网站首页  词典首页


请输入您要查询的字词:

 

字词 肾静脉血栓形成
类别 中英文字词句释义及详细解析
释义

肾静脉血栓形成


一、概述

肾静脉血栓形成(renal vein thrombosis,RVT))是指肾静脉主干和(或)分支内血栓形成,导致肾静脉部分或全部阻塞,从而引起一系列病理改变和临床表现。肾静脉血栓形成可发生于单侧或双侧,发生于肾静脉主干、一个分支或数个分支。当出现双侧肾静脉血栓形成时,常同时合并有下腔静脉血栓形成。本病起病可急可缓,急性肾静脉主干血栓可并发急性肾衰竭,预后较差。慢性肾静脉主干血栓形成常常由于侧支循环建立,肾静脉回流改善,起病隐袭,症状缺乏特异性。肾静脉血栓形成是肾病综合征常见并发症之一,膜性肾病并肾静脉血栓在肾病综合征中最多见,也可发生于严重脱水的婴幼儿。临床表现多样化,从无任何临床表现到剧烈腰痛、肉眼血尿并发急性肾衰竭,其形成可进一步加重肾脏损害,使病情恶化。此外肾静脉和其他深静脉血栓(deep vein thrombosis,DVT)可并发肺动脉栓塞(pulmonary embolism,PE),导致严重后果。

肾病综合征并肾静脉血栓形成是1840年Rayer首次提出的。研究证明,肾病综合征时存在高凝状态,高脂血症、血容量减低、肾脏免疫损伤,常常应用强利尿剂和激素。这些因素均增加高凝状态,易造成血栓、栓塞并发症,其中肾静脉血栓形成最受临床重视。

二、流行病学

Rayer首先报道了肾病综合征并发肾静脉血栓形成。1956年以前肾静脉血栓形成的诊断基于尸检,有很大局限性。近年来随着影像学检查的不断进展,患者生前诊断率明显增加。因筛查手段和临床表现的不同,文献报道肾病综合征合并肾静脉血栓形成发生率差异较大,在5%~62%之间。患者发生静脉血栓的风险与原发病因有关。膜性肾病(MN)发生率最高,在20%~60%之间,非MN的患者发生率仅为10%~50%。Llach等在1980年一项研究中观察一组NS患者,平均血清白蛋白为2.1~2.4g/dl,尿蛋白为5~5.8g/d。151例肾病患者中共有33例(22%)发现有肾静脉血栓形成;69例MN中20例(29%)并发肾静脉血栓形成。

发生于肾静脉主干的血栓可延伸至下腔静脉,出现下腔静脉血栓及下腔静脉不全栓塞。部分患者通过检查还可发现同时存在下肢静脉血栓,静脉血栓的脱落可导致肺梗塞。有些患者仅在发生肺梗塞后通过检查才发现有肾静脉血栓或其他静脉血栓。

三、病因及发病机理

肾静脉血栓常在下列情况下发生:

(1)血液高凝状态:20%~50%肾病综合征患者(尤其膜性肾病)并发肾静脉血栓形成,即与肾病综合征血液高凝状态有关。另外,婴儿脱水亦可发生肾静脉血栓。

(2)肾静脉受压、血流淤滞:主要见于纤维化、肿瘤、主动脉瘤、血(脓)肿等压迫。

(3)肾静脉血管壁受损:如肿瘤侵犯肾静脉。

肾病综合征易发生肾静脉血栓形成的机理目前尚不十分明确,可能与患者凝血异常、肾小球免疫损伤及肾静脉血液浓缩有关。肾静脉血栓的发生还与肾病综合征的严重程度和持续时间有关。当血清白蛋白浓度低至2.0g/d以下时,肾静脉血栓形成的发生风险明显增加。

肾病综合征存在多种凝血机理异常,包括抗凝血酶Ⅲ(antithrombinⅢ,ATⅢ),血纤维蛋白溶酶浓度下降(由于尿液丢失),蛋白S、蛋白C缺乏,过度血小板激活,高纤维蛋白原血症和多种高分子纤维蛋白原存在。此外,肾小球免疫损伤可能增加促凝血酶活性,该作用可引起全身效应或对肾脏静脉循环产生影响而引起肾静脉血栓形成。膜性肾病和膜增殖性肾小球肾炎的发病机理均与肾小球毛细血管壁损伤,免疫复合物形成有关,因此在这两种疾病中尤为常见。

肾病综合征患者肾静脉易形成血栓的另一可能原因是流经肾小球液体黏滞,球后循环血球压积增大,肾静脉血液更加浓缩,过度利尿时更易发生。当免疫介导的肾小球毛细血管壁损伤,胶原纤维和基底膜暴露,血小板立即黏附于带有负电荷的胶原纤维上而被激活,激活的血小板形成糖蛋白(GP)Ⅱb/Ⅲa复合体,通过纤维蛋白与另一血小板的(GP)Ⅱb/Ⅲa复合体结合形成血小板聚集体。激活的血小板释放多种活性物质,如二磷酸腺苷(ADP)、血栓素(TXA2)、5—羟色胺(5—HT)、血小板因子3(PF3)等,可促进血小板聚集体进一步增大,为血栓形成提供反应平台。血小板释放的血小板源生长因子(PDGF)进一步诱导肾脏转化生长因子β(TGFβ)的表达,加重肾脏损害。

在肾病综合征患者中,大量抗凝因子从尿中丢失,低蛋白血症诱导肝脏代偿性合成过多的凝血因子Ⅴ、Ⅶ、Ⅷ、Ⅹ等,这些凝血因子的分子量大,不易从肾小球滤过膜丢失。与此同时,抗凝血酶和蛋白C合成也增加,但是由于分子量较小,大量从尿中丢失,使机体抗凝血酶系统功能减弱。与凝血相对抗的纤溶系统中纤溶酶原分子量较小,易于从尿中丢失,使纤溶活性减弱。纤溶酶原激活物抑制剂(PAI—1和AI—2)由于分子量大不易从尿中排出,而进一步减弱纤溶活性,加剧了高凝状态,促使血栓形成(见图5—6)。

图5—6 肾病综合征并发肾静脉血栓的机理

四、病理

1.大体表现 患侧肾脏苍白肿胀,肾静脉及其分支可见血栓形成。

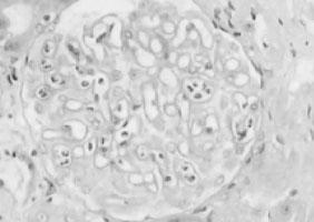
2.光镜检查 肾间质高度水肿,偶可见到肾静脉分支中有血栓形成,肾小球毛细血管扩张淤血,并可见节段性粒细胞浸润和微血栓形成。肾小管上皮细胞空泡变性,刷状缘脱落,而小动脉无明显病变(图5—7,图5—8)。慢性期,肾间质纤维化,肾小管萎缩,肾小球缺血。

图5—7 肾静脉血栓,肾小球毛细血管内粒细胞聚集

图5—8 肾静脉血栓,肾间质水肿

3.免疫病理检查 主要表现为原有的肾疾病特点,如为膜性肾病则见IgG和C3沿肾小球毛细血管壁颗粒状沉积。

4.电镜检查 主要表现为原有肾脏疾病的特点,可见肾间质弥漫性水肿。

注意:肾活检标本中,很难发现肾静脉血栓,只能根据临床资料和其继发的病变确诊。肾小管严重损伤坏死时,也可出现肾间质水肿。但肾小管上皮细胞损伤严重,而间质水肿相对较轻。尸检标本可见肾静脉血栓。急性肾静脉血栓形成引起完全性阻塞可导致肾脏淤血性梗死,慢性者多伴有侧支循环发生不完全阻塞。

五、临床表现

肾静脉形成的临床表现取决于静脉阻塞的程度、速度、被阻塞的静脉的大小、是否完全阻塞、受累静脉数目、侧支循环是否建立以及有无相关严重并发症(如肺梗塞)等。一般分为两种类型,即急性型和慢性型。

1.急性型

(1)全身表现:常有寒战、发热,部分患者出现高血压、恶心、呕吐等。

(2)局部表现:常有肾梗塞症状如急性腰痛腹痛,可为胀痛或剧痛,一过性或持续性。患侧肾区叩痛,脊肋角触痛明显,可有肉眼血尿。如果没有肾脏基础疾病,一般可无大量蛋白尿。但肾病综合征并发急性肾静脉血栓形成时尿蛋白可骤增,肾功能减退。当双侧肾静脉血栓形成时,可导致显着少尿和急性肾衰竭。急性肾静脉血栓形成通常是由于创伤、严重脱水(尤其婴儿)或者全身高凝状态等原因造成,而持续肾病综合征患者相对少见。

2.慢性型 慢性肾静脉血栓形成多为肾静脉不完全阻塞。常隐匿发生,常常在肺梗死或其他深静脉血栓筛查时发现,一般无明显症状。肺梗死患者中有10%~30%合并慢性肾静脉血栓形成,并且大部分无症状。慢性型多并发于肾病综合征。临床往往仅为蛋白尿持续不缓解或增加,伴镜下血尿,可有肾功能受损如血清肌酐升高、肾小管功能受损等。如侧支循环建立良好,肾静脉回流改善,肾功能可无明显影响。

3.肾静脉血栓的并发症 当肾静脉血栓形成时其他部位静脉可先后或同时发生血栓形成,如下肢静脉、肝静脉、门静脉、视网膜静脉等,并出现相应的临床表现。肾静脉血栓范围可扩大累及到下腔静脉,产生下腔静脉阻塞综合征,发生下肢水肿,腹壁静脉侧支循环形成等。血栓脱落常引起肺梗死,一些患者甚至以肺梗塞为首发表现。肺梗塞是肾静脉血栓形成常见的并发症,出现胸痛、呼吸困难、咯血,严重者休克甚至猝死。

六、检查

1.尿液检查 急性型常有一过性肉眼血尿,尿蛋白骤然增加。慢性型可有血尿,无菌性白细胞尿、蛋白尿,肾小管功能受损可出现肾性糖尿、肾小管酸中毒、低渗尿、氨基酸尿,甚至发生范可尼综合征。

2.血液检查 急性型常有血肌酐,尿素氮快速升高,肌酐清除率下降。慢性型血肌酐,尿素氮可有肾功能减退,也可肾功能正常。

3.超声波检查 无创、简便易行,因此作为首选检查方法。急性期显示病侧肾脏体积增大、肾实质回声相对减低、皮髓质界限不清、内部形态改变及肾窦回声移位等,并可直接显示肾静脉。发现存在于下腔静脉或肾静脉内的实性血栓回声,还可见靠近阻塞处肾静脉扩张。多普勒超声可显示血流动力学变化,可见发生血栓的静脉内血流充盈消失、受累侧肾静脉脉冲血流减低、动脉血流向肾脏的阻抗增加等可帮助诊断。但对肾静脉分支血栓显示不清。

4. X线检查

(1)静脉肾盂造影:如果肾静脉梗阻发生突然且完全,可能没有任何显像出现。然而由于大多数患者某些侧支循环建立或梗阻不完全,可表现为肾脏影像增大,伴集合系统显影,常表现为肾盂肾盏被牵拉、扭曲、模糊(由于严重间质水肿和肾盂肾盏系统肿胀所致)。这种放射影像易与多囊肾的影像表现相混淆,注意加以鉴别。另外当侧支循环靠近输尿管时,可看到输尿管切迹。这种X线检查并不是特异性的,有报道肾静脉血栓形成的患儿25%静脉肾盂造影正常。

(2)选择性肾静脉造影:最准确诊断肾静脉血栓形成的方法是选择性肾静脉造影。经皮股静脉穿刺选择性肾静脉造影是诊断肾静脉血栓形成的金指标。特别是肾静脉数字减影血管造影,密度分辨力高,造影剂用量小,副作用轻。但肾静脉造影是一种有创性检查,费用高,不适合作为常规筛查无症状的高危人群。而对有临床表现提示可能为急性肾静脉血栓形成、不能解释的快速肾功能恶化或有急性血栓栓塞症状如肺栓塞,提示有肾静脉血栓形成存在的患儿可进行选择性肾静脉造影。

肾静脉血栓形成时可见肾静脉管腔内充盈缺损或管腔截断。血栓在主干内未造成管腔完全阻塞时,不规则充盈缺损位于管腔一侧;血栓在各分支内常造成完全性阻断,呈典型杯口状缺损,凸面常指向下腔静脉。急性型病变支远端小分支不能显示,其余各支因淤血而增粗。肾外形增大,无侧支循环形成;慢性型除病变支特点外,肾外形增大不太明显,常可见到侧支循环形成,表现为精索静脉、卵巢静脉、腰升静脉异常增粗。

5.CT检查 借助于腹膜后和肾周围脂肪的对比,可显示肾静脉。增强CT可更为清楚。肾静脉血栓形成时可见增大的肾脏,延迟或持续显影,皮髓质界线减低,延迟或不显示肾盂、肾盏,并可见肾静脉内低密度血栓影,肾静脉直径增大。其对肾静脉血栓形成诊断准确,但要注射药物。

6.磁共振检查 可避免造影剂的使用。肾静脉血栓形成时可见肾脏肿大、皮髓界限减低,并能极好的显示肾静脉、发现血栓。

7.肾脏核素检查 肾静脉血栓形成时可表现为肾影像增大,但灌注和吸收功能减低,二乙烯三胺五乙酸(DTPA)在肾皮质内的滞留时间延长。肾静脉主干血栓形成时,可有近乎无灌注无功能的表现。

确诊肾静脉血栓形成的“金标准”仍然是选择性肾静脉造影(包括应用数字减影血管造影)。但是肾静脉造影可能造成某些严重并发症。其一是造影剂的肾毒性,可造成肾小管坏死、少尿无尿,甚至急性肾衰竭。因此应尽量选择非离子型造影剂,造影前后大量饮水或输液,以预防造影剂的肾损害。其二是插管可引起肾静脉血栓脱落造成肺梗塞。应尽量动作轻柔规范,避免触动血栓,避免插管频繁插送或停留时间过长。其三是穿刺部位可能有血栓形成,预防方法是尽可能减少血管内膜损伤,有高凝状态时造影后常规抗凝治疗。

七、诊断

肾病综合征患者、或创伤、严重脱水(尤其婴儿)及全身高凝状态的患者,出现明显腰痛腹痛、肉眼血尿、蛋白尿加重、肾衰竭减退甚至急性肾衰竭时要考虑肾静脉血栓形成,需及时做相关影像学检查以确诊。但慢性型患者可无临床表现,应提高警惕。对肾病综合征患者或其他高危人群,出现不对称下肢水肿、不明原因血尿、尿蛋白骤增或持续超大量蛋白尿、肾功能急剧减退、反复发生肺梗塞等,应高度怀疑本病,及时做相关影像学检查特别是肾静脉造影确定诊断。

随便看

 

离鸟网收录3541549条中英文词条,其功能与新华字典、现代汉语词典、牛津高阶英汉词典等各类中英文词典类似,基本涵盖了全部常用中英文字词句的读音、释义及用法,是语言学习和写作的有利工具。

 

Copyright © 2004-2024 vtrois.com All Rights Reserved
更新时间:2026/4/19 23:53:50