生理要求时,蚕的抗病力强。
病征 核型多角体病在各个龄期和各发育阶段都有发生。患病蚕由于发育阶段不同,外表症状也有差别,但都表现出本病所特有的病症,即体色乳白、体躯肿胀、狂躁爬行、体壁易破、尸体易腐败、有腥臭。幼虫发病初期无明显症候,食桑始终不会中断,随着病情的发展,小蚕期发病皮肤表面总是呈现光泽,它们大多不能入眠,成不眠蚕而爬行在蚕座内。大蚕期发病皮肤表现肿胀,各环节高胀起来称脓蚕。相反,也有在环节间膜肿胀的称为高节蚕。发病后期,病蚕在蚕座内到处爬行,作不规则的转圈运动或爬出蚕匾之外,堕落地上而死。乱爬时,皮肤自然破裂而流出脓汁,就很快死亡腐烂。除此之外,还有一些特殊病状,如腹脚为焦黑,气门四周形成大黑斑。在各龄起蚕时期发病的,病症与上述情况有一定差异,皮肤不但不表现紧张状态,反而发生许多皱折,呈起缩状。5龄后期感染,有部分能营茧化蛹。病蛹体色暗褐,体壁易破,流出浓汁,污染茧层成污染茧。患病蛹能维持生命到化蛾的极少。
诊断与防治 患核型多角体病的蚕,一般都开始出现在迟眠蚕(青头蚕)中。此后陆续发生时,则情况变化多样。病蚕诊断,有肉眼诊断和显微镜诊断。肉眼鉴别的依据是: 体壁紧张,体色乳白,环节肿胀,爬行不止,破其体皮,滴出的血液不透明或乳白色,均为本病的特征。在肉眼诊断不能肯定时,取病蚕血液用600倍显微镜检查有无多角体存在,在镜检时常遇多角体与脂肪球相混,不易区别,遇此情况,可在被检查标本中加1滴苏旦Ⅲ(sudan Ⅲ)染色液,多角体不着色,脂肪球被染成橙红色。
核型多角体病的防治,必须采取消灭病原感染、提高饲料质量和改善饲养环境等综合措施。❶蚕室蚕具进行严格的药剂消毒,凡蚕室贮桑室及养蚕所用蚕具,在每次养蚕之前,必须依照养蚕消毒规范,履行消毒(见蚕室蚕具消毒)。
❷饲养中发现核型多角体病蚕时,必须及早拣出除去,以免排脓散布病毒,造成再次感染。病蚕必须投入石灰浆中浸泡消毒,然后倾弃深埋土中。 蚕㯩沙必须制作堆肥, 待腐熟后方可施用。 并用新鲜石灰粉施行蚕体蚕座消毒 (见蚕体蚕座消毒)。
❸除沙、给桑、分匾等技术处理必须细心,防止由于操作粗暴而引起蚕体损伤,造成创伤传染机会。
❹做好桑园除虫工作,防止桑树害虫将核型多角体病毒带入蚕室造成传染。
❺根据技术条件和饲养季节,选择适当的蚕品种,掌握温、湿度,注意桑叶选择贮藏,防止不良气体的接触,提高蚕体的抗病力(见养蚕)。
随便看

 

离鸟网收录3541549条中英文词条,其功能与新华字典、现代汉语词典、牛津高阶英汉词典等各类中英文词典类似,基本涵盖了全部常用中英文字词句的读音、释义及用法,是语言学习和写作的有利工具。

 

Copyright © 2004-2024 vtrois.com All Rights Reserved
更新时间:2026/4/21 7:18:12