网站首页  词典首页


请输入您要查询的字词:

 

字词 卵巢内胚窦瘤
类别 中英文字词句释义及详细解析
释义

卵巢内胚窦瘤endodermal sinus tumor of ovary

又叫卵黄囊瘤,系罕见的一种卵巢肿瘤。因其组织似小鼠胎盘的内胚窦,故得名。多见于儿童和青年。是由胚外结构——卵黄囊发生的高度恶性的生殖细胞肿瘤,肿瘤生长快、脆而易破,常见血性腹水;血中可查出较高的甲胎蛋白。本病可伴发其他生殖细胞肿瘤,预后不佳。

卵巢内胚窦瘤

卵巢内胚窦瘤

卵巢内胚窦瘤是卵巢生殖细胞来源的肿瘤的一种,又称卵黄囊瘤,是原始生殖细胞向胚外结构分化而成。细胞排列疏松呈空网状,类似大鼠胎盘的内胚窦或类似卵黄囊状而得名。
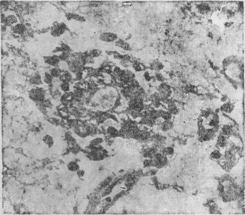
此瘤多发于儿童及26岁以下的青年妇女,高度恶性。肿瘤多为单侧,体积较大,表面光滑,实质,中等硬度。切面可见出血、坏死与囊性变区域。部分肿瘤可呈粘液瘤样外观。镜下可见与生殖细胞相似但不规则的圆形、卵圆形或多角形大小不一的肿瘤细胞,胞浆比较透明,核呈不规则圆形,核膜清楚,染色质呈细网状,核仁不明显。有时可见靴钉细胞或扁平细胞。瘤细胞可排列成多种形态,具有特征性的结构有两种:一种是疏松的网状结构,由网眼大小不等、形态不规则的空泡状腔隙相连而成,较大的囊腔中部可凹陷呈葫芦形与初级卵黄囊结构相似。囊腔被覆扁平、立方或柱状上皮,间质极少,几乎只能看到毛细血管,间质中常见圆形的玻璃样小体。呈PAS阳性反应(图1)。另一种是柱状瘤细胞,围绕于扩张的血管周围排成单层或复层栅栏状结构(图2)。这种特殊结构只见于内胚窦瘤,可用以与胚胎性癌及透明细胞癌相鉴别。内胚窦转移早,首先累及腹主动脉及髂总淋巴结。肿瘤还能向周围组织浸润。其血行转移晚。因生长快、恶性程度高,剖腹探查时病变常已超过卵巢范围而在腹腔内有广泛种植,即使受累部分全部切除,亦易复发,故预后极差。大多数患者在诊断后12~18个月内死亡。

图1 卵巢内胚窦瘤

图2 卵巢内胚窦瘤


该肿瘤细胞能合成甲胎球蛋白(α-fetoprotien-αFP),故在病人血中可以测到α-FP,并可以此作为观察患者治疗效果及其预后的指标,如伴有绒毛膜癌者可有绒毛膜促性腺激素的升高,目前尚无满意的治疗方法,仍以手术为主,术后用联合化疗。参见“卵巢肿瘤”。
☚ 卵巢畸胎瘤   卵巢特异性性索-间质来源的肿瘤 ☛
00011414
随便看

 

离鸟网收录3541549条中英文词条,其功能与新华字典、现代汉语词典、牛津高阶英汉词典等各类中英文词典类似,基本涵盖了全部常用中英文字词句的读音、释义及用法,是语言学习和写作的有利工具。

 

Copyright © 2004-2024 vtrois.com All Rights Reserved
更新时间:2026/4/21 7:31:55