网站首页  词典首页


请输入您要查询的字词:

 

字词 子宫内膜周期变化
类别 中英文字词句释义及详细解析
释义
子宫内膜周期变化

子宫内膜周期变化

在卵巢激素作用下,育龄妇女的子宫内膜发生周期性变化。月经期后,在雌激素作用下,子宫内膜从基底层再生并生长为增生期子宫内膜;排卵以后,卵巢黄体形成,雌激素和孕激素的共同作用使已为雌激素准备过的子宫内膜,变为分泌期内膜; 黄体逐渐萎缩,所分泌的雌激素和孕激素减少,内膜失去支持,发生退行性变,为月经前期变化; 内膜坏死脱落伴出血,即形成月经。内膜的周期性变化主要见于功能层,而周期中每一天的子宫内膜在显微镜下观察都具有其特点。图1为月经周期子宫内膜每日形态学变化示意。

图1 月经周期子宫内膜每日形态学变化示意图(引自Noyes R. W.)
a.腺上皮细胞核分裂表示细胞增殖b.腺上皮细胞核假复层,增殖期典型,在分泌期早期也存在 c.核下空泡,示排卵后最早的形态变化d.腺腔内分泌 c. 基质水肿,分泌期较明显 f.蜕膜样反应,最初在小动脉周围,月经前期充满在致密层 g. 基质细胞核分裂,增殖期最多,蜕膜样反应时又重现 h.多核白血球浸润,月经开始前两天出现


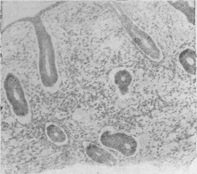
子宫内膜增殖期增殖期早期(图2)相当于月经周期第4~7天,柱状上皮从破碎的基底层的腺体断端再生而覆盖内膜表面,内膜薄,腺体稀少短而窄,腺上皮细胞有核分裂。间质致密,细胞呈星状,胞浆少,核大,核分裂很少。

图2 早期增殖期子宫内膜


中期增殖期(图3)在月经周期第8~10天,表面腺上皮变为高柱状,呈假复层排列,腺体稍长,有些弯曲。间质有不同程度的水肿,间质细胞核分裂较多,胞浆少,似“裸核”样。

图3 中期增殖期子宫内膜


晚期增殖期在月经周期第11~14天,内膜增厚可达2~3mm,表面上皮不平,腺体数目增多,长而弯曲,腺上皮为高柱状呈假复层排列,核分裂多。间质细胞生长快,核分裂多,间质内小动脉延长,略呈螺旋状。
子宫内膜分泌期 在排卵后24~36小时内膜变化尚不明显,前7天腺体上皮变化典型,后几天则以间质变化较典型。可分为早期和晚期分泌期子宫内膜 (图4,图5)。

图4 早期分泌期子宫内膜

图5 晚期分泌期子宫内膜


早期分泌期相当于月经周期第15~19天,即排卵后1~5天。排卵后第一天和增殖晚期相似,偶见腺体核下空泡,内含糖元。在月经周期第16天,核下空泡多见,腺上皮似有假复层排列现象,间质细胞有核分裂。月经周期第17天,腺体增大弯曲,假复层排列消失,核排列规则,腺上皮细胞基底部出现典型核下糖元空泡,将核推向细胞中部,核上胞浆均匀。
月经周期第18天,核下空泡变小,核回到细胞底部,糖元分泌开始进入腺腔内。月经周期第19天,核下空泡已很少见,腺上皮不见假复层,亦不见核分裂,腺腔内有分泌,螺旋小动脉生长快,盘曲明显。
晚期分泌期,相当于月经周期第20~24天即排卵后6~10天。内膜出现高度分泌活动,腺体弯曲而长,由于腺上皮簇状突出于腺腔中,使腺体切面呈锯齿状,腺上皮细胞增大,核移向基底部,细胞内有分泌颗粒,腺腔内有红染的粘液。月经周期第21天开始发生间质变化,出现水肿,间质细胞浓染,核致密,胞浆少。月经周期第22天,间质水肿达最高峰,腺腔内分泌物已减少。月经周期第23天,螺旋小动脉为间质细胞所围绕,间质细胞增大,胞浆增多,称蜕膜样或假蜕膜变化。月经周期第24天,围绕小动脉周围蜕膜样变化明显,间质细胞核分裂活跃,但间质水肿好转,内膜开始退化。内膜最厚时可达5~6mm,可分为三层:
❶致密层或表层,靠近子宫腔的部分,腺体少。
❷海绵层或中层,是中间较厚的一层,腺体多而大,间质较少,使切面疏松呈蜂窝状。以上两层受卵巢激素影响而发生周期性变化,故称功能层。
❸基底层,最靠近子宫肌层,不受卵巢激素影响,腺体静止,无明显周期性变化,月经期亦不脱落,月经后内膜由此层再生。
子宫内膜月经期 月经前期子宫内膜约在月经周期第25~28天,相当于黄体的退化期。子宫内膜表层下有蜕膜样变化。基质内有淋巴细胞浸润,以后两天蜕膜样变化遍及全层,多核白细胞浸润明显。腺腔内分泌物排出,腺体塌陷,间质水肿消退,内膜突然变薄,小动脉压缩,血流迟缓。在月经开始前4~24小时螺旋小动脉出现局部痉挛性收缩,基质内开始有局部性坏死及小面积出血。
月经期子宫内膜,相当于月经周期第1~4天。此时内膜的小面积出血伸展形成血肿,内膜局灶性坏死并成片地脱落,边脱落边修复。脱落从海绵层开始,保留基底层,由此层再生而开始另一个周期。如子宫内膜整片脱落即形成膜样月经。
子宫内膜的一系列变化主要是为妊娠作准备。假使孕卵着床在排卵后第6天,此时子宫内膜腺腔内充满分泌物为孕卵提供营养。内膜间质水肿在月经周期第22~23天最显著,可减少着床时的阻力。小动脉周围的蜕膜样反应给予血管有力的支架,防血管过早破裂。如未妊娠,这些准备都成为不必要,月经乃来潮。
☚ 卵巢及其激素   月经 ☛
00011283
随便看

 

离鸟网收录3541549条中英文词条,其功能与新华字典、现代汉语词典、牛津高阶英汉词典等各类中英文词典类似,基本涵盖了全部常用中英文字词句的读音、释义及用法,是语言学习和写作的有利工具。

 

Copyright © 2004-2024 vtrois.com All Rights Reserved
更新时间:2026/4/20 10:04:19