网站首页  词典首页


请输入您要查询的字词:

 

字词 肾病综合征
类别 中英文字词句释义及详细解析
释义

肾病综合征


一、概述

肾病综合征(nephrotic syndrome,NS)是以大量蛋白尿(>3.5g/24h)、低白蛋白血症(<30g/L)、水肿和高脂血症为主要表现的肾脏疾病,是肾小球疾病的常见表现。肾病综合征虽然作为一组临床综合征具有共同的临床表现、病理生理和代谢变化,甚至治疗方面亦有共同的规律。但是,由于这是多种病因、病理和临床疾病所引起的一组综合征,所以其表现、机理和防治又各有其特殊之处。在此着重介绍原发性肾病综合征。

二、病因

(一)原发性肾病综合征病因

1.遗传因素 小儿肾病综合征在同胞及双胞胎中的发病率占2%~6%。Sharpies调查了出生于英国生活于伯明翰市的激素敏感性肾病儿童的发病率,分亚洲人、非洲人、欧洲人三组,发现亚洲人发病率最高,年发病率为16/10万儿童,其他两组分别为2.6/10万、3.1/10万儿童。有报道英国莱斯特市微小病变型肾病儿童发病率,亚洲儿童明显高于非亚洲儿童,分别为9.4/10万及1.3/10万儿童。这些住在英国莱斯特市的亚洲儿童大多是讲古吉拉特语的印度人,也有的为讲旁遮普语的信仰锡克教或伊斯兰教的人。作者认为种族与环境的差异是两个重要因素,它可能增加微小病变型肾病发病的敏感性。

2.过敏性体制质 有关科研单位,对小儿各种肾脏疾病之HLA抗原进行研究,指出NS有过敏因素者占35.3%,对照组为6.7%,这与HLA—B40有关。曾有报道NS有变态反应史者占40%。

3.免疫机理 NS与体液免疫、免疫复合物形成、细胞免疫有关,这是肾病综合征病因中最重要的一种。由于患者自身调节机理功能紊乱,从而造成免疫复合物在肾脏内的沉积,从而使肾小球基底膜由于受免疫或其他因素影响,滤孔增大,大量蛋白质漏出,形成蛋白尿;大量蛋白质从尿中丢失成为引起低蛋白血症的主原因;低蛋白血症及血浆容量减少形成全身性水肿;此外尚有高胆固醇血症,可能是由于低蛋白血症刺激肝合成各种类型蛋白质,其中包括不能从肾脏滤出的脂蛋白,脂蛋白积蓄于血浆中而引起血浆中各种脂质(如胆固醇、磷脂、中性脂肪等)增高。

(二)继发性肾病综合征病因

1.感染

(1)细菌感染:链球菌感染后肾炎、细菌性心内膜炎、分流肾炎、梅毒、麻风、慢性肾盂肾炎伴反流性肾炎。

(2)病毒感染:乙型肝炎、传染性单核细胞增多症、巨细胞病毒感染、疫苗后肾炎。

(3)寄生虫感染:三日疟、弓形虫、蠕虫、血吸虫。

2.药物中毒、过敏 有机或无机汞、有机金、铋、银,青霉胺,海洛因,丙磺舒,三甲双酮,蜂蜇,蛇毒,抗毒素或疫苗过敏。

3.新生物

(1)实体瘤(Careinoma或肉瘤):肺、结肠、胃、乳腺、肾、甲状腺、卵巢等肿瘤,Wilm’s瘤。

(2)淋巴瘤及白血病:何杰金病、非何杰金淋巴瘤、慢性淋巴性白血病、多发性骨髓瘤。

4.系统性疾病 系统性红斑狼疮、混合性结缔组织病、干燥综合征、类风湿性关节炎、过敏性紫癜、坏死性血管炎、多动脉炎、冷球蛋白血症、淀粉样变、类肉瘤病。

5.代谢性疾病 糖尿病、黏液水肿。

6.遗传性疾病 Alport综合征、Fabry’s病、Nail—patella综合征、先天性肾病综合征(芬兰型)、家族性肾病综合征、镰刀状红细胞贫血。

7.其他 妊娠高血压综合征、肾移植慢性排斥、原发性恶性肾硬化、肾动脉狭窄、慢性溃疡性结肠炎等。

三、临床表现和病理生理改变

1.蛋白尿 正常成人每日尿蛋白质排泄量不超过150mg。大量蛋白尿的产生是由于肾小球滤过膜异常所致。正常肾小球滤过膜对血浆蛋白有选择性滤过作用,能有效阻止绝大部分血浆蛋白从肾小球滤过,只有极小量的血浆蛋白进入肾小球滤液。影响蛋白滤过的因素可能有以下几种。

(1)蛋白质分子大小:肾小球毛细血管对某一物质的清除与该物质的有效分子半径成反比,蛋白质分子量越大,滤过越少或完全不能滤过。一般情况下,分子量在6万~7万道尔顿的血浆蛋白质(如白蛋白)滤过较少,分子量大于20万道尔顿(如α1脂蛋白等)不能滤过,而分子量较小(小于4万)的血浆蛋白,如溶菌酶、β微球蛋白和免疫球蛋白的轻链等,则可自由滤过。这种滤过作用因蛋白质分子量不同而异的屏障作用,称为分子选择屏障(机械屏障)。这种屏障作用是由肾小球滤过膜的超微结构决定的。肾小球滤过膜由内皮、肾小球基底膜(GBM)和上皮层组成。内皮细胞间的间隙为40~100nm,血浆中全部可溶性物质(包括可溶性免疫复合物)均可通过;GBM由内疏松层、致密层和外疏松层组成,GBM上有滤过,孔半径为3.5~4.2nm,形成一层粗滤器,可允许部分白蛋白(分子半径3.7nm)和转铁蛋白通过。上皮层中上皮细胞的足突之间有裂隙,其上有隔膜,上面有小孔,孔径为4nm×14nm,形成一层细滤器,使比白蛋白较大的分子不能滤过。

(2)蛋白质带电荷情况:肾小球基底膜的内层、外层,肾小球血管袢的内皮、上皮细胞表面及系膜基质含有丰富的氨基多糖成分(硫酸肝素)和涎酸,两者均使肾小球滤过膜带阴电荷,构成了静电屏障。通过同性电荷相斥的原理,带阴电荷蛋白质清除率最低,而带阳电荷者清除率最高。研究证明肾小球疾病时,肾小球基膜涎酸成分明显减少,使带阴电荷的白蛋白滤过出现蛋白尿。肾小球阴电荷场除有静电屏障外,还有维持细胞形态和毛细血管结构的功能。因此,临床上单纯静电屏障作用丧失者少见,多伴有组织结构功能异常。

(3)蛋白质的形态和可变性:由于上述肾小球机械屏障作用,使排列疏松呈线状形态的分子较排列紧密呈球形的分子更容易通过肾小球滤过膜。

(4)血液动力学改变:肾小球滤过膜的通透性与肾小球内压和肾血流量有密切关系。入球小动脉血浆流量下降和膜两侧静水压代偿性增高,是肾小球损害时普遍的血流动力学调节机理。此时单个肾小球滤过分数增高,出球端的蛋白浓度高于正常,使血浆蛋白经肾小球毛细血管壁的弥散增加。肾内血管紧张素Ⅱ增加使出球小动脉收缩,肾小球内毛细血管压力增加,亦可增加蛋白漏出。

电荷屏障异常(如微小病变)主要导致白蛋白漏出,表现为选择性蛋白尿,在光镜下肾小球结构无异常,但用特殊染色技术可发现肾小球毛细血管壁的阴离子明显减少。白蛋白清除分数增加,可反应电荷屏障缺陷的程度。机械屏障异常,如膜性肾炎、膜增生性肾炎或伴有GBM生化、结构改变的肾小球疾病,如糖尿病、遗传性肾炎等均可有明显的结构改变,使所有的血浆蛋白滤过增加,即表现为非选择性蛋白尿。

2.低白蛋白血症 低白蛋白血症见于大部分肾病综合征患者,即血清白蛋白水平在30g/L以下。其主要原因是尿中丢失白蛋白,但二者并不完全平行,因为血浆白蛋白值是白蛋白合成与分解代谢平衡的结果。主要受以下几种因素影响:

(1)肝脏合成白蛋白增加:在低蛋白血症和白蛋白池体积减少时,白蛋白分解率的绝对值是正常的,甚至下降。肝脏代偿性合成白蛋白量增加,如果饮食中能给予足够的蛋白质及热卡,患者肝脏每日可合成白蛋白达20g以上。体质健壮和摄入高蛋白饮食的患者可不出现低蛋白血症。有人认为,血浆胶体渗透压在调节肝脏合成白蛋白方面可能有重要的作用。

(2)肾小管分解白蛋白能力增加:正常人肝脏合成的白蛋白10%在肾小管内代谢。在肾病综合征时,由于近端小管摄取和分解滤过蛋白明显增加,肾内代谢可增加至16%~30%。

(3)严重水肿:胃肠道吸收能力下降,肾病综合征患者常呈负氮平衡状态。年龄、病程、慢性肝病、营养不良等均可影响血浆白蛋白水平。肾病综合征患者摄入高蛋白饮食会导致尿蛋白增加,而血浆白蛋白没有增加或虽有增加但甚少,而在严重营养不良者,如果同时服用血管紧张素转换酶抑制剂(减轻肾小球高滤过),则高蛋白饮食可使血浆白蛋白浓度增加。如果限制蛋白摄入,则尿蛋白会减少,而且血浆白蛋白水平多无改变或虽有则甚微。

由于低白蛋白血症,药物与白蛋白的结合会有所减少,因而血中游离的药物水平升高,即使常规剂量也可产生毒性反应。低蛋白血症时,花生四烯酸和血浆蛋白结合减少,从而促使血小板聚集和血栓素增加,后者可加重蛋白尿和肾损害。

3.水肿 水肿的出现及其严重程度与低蛋白血症的程度呈正相关。然而例外的情况并不少见。机体自身具有抗水肿形成能力,其调节机理为:

(1)当血浆白蛋白浓度下降,血浆胶体渗透压下降的同时,组织液从淋巴回流大大增加,从而带走组织液内的蛋白质,使组织液的胶体渗透压同时下降,两者的梯度差值仍保持正常范围。

(2)组织液水分增加,则其静水压上升,可使毛细血管前的小血管收缩,从而使血流灌注下降,减少了毛细血管床的面积,使毛细血管内静水压下降,从而抑制体液从血管内向组织间逸出。

(3)水分逸出血管外,使组织液蛋白浓度下降,而血浆内蛋白浓度上升。鉴于淋巴管引流组织液蛋白质的能力有限,上述体液分布自身平衡能力有一定的限度,当血浆胶体渗透压进一步下降时,组织液的胶体渗透压无法调节至相应的水平,两者间的梯度差值不能维持正常水平,才产生水肿。

大多数肾病综合征水肿患者血容量正常,甚至增多,并不一定都减少,血浆肾素正常或处于低水平,提示肾病综合征的钠潴留,是由于肾脏调节钠平衡的障碍,而与低血容量激活肾素—血管紧张素—醛固酮系统无关。肾病综合征水肿的发生不能仅以一个机理来解释。血容量的变化,仅在某些患者身上可能是造成水钠潴留,加重水肿的因素,但不能解释所有水肿的发生,其真正的形成机理,目前尚未清楚,很可能是与肾内某些调节机理的障碍有关。

4.高脂血症 肾病综合征时脂代谢异常的特点为血浆中几乎各种脂蛋白成分均增加,血浆总胆固醇(Ch)和低密度脂蛋白胆固醇(LDL—Ch)明显升高,甘油三酯(TG)和极低密度脂蛋白胆固醇(VLDL—Ch)升高。高密度脂蛋白胆固醇(HDL—Ch)浓度可以升高、正常或降低;HDL亚型的分布异常,即HDL3增加而HDL2减少,表明HDL3的成熟障碍。在疾病过程中各脂质成分的增加出现在不同的时间,一般以Ch升高出现最早,其次才为磷脂及TG。除数量改变外,脂质的质量也发生改变,各种脂蛋白中胆固醇/磷脂及胆固醇/甘油三酯的比例均升高。载脂蛋白也常有异常,如ApoB明显升高,ApoC和ApoE轻度升高。脂质异常的持续时间及严重程度与病程及复发频率明显相关,长期的高脂血症可在肾病综合征进入恢复期后持续存在。

肾病综合征时脂质代谢异常的发生机理:①肝脏合成Ch、TG及脂蛋白增加;②脂质调节酶活性改变及LDL受体活性或数目改变导致脂质的清除障碍;③尿中丢失HDL增加。在肾病综合征时,HDL的ApoA—Ⅰ可以有50%~100%从尿中丢失,而且患者血浆HDL3增加而HDL2减少。

肾病综合征患者的高脂血症对心血管疾病发生率的影响,主要取决于高脂血症出现时间的长短、LDL/HDL的比例、高血压史及吸烟等因素的影响。长期的高脂血症,尤其是LDL上升而HDL下降,可加速冠状动脉粥样硬化的发生,增加患者发生急性心肌梗塞的危险性。近年来,高脂血症对肾脏的影响已引起了不少学者的重视。脂质引起肾小球硬化的作用已在内源性高脂血症等的研究中得到证实。脂代谢紊乱所致肾小球损伤的发生机理及影响因素较为复杂,可能与下述因素有关:肾小球内脂蛋白沉积、肾小管间质脂蛋白沉积、LDL氧化、单核细胞浸润、脂蛋白导致的细胞毒性致内皮细胞损伤、脂类介质的作用和脂质增加基质合成。

5.血中其他蛋白浓度改变 肾病综合征时多种血浆蛋白浓度可发生变化。如血清蛋白电泳中α2和β球蛋白升高,而α1球蛋白可正常或降低,IgG水平可显着下降,而IgA、IgM和IgE水平多正常或升高,但免疫球蛋白的变化同原发病有关。补体激活旁路B因子的缺乏可损害机体对细菌的调理作用,为肾病综合征患者易感染的原因之一。纤维蛋白原、凝血因子V、Ⅶ、Ⅹ可升高;血小板也可轻度升高;抗凝血酶Ⅲ可从尿中丢失而导致严重减少;C蛋白和S蛋白浓度多正常或升高,但其活性降低;血小板凝集力增加和β—血栓球蛋白的升高,可能是潜隐的自发性血栓形成的一个征象。

四、并发症

1.感染 由于大量免疫球蛋白自尿中丢失,血浆蛋白降低,影响抗体形成。肾上腺皮质激素及细胞毒药物的应用,使患者全身抵抗力下降,极易发生感染,如皮肤感染、原发性腹膜炎、呼吸道感染、泌尿系感染,甚至诱发败血症。

2.血栓形成 肾病综合征患者容易发生血栓,尤其是膜性肾病发生率可达25%~40%。形成血栓的原因有水肿、患者活动少、静脉淤滞、高血脂、血液浓缩使粘滞度增加、纤维蛋白原含量过高及Ⅴ、Ⅶ、Ⅷ、X因子增加和使用肾上腺皮质激素而血液易发生高凝状态等。

3.急性肾衰竭 肾病综合征患者因大量蛋白尿、低蛋白血症、高脂血症,体内常处在低血容量及高凝状态,出现呕吐、腹泻、使用抗高血压药及利尿剂大量利尿时,都可使肾脏血灌注量骤然减少,进而使肾小球滤过率降低,导致急性肾衰竭。此外,肾病综合征时肾间质水肿,蛋白浓缩形成管型堵塞肾小管等因素,也可诱发急性肾衰竭。

4.冠心病 肾病综合征患者常有高脂血症及血液高凝状态,因此容易发生冠心病。有人报道肾病综合征患者的心肌梗塞发生率比正常人高8倍,冠心病已成为肾病综合征死亡原因的第三因素(仅次于感染和肾衰竭)。

5.电解质及代谢紊乱 反复使用利尿剂或长期不合理地禁盐,都可使肾病综合征患者继发低钠血症;使用肾上腺皮质激素及大量利尿剂导致大量排尿,若不及时补钾,容易出现低钾血症。

五、诊断

1.大量蛋白尿(>3.5g/24h)。

2.低蛋白血症(血清白蛋白<30g/L)。

3.明显水肿。

4.高脂血症。

上述4条中,前两条为必要条件。

附:肾病综合征的主要临床病理类型

一、微小病变性肾病

(一)概述

微小病变性肾病(Minimal change nephropathy)又称类脂性肾病,是导致肾病综合征的最常见疾病之一。约占儿童原发性肾病综合征的75%,占8岁以下儿童肾病综合征的70%~80%。在成人中也不少见,占16岁以上原发性肾病综合征患者的15%~20%。

(二)病理变化

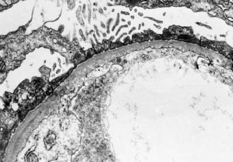
光镜下肾小球基本正常,免疫荧光检查一般无免疫沉积物,电镜下的弥漫性上皮足突消失或融合为其典型病变(图2—5)。有时也可见到局灶的系膜区有电子致密物。在微小病变性肾病病程发展到后期出现的局灶硬化性损害。微小病变性肾病有时在免疫荧光下也可见系膜区有IgM、IgA或C3沉积,一般很轻微。系膜细胞增殖和IgM沉积如同时出现,常提示对激素疗效差或对激素的反应延迟,并且使疾病进展的可能性增大。

图2—5 微小病变性肾病,上皮细胞足突融合(电镜 x8000)

(三)发病机理

微小病变性肾病的发病机理不明,有以下学说。

1.T细胞功能紊乱学说 因肾小球内一般无免疫球蛋白沉积,多数患者对肾上腺糖皮质激素和细胞毒药物治疗反应良好,患者如合并麻疹常可使病情缓解,霍奇金病患者可合并MCNS,故长期以来一直推测它的发病机理与细胞免疫有关。早在20世纪70年代Shai—houb就提出T细胞功能紊乱与单纯性肾病综合征有关。以后大量动物实验及临床研究表明,微小病变性肾病患儿T细胞不但在数量的分布上出现异常,而且有细胞间相互作用的调节紊乱。研究结果证明,微小病变性肾病患者在细胞免疫功能紊乱,细胞免疫异常在其发机理中具有重要作用,抑制性T细胞的增加导致产生某种对肾小球基底膜(GBM)有毒性作用的淋巴因子,削弱了阴电荷屏障,使基底膜通透性增加而引起蛋白尿。辅助性T淋巴细胞数量减少和功能降低使B细胞产生抗体的功能减低,致肾病综合征患者易合并病毒和细菌感染而复发。

2.细胞因子表达异常学说 实验动物及人类肾病研究表明该病患者血循环中存在细胞因子,这些细胞因子具有血管通透活性,并在MCNS时有异常表达,可能参与了蛋白尿的发生。目前认为在MCNS中有肯定意义的细胞因子主要有白细胞介素(ILs)、肿瘤坏死因子(TNF)。

(1)IL—2、IL—2R、sIL—2R:研究表明,该病患者活动期血浆及淋巴细胞培养上清液中sIL—2水平高于对照组,与此相反,其淋巴细胞经pHA刺激后细胞表面IL—2R的表达和IL—2的产生能力都减低,推测高水平的sIL—2R可能通过结合IL—2或封闭抑制T细胞表面IL—2R的表达,从而使IL—2不能通过自分泌途径活化淋巴细胞。提示微小病变患者sIL—2R反馈抑制了细胞免疫功能。

(2)IL—8:研究表明IL—8参与了多种炎症疾患的发病过程,国内外资料表明IL—8与其发病有关。Garin等发现IL—8可改变鼠肾小球基底膜的硫化物代谢。微小病变复发期血清IL—8水平升高,缓解期下降,研究表明IL—8通过影响GMB上硫化物的代谢而改变其负电荷屏障,使GMB通透性增高,导致蛋白尿。Wada等的动物实验表明,抗IL—8抗体有预防蛋白尿的作用。提示IL—8与该病发病密切相关。

(3)TNF:可由单核细胞、T淋巴细胞、肾小球系膜细胞(GMSC)产生,研究发现活动期患者与缓解期患者及对照组相比较,其血清TNF—α水平明显升高,同时PBMC合成TNF—α增加,TNF—αmRNA表达增强。Savin等体外研究发现TNF—α能抑制肾小球上皮细胞合成硫酸类肝素蛋白多糖,环孢素A可阻止此效应。提示TNF—α在MCNS蛋白尿产生中发挥作用。

以上研究表明,微小病变肾病患者血循环中存在多种异常表达的细胞因子,可能与其非炎症性蛋白尿产生有关。

3.呼吸道病毒基因反式激活学说 长期以来临床上经常观察到其发病、复发、加重前往往有呼吸道病毒的感染。研究认为,上呼吸道感染引起肾病综合征加重或复发是机体对感染的非特异性反应,而不是病毒抗原抗体之间的反应。Habib等观察406例MCNS患者,研究呼吸道病毒感染与其发病的关系,发现60%患者发病或复发前有上呼吸道病毒感染。为了进一步探讨呼吸道病毒感染与激素敏感型单纯性肾病综合征触发的关系,王峥等检测到了微小病变患者外周血单个核细胞(PBMC)中呼吸道病毒基因、抗原及血清病毒抗体,并且证明了患者病毒检出率与尿蛋白排泄量有关。病毒感染引起尿蛋白排泄量增加的作用机理,目前认为与病毒基因反式激活有关。呼吸道病毒基因反式激活模式:呼吸道病毒感染之后,病毒侵入血流,感染PBMC,在PBMC内转录、复制,新病毒及其非结构蛋白释放到环境中去。病毒基因产物与细胞膜上特异受体结合,导致磷酸脂酶的激活,水解细胞膜上的磷脂产生了甘油二酯(DAG),DAG与蛋白激酶C(PKC)结合后引起了PKC的别构效应,暴露出ATP结合位点及其催化结构域,从而获得了磷酸化下游底物的能力,导致PKC的活化。活化的PKC可使多种蛋白质发生磷酸化,使细胞因子水平升高。细胞因子与靶细胞上特异性高亲和力强的受体结合,引起GBM硫酸乙酰肝素分解代谢加强,合成代谢减少,致静电屏障破坏,使大量带负电荷血浆蛋白漏出,引起蛋白尿。

(四)临床表现

儿童高峰发病年龄在2~6岁,成人以30~40岁多见,60岁以上患者的肾病综合征中,微小病变性肾病的发生率也很高。儿童中男性为女性2倍,成人男女比例基本相似。约1/3患者病前可有上呼吸道或其他感染。起病大多较急,典型病例首发症状多为明显的肾病综合征,占儿童肾病综合征的90%,成人的20%。血压正常,20%患者可见不同程度的镜下血尿,随着年龄增加,镜下血尿发生率也增加,特别在60岁以上的患者中,由于肾间质炎症纤维化和血管病变,镜下血尿的发生率更高,但肉眼血尿罕见。由于低血容量和肾灌注下降,约1/3患者首次就诊时可有肾小球滤过率下降。

尿沉淀物检查无细胞或管型。在严重病例24小时尿蛋白可超过40g。尿蛋白在儿童患者是典型的高选择性蛋白尿,主要包括白蛋白及极少量高分子量蛋白如IgG、α2—巨球蛋白、C3;成人则表现不一,60岁以上的老年患者的微小病变性肾病可表现为非选择性蛋白尿,且常伴有高血压和肾小球滤过率下降。尿中无纤维蛋白裂解产物及C3。血中补体成分正常,但可有C1q轻度下降。发作期IgG浓度一般很低,而IgM则在发作期及缓解期均轻度增高。

(五)诊断

对于幼儿及青少年骤然起病的单纯性肾病综合征均应想到本病的可能,对于糖皮质激素呈快速(数周内)反应者更提示本病发生的可能,确诊需肾活检病理诊断。

(六)鉴别诊断

确诊原发病之前需除外一些遗传性或继发性微小病变性肾病。

1.当起病于1岁以内时应注意除外遗传性、先天性疾病

(1)先天性肾病综合征芬兰型:这是一种常染色体隐性遗传性疾病,自出生第1日就呈大量蛋白尿继严重的肾病综合征。发病可能与肾小球基底膜结构蛋白的缺陷伴硫酸类肝素减少有关。鉴别主要靠临床及家族史,组织形态学上无法与本病鉴别。

(2)弥漫性系膜硬化:也是一种婴儿期起病的肾病综合征,但迅速发展为终末肾衰竭。如在2~3岁发生需与原发性微小病变肾病鉴别。病理学改变有利鉴别,本病早期呈肾脏纤维增生、系膜基质增宽、上皮细胞肥大;后期发展呈基底膜增后、系膜区硬化呈束带状。此病可伴男性假二性畸形,称为Drash’s综合征,并有发生Wilm肾肿瘤的倾向。

(3)先天性梅毒:也可于新生儿期发生肾病综合征,病史及血清学检查有利于鉴别。

2.中、老年人起病时应认真除外继发于恶性肿瘤

(1)何杰金及非何杰金淋巴瘤:已有数组报告肾病综合征于此类疾病中呈较高的发病率。一般肾病综合征与淋巴瘤平行发展,经治疗后二方面均缓解,但也有不平行发展者。

(2)胸腺瘤:有胸腺瘤引起微小病变肾病综合征的报告,可能与T细胞功能紊乱产生淋巴因子影响基底膜通透性有关,也可能与遗传因素有关。

(3)其他恶性肿瘤:也有伴发微小病变肾病的报告,如结肠癌、支气管小细胞肺癌、间皮瘤及前列腺癌等。

二、系膜增生性肾小球肾炎

(一)概述

系膜增生性肾小球肾炎(mesangial proliferative glomerulonephritis)是指光镜下病理学改变以弥漫性系膜细胞增生和(或)系膜基质增宽的一组疾病。本组疾病的发病率各地报告差异颇大,如在美国本组疾病占原发性肾病综合征还不到10%,然而在我国却十分常见,占约30%,如按原发性肾小球疾病肾活检数计算则可高达40%。这种差异除与地理、种属、环境等因素有关外,还与标本制备、活检时所处的病程阶段以及评定标准有关。由于系膜增生性肾炎仅是一个病理描述上的概念,所以它包含了多种情况。本组疾病在光学显微镜下与急性链球菌感染后肾小球肾炎(弥漫性系膜内皮细胞增生性肾炎)的消散期,以及系膜毛细血管增生性肾炎的早期(指系膜组织尚未侵入内皮下时)常无法区分。在免疫荧光检查中,免疫荧光阳性物的种类与强度也有很大不同。以IgA为主的,则为IgA肾病;以IgM和(或)C3系膜沉积为主的,有人称之为“IgM肾病”。在继发性肾小球疾病中有类似形态学表现的更多,如系统性红斑狼疮、过敏性紫癜、类风湿性关节炎、遗传性肾炎、肺出血—肾炎综合征、Kimura病和D—青霉胺引起的肾损害等;血管炎肾损害也很相似,但常伴肾小球血管丛坏死性改变。

(二)病理变化

光镜下,可见弥漫性系膜细胞增多,每个系膜区4~5个,重者可超过5个;内皮细胞也可有增生,常较轻;增生的细胞中可能还有浸润的单核细胞;系膜基质增多;虽然有时可有节段性加重,但通常是弥漫均一的表现;肾小球毛细血管壁完好,无血管丛坏死现象;通常不伴有粘连和硬化改变。约半数患者肾小球内可见嗜伊红沉积物,仅限于系膜区。偶然在肾小球囊基膜和小动脉壁有类似嗜伊红沉积物和“透明样变”改变。系膜细胞和基质不插入外周毛细血管壁中。在免疫荧光检查时的发现颇为多样性。常见表现为以IgG为主呈颗粒状弥漫性分布,可伴系膜区C3沉积,亦可伴少量IgM或IgG和IgA不同程度的沉积。偶尔可仅有C3沉积而无免疫球蛋白沉积。电镜检查中较典型的是系膜区有细颗粒状或均一性的电子致密沉积物。有人认为伴大颗粒状电子致密物沉积时应除外IgA肾病和系统性疾病肾损害。此外,上皮细胞可有足突肿胀和消失,基膜也可有轻微改变。

(三)发病机理

本病多数起病隐匿,部分起病前有感染史,以上呼吸道感染为多,病原不明确。感染与本病的关系也不明确。由于免疫病理检查呈多样性表现,所以存在多种致病因素。

1.免疫反应 因为系膜区可见免疫球蛋白及补体C3呈颗粒状沉积,提示免疫复合物有致病的可能。一般认为多价抗原与其高亲和力抗体在等量或抗体稍过剩情况下结合,形成难溶较大分子免疫复合物而沉积于系膜区,系膜细胞增殖。若系膜功能低下或受到抑制,免疫复合物不易被系膜清除而更易致病。近期动物实验表明也有原位免疫复合物形成致病的可能。对于免疫病理检查阴性的非IgA系膜增生性肾小球肾炎的发病机理尚不明确。

2.炎症反应 免疫反应是非IgA系膜增生性肾小球肾炎的启动因素,其介导的炎症反应致病。肾小球系膜细胞在炎症过程中不仅是被动受害者,而且是主动参与者,具有炎症细胞的作用。实验证明,炎症介质刺激系膜细胞增生,系膜细胞受刺激后产生、释放炎症介质如IL—1,IL—6等又作用于系膜细胞自身,形成恶性循环,使炎症不断进展。

(四)临床表现

非IgA系膜增生性肾小球肾炎可发生于任何年龄,多见于青少年,男性多于女性,起病常隐匿。40%的患者有前驱感染史,以上呼吸道感染多见,但国外少有前驱感染。

临床表现形式多种多样,表现为无症状蛋白尿和(或)血尿者最为常见,其他表现依次为肾病综合征、慢性肾炎和急性肾炎综合征。血尿的发生率约80%以上,镜下血尿常见,也可有反复发作的肉眼血尿。蛋白尿多少不一,常为非选择性。1/3患者就诊时已有高血压,部分出现肾功能减退。血清免疫球蛋白和补体水平很少异常,抗链球菌素“O”滴度常为正常,部分患者循环免疫复合物阳性。

(五)诊断

青少年患者,隐袭起病(无前驱感染者)或急性发作(有前驱感染者)。临床表现多样化,呈现肾病综合征者也常伴血尿(包括肉眼血尿)。血清IgA不高,补体C3正常。有上述表现者应考虑此病。确诊需肾活检,在光镜检查确定系膜增生性肾小球肾炎后,还需靠免疫病理检查除外IgA肾病,并应根据光镜下病理改变程度将此型肾炎分为轻、中、重度以便指导治疗及判断预后。

(六)鉴别诊断

1.继发性肾小球疾病

(1)狼疮性肾炎:Ⅱ型为系膜增生型,光镜表现与本病相似。但狼疮性肾炎临床上伴多系统侵犯,化验有抗核抗体等多种自身抗体,活动期血清IgG增高,血清补体水平下降,光镜下除系膜增生外,病变有多样性及不典型性特点,有时可见白金耳及苏木素小体,免疫荧光检查常呈“满堂亮”表现。

(2)紫癜性肾炎:弥漫系膜增生为其常见病理表现。但紫癜性肾炎临床上有过敏性紫癜表现,化验血清IgA有时增高,免疫病理是IgA及C3为主要沉积物,故不难鉴别。

(3)糖尿病肾病:弥漫性肾小球硬化症也呈弥漫系膜基质增多,故应鉴别。但本病患者有糖尿病,一般病史在10年以上才能导致肾病综合征,眼底检查可见特殊改变。光镜下系膜基质增多但系膜细胞增生不明显,免疫病理检查阴性或可见IgG、C3及白蛋白呈线样沉积于肾小球毛细血管壁、肾小管及肾小囊基底膜(非特异性沉积)。

2.原发性肾小球疾病

(1)IgA肾病:系膜增生性肾小球肾炎是IgA肾病最常见的病理类型。IgA肾病的临床表现与本病略有不同,肾病综合征发病率较低,而肉眼血尿发生率高,为50%~60%,且于感染后几小时至3日内出现。部分患者血清IgA增高,免疫病理以IgA、C3沉积为主。

(2)急性感染后肾小球肾炎消散期:其病理与免疫病理表现均与本病相似,且可持续2~3年,故应与本病鉴别。有典型急性肾炎病史者(感染后1~3周急性发病,呈典型急性肾炎综合征,病初8周内血清补体C3下降),可依靠病史鉴别。既往史模糊鉴别困难时应予追踪,二者转归不同。

(3)微小病变肾病:临床表现为肾病综合征、光镜下仅轻度系膜增生而免疫病理检查阴性的系膜增生性肾小球肾炎与微小病变鉴别困难。临床上鉴别的要点是血尿,微小病变肾病镜下血尿发生率不足1/3,不出现肉眼血尿。

(4)局灶节段性肾小球硬化:应与重度系膜增生性肾小球肾炎鉴别,二者均可出现重度蛋白尿、镜下或肉眼血尿、高血压及肾功能减退,且治疗反应皆差。经典的局灶节段性肾小球硬化可靠免疫病理与本病鉴别。局灶节段性肾小球硬化时,于病变肾小球的受累节段可见IgM、C3呈团块样沉积,而其他肾小球阴性。

三、局灶节段性肾小球硬化

(一)概述

局灶节段性肾小球硬化(focal segmentalg lomerulosclerosis,FSGS)是成年人肾病综合征中第三个最常见病因(20%~30%),特别在黑人中。FSGS是特发性的,但也与静脉用药有关,可发现于20%的非同性恋HIV阳性者中。有证据提示一种非免疫球蛋白循环因子介导肾小球蛋白通透性增加,肾小球对蛋白通透性的改变可引起硬化。FSGS开始于近髓质肾小球(在活检样本中易得不到),表现为节段性玻璃样变,结节状或粗颗粒状IgM和C3沉积及弥漫性足细胞足突消失,可发生球性硬化,导致肾小球萎缩。

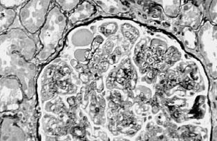
(二)病理变化

光镜下,FSGS特征性改变是受累的肾小球(<50%)内出现散在节段性分布的毛细血管袢(<50%毛细血管袢)塌陷闭塞,代之以无细胞结构的基质样物质及透明样物质增生,而未累及的节段光镜下相对正常(图2—6)。以皮质近髓部位的肾单位常见。毛细血管壁内可见泡沫细胞,脏层上皮细胞肥大,毛细血管袢与Bowman囊粘连。有时可见肾小管萎缩、间质纤维化也呈灶性分布。肾小动脉内膜出现玻璃样物质沉积,小动脉透明变性,无细胞增生反应。肾小球硬化区节段性IgM、C3积聚,其位置相当于血浆蛋白渗出部位,一般认为是非免疫“滞留”的结果。肾小管蛋白染色常阳性,可能是重吸收的蛋白。

根据硬化的部位,可分为:①门部FSGS(hilar FSGS):硬化区位于血管极处;②周缘部FSGS(periferal FSGS):硬化区位于肾小球的周边区;③尖端部FSGS(tip lesion):硬化区位于尿极部;④塌陷性肾小球病型FSGS(mllapsing glometulopathy):部分肾小球毛细血管塌陷皱缩,肾小球上皮细胞严重空泡变性及增生;⑤细胞型FSGS(cellular FSGS):在局灶节段性病变的同时,可见部分肾小球的部分毛细血管袢有内皮细胞和系膜细胞增生,导致部分毛细血管袢管腔闭塞,病变肾小球的上皮细胞增生和空泡变性;⑥系膜增生型FSGS(mesangial hypemellularity):在系膜细胞增生的基础上,出现FSGS。

各种FSGS常伴发肾小骨肾间质慢性病变。免疫病理为IgM和C3在病变肾小球呈节段性团块状沉积,未切到病变肾小球时,可以阴性。电镜下上皮细胞足突广泛融合,病变部位毛细血管袢塌陷,系膜基质增多,有时伴有电子致密物沉积。

图2—6 局灶节段性肾小球硬化(PASM x400)

(三)发病机理

关于本病发病机理尚无定论,有一系列不同观察。

1.细胞外基质的合成与降解失衡 细胞外基质(ECM)是细胞的支架组织,也影响细胞的黏附、迁移、增殖、分化。肾小球硬化是肾脏ECM合成和降解失衡导致ECM过度积聚的结果。在此平衡中细胞因子与蛋白酶类的活性起着重要的作用,其中以转化生长因子β和纤溶酶原激活物/纤溶酶/基质金属蛋白酶系统为主。

研究发现,TGF—β在FSGS患者的硬化肾小球内表达最强,IgA肾病者次之,而微小病变与正常肾小球表达最弱,主要位于肾小球固有细胞,尤其是系膜细胞。TGF—β不仅可直接刺激ECM成份的合成,诱导整合素的表达,刺激ECM受体—整合素的合成,促进细胞与基质的粘连和基质的沉积,还可通过抑制纤溶酶和基质金属蛋白酶(MMP)的表达,促进纤溶酶原激活物抑制剂—1(PAI—1)和组织金属蛋白酶抑制剂(TIMP)的产生和活化,从而使ECM降解减少而合成增加积聚。ECM降解酶活性相对降低,特异性抑制物活性增强,是ECM降解障碍的主要原因。

2.脏层上皮细胞 脏层上皮细胞又称足细胞。足细胞可合成ECM成分,与表面阴离子层,形成肾小球的机械屏障和电荷屏障。目前认为足细胞原发性及继发性损伤是FSGS发生、发展的关键。在FSGS大鼠模型中,足细胞失去正常的类指网状结构及收缩作用,足突变平甚至消失。此时GBM失去足突的反向弹力作用,GBM可突出伸至Bowman囊,与之粘连始成FSGS。在单侧肾模型中,残余肾毛细血管袢扩大。早期足细胞可发生代偿性胞体增大,但一般认为足细胞是不可再生的。足细胞逐渐不能保持与肥大的毛细血管同样程度的扩大,出现退行性变,变得扁平,滤过液进入胞体下空间,足细胞胞浆隆起呈丘状,称为假细胞。足细胞进一步与GBM剥离,裸露GBM,并与壁层上皮细胞发生粘连,最终在袢粘连区出现透明样变,形成节段性硬化。

3.细胞免疫 在原发性FSGS的肾小球内多数无免疫球蛋白,故通常认为体液免疫作用不大,而细胞免疫介导的损伤是FSGS发病机理之一。FSGS早期就有单核/巨噬细胞浸润,且巨噬细胞多而泡沫细胞少,后期则泡沫细胞多于单核/巨噬细胞,大致与FSGS病变程度相一致,也与血胆固醇含量和肥胖的发展过程有关。

4.种族和遗传因素 FSGS的发生存在种族差异,是南非和非裔美国人肾病综合征最常见的病理类型,可能与种族易感性有关。有研究通过回顾性研究来自8个家族的31人中肾活检示FSGS者18人,11例发展为ESRD,2例出现肾萎缩,其余出现不同程度的蛋白尿、血肌酐升高表现。Faubert也证实FSGS发病具有家族聚集性。因此,有人提出FSGS可能是常染色体显性遗传病。

5.血流动力学异常 单侧肾切除或者5/6肾切除动物模型中,残余肾单位代偿性肥大,肾小球前血管包括入球小动脉扩张,肾小球毛细血管血浆流量和静水压升高,使通过基膜滤过的蛋白和其他可溶性分子增加而致蛋白尿。久之,肾小球高灌注、高跨膜压、高滤过使入球小动脉收缩能力异常,毛细血管进一步向大循环开放,即使血压控制较低时,也能将压力传至肾小球毛细血管网,导致肾小球损害。损伤的内皮细胞可发生透明变性和局部凝血,并与浸润的淋巴细胞、单核细胞、血小板一起释放许多细胞因子及内皮舒张因子,刺激系膜细胞或基质生成。渗透压的改变可使纤维黏连蛋白、层黏连蛋白漏出,使肾小球内易形成微血栓、微动脉瘤,系膜区扩张、硬化,促进FSGS的形成。临床研究证实FSGS患者肾血浆流量和肾小管周围毛细血管血流量均显着减少,这些都说明血流动力学在FSGS中的作用。

6.高脂血症和脂质过氧化物 在高胆固醇血症引起肾脏损害的机理中,低密度脂蛋白(LDL)起了主要作用。血LDL可改变内皮细胞膜胆固醇/磷脂蛋白比例,使细胞脆性增加。在内皮细胞受损时,大量带正电荷的LDL及VLDL与肾小球基底膜上富含正电荷的氨基葡聚糖结合,使小球滤膜的负电荷减少,并损伤肾小球基底膜,增加其通透性。LDL在肾小管和肾间质沉积,导致肾小管和间质损害。LDL还可促进系膜细胞Ⅳ型胶原表达,刺激系膜细胞增生和基质蛋白的合成,抑制细胞外基质的降解。当抗氧化物缺乏或缺氧状态下,LDL可被系膜细胞和巨噬细胞衍生的自由基氧化,成为氧化修饰的低密度脂蛋白(OX—LDL)。用免疫组化技术可在培养的人类FSGS患者的肾小球膜细胞上测得高浓度的OX—LDL积聚。而OX—LDL与微血管内皮细胞相互作用,通过增加单核细胞趋化因子—1,使肾小球内单核/巨噬细胞和炎性细胞向病变系膜区移动,进一步释放细胞因子、凝血因子等,刺激胶原合成和系膜细胞增殖。

7.病毒感染 研究发现病毒感染对FSGS发病的影响也起重要作用。有研究发现HIV—1病毒感染对于儿童期HIV相关性肾病的发病起直接作用,并在很大程度上影响到肾小球及肾小管上皮细胞的生长和分化,增强单核细胞和细胞因子的浸润,从而进一步导致肾小球硬化。

8.细胞凋亡 细胞凋亡是使肾小球细胞数减少的主要机理。在残余肾模型中,细胞凋亡与肾小球固有细胞数量失衡,促使系膜细胞增殖消退、ECM积聚、肾小球硬化以及肾功能进行性恶化有关。有研究发现对于早期FSGS患者肾组织中小管上皮细胞出现具有过度活跃的凋亡率,可作为进展为ESRD一项独立的危险因素。

(四)临床表现

局灶节段性肾小球硬化是常见的肾小球疾病,约占原发性肾小球疾病的10%。主要累及男性,男女之比为1.2∶1。任何年龄均可发病,5岁以下小儿发病率可能更高,多在40岁以前发生肾病综合征。此病多隐匿起病,少数患者发病前有上呼吸道感染或过敏反应,上呼吸道感染或过敏可使症状加重。临床首发症状最多见的是肾病综合征,非肾病综合征者也有显着蛋白尿。蛋白尿绝大部分为选择性,但早期可有高度或中度选择性。随病情进展,肾病综合征的比例渐增,儿童病例的100%,成人病例的80%,均可在病程中出现肾病综合征。FSGS合并高血压多见,病程中成人患者的69%,儿童患者的62%可发生高血压。血尿发生率很高(约75%),病程中50%~60%的患者有显着的持续性血尿,并可见肉眼血尿。多数患者可伴有肾性糖尿、氨基酸尿及磷酸尿等近曲小管功能障碍。除小儿外,局灶性节段性硬化很少有自发性环节的倾向,大部分患者对激素疗效不佳,肾小球滤过率每进行性降低,虽然其进展速度有所不同。上呼吸道感染或免疫接种可加剧症状。有些病者蛋白尿十分严重(24小时尿蛋白定量>15g);低蛋白血症明显者,发展至尿毒症颇为迅速,偶有几个月便可发展至晚期肾衰者。本病的发生可有家族性倾向。

(五)诊断

当肾病综合征或单纯性蛋白尿患者伴有近端肾小管功能损坏时,临床上应怀疑本病。肾活检有助明确诊断,其特点是局灶、节段肾小球硬化及相应肾小管间质的局灶性改变,以及IgM和C3在肾小球病变部位的团块状沉积。

(六)鉴别诊断

1.微小病变肾病 当肾活检取材部位比较表浅,未获得硬化肾小球时,仍有可能误诊为微小病变肾病,这些病例需结合临床全面考虑。如患者临床不仅有肾病综合征,还有血尿和高血压,且对激素治疗反应不好者,仍以FSGS可能性大。

2.局灶及节段性增生性肾小球肾炎 该病之后期病变亦可类似FSGS之病理改变。这种病变在早期呈局灶性,节段性内皮细胞及系膜细胞增生,常伴局灶及节段分布的小新月体形成。除可见于IgA肾病外,此病变更多见于继发性肾小球疾病(如系统性红斑狼疮,过敏性紫癜,小血管炎等),但在成人原发性肾小球疾病很少见。

3.肾小球局灶节段性硬化 可见于多种肾脏疾病的慢性发展过程(如各种原发及继发性肾小球疾病)、梗阻及反流性肾病、AIDS患者及海洛因成瘾者,甚至可见于过度肥胖者。因此要结合病史及临床表现做出诊断。

4.局灶性肾小球纤维化 与FSGS在病理上是不同的概念,较少见。病变肾小球皱缩呈胶原纤维染色,嗜银及PAS染色阴性可助鉴别。

随年龄的增长,在40岁以后的正常人,于被膜下皮质可有硬化荒废的肾小球,此硬化常呈全球性,需注意不要与FSGS混淆。

四、膜性肾病

(一)概述

膜性肾病(membranous nephropathy)是临床上以大量蛋白尿或肾病综合征为主要表现。病理上以肾小球毛细血管基底膜均匀一致增厚,有弥漫性上皮下免疫复合物沉积为特点,不伴有明显细胞增生的独立性疾病。

(二)病理变化

光镜下早期可完全正常,随疾病进展出现不同程度变化,可分为4期。

第Ⅰ期:光学显微镜检查可见肾小球结构基本正常,有时肾小球基膜出现空泡变性。电镜检查可显示上皮下仅有少数电子致密物沉着,基膜无明显改变。

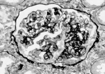
第Ⅱ期:光学显微镜检查可见肾小球毛细血管基膜弥漫性增厚,PASM染色可见基膜向外侧增生,出现多数“钉突”(图2—7)。电镜检查可显示上皮下有大量的“驼峰”状电子致密物沉积,致密物间为钉突状增生的基膜。

第Ⅲ期:光镜下见毛细血管壁明显增厚,PASM染色增厚的基膜呈中空链环状,毛细血管管腔有狭窄或闭塞,系膜基质略增多。电镜检查可显示基膜内有大量电子致密物沉积,呈双层梯状结构,上皮下致密物部分溶解。

第Ⅳ期:小球基膜高度增厚,毛细血管腔闭塞,可见小球萎缩或纤维化,系膜基质稍增多。电镜检查可显示小球基膜双层融合呈不规则增厚,致密物中有透明区形成,使基膜呈链条状。

上述各期免疫荧光检查均可见IgG、C3弥漫性细颗粒沉积于小球毛细血管袢(图2—8),有时可见IgM及纤维蛋白。

图2—7 膜性肾病Ⅱ期,毛细血管基膜弥漫性增厚,钉突形成(PASM x1000)

图2—8 膜性肾病,IgG呈颗粒状沉积于毛细血管壁(免疫荧光 x400)

(三)发病机理

本病为免疫复合物长期、缓慢沉积于上皮细胞下(又称慢性免疫复合物沉积病)。一般不引起炎症细胞反应,而通过补体的终末成分C3b~C9(是补体的攻膜系统)导致基底膜损伤。免疫荧光显示有颗粒状IgG、C3沉积于肾小球基底膜。Dixon等在动物实验中,以每日2mg低剂量异性蛋白注入家兔产生慢性血清病,循环免疫复合物沉积导致膜性肾病。

本病基底膜上皮侧免疫复合物主要原位形成,抗原可为事先“植入”,也可是脏层上皮细胞表面糖蛋白与相应的抗体在上皮细胞表面形成免疫复合物,而脱落于基底膜上。

细胞介导的免疫功能障碍亦是本病的免疫学特征之一。有资料提示,尤其在肾病综合征发作期,T淋巴细胞亚群异常,如CD4、CD8细胞的百分数和绝对值异常,前者偏高,后者减少。

原发性膜性肾病与免疫遗传学标志明显相关。欧洲如英国、德国、西班牙及芬兰等国原发性膜性肾病患者HLA—DR3检出率显着增高,美国原发性膜性肾病患者显示B细胞抗原MT2,日本原发性膜性肾病患者HLA—DR2检出率明显高,说明伴随着DR位点的免疫遗传在其发病中起一定作用。

(四)临床表现

原发性膜性肾病可发生于任何年龄,以成人多见,平均年龄35岁左右,男女之比为(1.5~2)∶1。起病隐匿,少数有前驱感染后发病。15%~20%以无症状性蛋白尿为首发症状,80%表现为肾病综合征,为非选择性蛋白尿。成人镜下血尿约占60%,儿童可有肉眼血尿,但很少见红细胞管型。早期血压多正常,随病程进展约50%出现高血压,可随肾病缓解而消失。在早期,肾功能多属正常。80%有不同程度的水肿,严重者可有胸、腹水等体腔积液。

原发性膜性肾病有两种严重的并发症:

1.高凝血症和肾静脉血栓形成 由于肾病综合征时血中凝血因子水平增加,血小板的黏附和凝聚力增强,抗凝血酶Ⅲ与抗纤溶酶活力增高,而产生高凝血症。激素应用可促进高凝。本病肾静脉血栓形成的发生率约50%,以慢性型多见,可无明显症状,但使肾病综合征加重。急性型可表现为突然出现腰痛,常较剧烈,伴有肾区即击痛、血尿,常出现肉眼血尿、白细胞尿,尿蛋白突然增加,高血压及急性肾功能损害,双侧肾静脉血栓形成甚至少尿和急性肾衰竭,可出现病侧肾脏增大。慢性型可有肾小管功能损害表现如肾性糖尿、氨基酸尿、肾小管性酸中毒。另外,可并发肺栓塞,亦可发生肾外血栓形成,如脑、心、下肢等。明确诊断需做肾静脉或肾动脉造影,放射性肾图及CT亦有助于诊断。

2.合并抗肾小球基底膜新月体肾炎 由于基底膜损害,膜抗原暴露或释放可导致抗基底膜抗体形成。血清中可能检测到抗基底膜抗体,抗中性粒细胞抗体(ANCA)。因此,如果病情稳定的患者出现迅速的肾功能减退和急进性肾炎样表现,应高度警惕此合并症的可能。

(五)诊断

如在成人以大量蛋白尿为主要表现,尤其是肾病综合征者,特别是年龄在35岁以上隐匿起病、病情发展缓慢者应想到本病的可能,而本病的确诊主要靠肾活检病理学。在诊断后,尚应区别原发性或继发性。

另外,注意有无并发症。如在临床上出现肺栓塞,急性腰腹痛,难以解释的血尿、蛋白尿增加,急性肾功能损害伴单或双侧肾体积增大等应高度怀疑肾静脉血栓形成,应做影像学检查、计算机断层扫描(CT)、B超或多普勒超声血流图、肾静脉造影术等检查。

目前临床上应用最广的是经皮股静脉穿刺选择性肾静脉造影术,若发现血管充盈缺损或静脉分支不显影即可确诊。若仅观察到某一局部造影剂引流延迟也应怀疑该部位有小血栓存在。慢性型尤其发生在左肾时,有时还能见到侧支循环。

(六)鉴别诊断

1.早期膜性肾病应与微小病变鉴别 本病肾组织电镜学可见上皮细胞下散在的沉积物,免疫荧光检查沉积物包含IgG、C3,故电镜和免疫荧光检查对诊断早期膜性肾病是很重要的。

2.狼疮肾炎Ⅳ型 多为女性患者,有系统性红斑狼疮的临床表现,ANA、抗ds—DNA抗体、Sm抗体、RNP及血清补体等,均有改变,免疫病理检查IgG、IgM、IgA、C1q、C3全阳性,呈“满堂亮”,广泛沉着于毛细血管袢及系膜区。

3.乙型肝炎病毒相关肾炎 本病大部分患者呈膜性病变,除乙肝病史及病毒血清学标记外,主要靠肾组织中有HBsAg免疫复合物沉积或乙肝病毒DNA方可确诊。

4.恶性肿瘤相关性膜性肾病 在大于60岁的膜性肾病患者中,约22%的人存在恶性肿瘤,而癌性相关性肾炎中,最常见为膜性肾病占60%~70%,常见的肿瘤如肺、乳腺、胃肠道、卵巢、肾细胞癌、淋巴瘤、白血病及类肉瘤等。

5.药物所致膜性肾病 包括金制剂、汞、青霉胺、ACEI均有引起膜性肾病的报道,应注意用药史。

6.其他 伴随的可有糖尿病、结节病、甲状腺炎、重症肌无力、镰状红细胞贫血、特发性血小板减少性紫癜、多发性结节性多动脉炎、坏疽性脓皮病及大疱性天疱疮等。

五、系膜毛细血管性肾小球肾炎

(一)概述

系膜毛细血管性肾小球肾炎(mesangiocapillary glomerulonephritis)是以肾小球基底膜增厚、系膜细胞增生及系膜基质扩张病变为特征的肾小球肾炎,故又称为膜增生性肾小球肾炎;又由于本病中的一部分患者系膜基质扩张,将肾小球分割成为若干小叶,故又称为分叶性肾小球肾炎;本病临床上部分患者伴有持续性低补体血症,故又称为低补体性肾小球肾炎。本病可见于原发性肾小球肾炎,亦可见于继发性肾小球肾炎损害,在我国乙型肝炎病毒相关性肾炎呈膜增生性肾炎病变已引起重视。本病可发生于儿童和成人,临床上也多表现为肾病综合征。

(二)病理变化

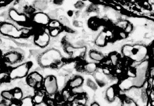
系膜毛细血管性肾小球肾炎病理改变以肾小球基底膜及系膜为其基本病变部位。根据电子致密物的沉着部位及基底膜病变的特点分为3型。

第Ⅰ型:基底膜增厚,并因系膜细胞及基质长入基底膜与内皮细胞间而呈双轨现象,双轨之形成是由插入的系膜形成伪基底膜所致,本型之系膜增生最为严重,可分隔肾小球呈小叶状(图2—9)。电镜检查除系膜插入现象外,并可见细小的不规则电子致密物于系膜区及内皮下,免疫荧光检查可见IgG、IgM及C3颗粒沿基底膜呈周边性分布,也沉积于系膜。

图2—9 系膜毛细血管性肾小球肾炎,基底膜增厚,系膜增生,呈双轨现象(PASM x400)

第Ⅱ型:又称致密沉着物病(densedepoistdisease,DDD),以基底膜内大量、大块电子致密物呈条带状沉着为特征,免疫荧光检查以C3沉着为主,免疫球蛋白沉着较少见。

第Ⅲ型:本型除与第Ⅰ型有共同改变之外,有较突出的上皮下免疫复合物沉着,并可见于膜性肾病一样的基底膜钉状突起,故又称为膜性肾病与增生性肾炎的混合型。免疫病理呈C3、伴或不伴IgG及IgM主要于基底膜分布,也沉积于系膜。

目前认为本病Ⅱ型与Ⅰ、Ⅲ型不同,是相互无关的疾病,WHO肾小球疾病组织学分类修订方案已将Ⅱ型列入继发性肾小球肾炎(属代谢性疾病肾损害)。

(三)发病机理

发病机理不清。由于此型肾炎无成功的动物实验模型,仅时而由于慢性血清病家兔可出现类似本病Ⅰ型的病变,所以本病的机理研究受到很大限制。Ⅰ型的发病可能与循环免疫复合物沉着有关。尽管各种方法测定血循环免疫复合物水平的结果不一,但持续的血浆补体低水平状态,提示可能循环免疫复合物迅速地合成并消耗补体,同时迅速地由循环中清除并沉着于肾小球,故血清中免疫复合物水平不高,而补体水平低。免疫复合物的抗原亦不清楚,可能是病毒或细菌抗原(因患者常有前驱感染史);也可能是自体免疫致病,如患者内皮下沉着物中可测知抗胰蛋白酶,可能此酶为一种自体抗原。50%~60%患者循环C3水平明显降低,而早期激活成分,如C1q、C4等正常或轻度降低,提示补体以旁路途径激活。

(四)临床表现

本病主要见于少儿及青年,老年少见。占原发性肾小球疾病的10%~20%,20%~30%患者可起病于上呼吸道感染之后。其临床表现及其特点为:

1.约50%患者表现为明显的肾病综合征,约30%表现为无症状性蛋白尿,20%~30%起始表现为急性肾炎综合征。

2.无论上述何种综合征或无症状性蛋白尿,几乎都有蛋白尿和血尿,蛋白尿为非选择性,血尿常为持续性镜下血尿,约15%呈发作性肉眼血尿。80%~90%患者伴有高血压。常于起病后即有较严重的贫血,其程度与肾功能减退程度不成比例。半数患者伴肾功能减退。

3.30%~50%患者CH50及C3呈持续性低水平,循环免疫复合物及冷球蛋白可呈阳性。

(五)诊断

临床上以下列线索提供疑诊之处:持续性无选择性蛋白尿(或肾病综合征)伴多形态严重变形红细胞血尿,持续性低补体血症,以及与肾衰竭程度不平行的贫血,如伴有部分脂肪萎缩更应怀疑本病。本病的诊断依据病理检查。

(六)鉴别诊断

1.急性起病者应与急性感染后肾炎鉴别。急性肾炎时血清补体水平于起病后6~8周恢复正常,故持续性低补体血症应怀疑本病,病理检查有助于鉴别。

2.病理检查因病变及免疫复合物沉着涉及肾小球各部位,难以与系统性红斑狼疮性肾炎Ⅳ型鉴别,应注意免疫荧光检查C1q阳性程度,并结合临床过程进行鉴别。

3.应注意鉴别乙型肝炎病毒相关肾炎呈系膜毛细血管肾炎病变者,乙肝病史及病毒血清学标记及肾组织中有HBsAg免疫复合物沉积有利于鉴别。有报告丙型肝炎病毒感染后肾炎呈本病相似的病理改变及冷球蛋白血症。

4.其他少见疾病如原发性冷球蛋白血症,临床及病理均似本病,但前者有相应全身表现,病理上肾脏小血管炎及血管内栓塞较严重。

随便看

 

离鸟网收录3541549条中英文词条,其功能与新华字典、现代汉语词典、牛津高阶英汉词典等各类中英文词典类似,基本涵盖了全部常用中英文字词句的读音、释义及用法,是语言学习和写作的有利工具。

 

Copyright © 2004-2024 vtrois.com All Rights Reserved
更新时间:2026/4/18 15:09:43