网站首页  词典首页


请输入您要查询的字词:

 

字词 肺结核
类别 中英文字词句释义及详细解析
释义

肺结核


一、概述

肺结核病(pulmonary tuberculosis)是由结核分枝杆菌引起的慢性肺部传染病,占各器官结核病总数的80%~90%。

人体感染结核菌后不一定发病,只有当抵抗力降低或细胞介导的变态反应增高时,才可能引起临床发病。除少数病例起病急聚外,临床上多呈慢性过程。患者表现为低热、消瘦、乏力等全身症状与咳嗽、咯血等呼吸系统表现。若能及时诊治,大多数病例可获临床痊愈。

二、流行病学

1.流行现状 目前,全球结核病发病率仍以年增长1%的速度持续升高。我国是结核病高发国家之一,结核病患者人数居全球第2位,仅次于印度。2004年,全球900万新发结核病例的80%分布在22个国家,而新发病例的1/2都集中分布在包括中国在内的6个亚洲国家。

耐多药结核杆菌感染患者分布于109个国家,年新发病例45万例;每年新发肺结核患者约145万,其中高传染性患者65万;每年约13万人死于结核病。造成上述情况的主要原因有近20年世界许多地区在政策上的忽视,致使肺结核防治系统遭到破坏甚至消失;随着艾滋病在全球蔓延,肺结核患者也在快速增加,而大部分艾滋病患者都死于肺结核;多种抗药性结核病菌株的产生也增加了肺结核防治的难度等。据WHO估计,目前全球有2/3以上的患者因发生多种药物耐药而处于危险中。高耐药率及多种药物耐药结核菌的不断扩散,将使结核病难以用现有的化学疗法加以控制。

最近10年,肺结核一直居我国传染病发病的前3位。从卫生部近2年公布的全国法定报告传染病疫情可以发现,肺结核居发病数的首位,居死亡数的第2位。WHO调查结果显示,全球每年新发耐多药结核杆菌感染病例的1/4分布在中国。因此,我国结核病防控形势仍不容乐观。目前,我国结核病防治主要存在两方面问题:一是发现困难,肺结核的发现率仅为39%,远远低于WHO提出的70%的目标;二是已在综合医院确诊的肺结核患者,由于种种原因未能及时转诊到专业结核病防治单位,因而得不到正规的全程化疗管理。由此可以看出,结核病控制工作已成为一个重大的公共卫生问题和社会问题。

2.流行环节

(1)传染源:开放性肺结核患者体内的结核菌是结核传播的主要来源,现已很少见。

(2)传播途径:呼吸道感染是肺结核的主要感染途径,以飞沫感染为最常见的方式,主要为患者与健康人之间的经空气传播。患者咳嗽排出的结核菌悬浮在飞沫中,小于10μg的痰滴可进入肺泡腔。因其重量轻而飘浮于空气中较长时间,在室内通风不良环境中的带菌飞沫被人吸入后即可引起感染。杆菌量愈多,接触时间愈长,危害愈大。患者污染物传播机会甚少;其他途径,如饮用带菌牛奶经消化道感染、患病孕妇经胎盘引起母婴间传播、经皮肤伤口感染和泌尿生殖系统等,均很少见。

(3)易感人群:生活贫困、居住拥挤、营养不良等是经济落后社会中,人群结核病高发的原因。婴幼儿、青春期后期、成年人早期(尤其是以上年龄段的女性)以及老年人结核病发病率较高,这可能与宿主免疫功能不全或改变有关。某些疾病,如糖尿病、硅沉着病、胃大部切除、麻疹、百日咳等,常易诱发结核病;免疫抑制状态包括免疫抑制性疾病和接受免疫抑制剂治疗者,尤其好发结核病。

鉴于控制结核病的严峻形势,WHO于2006年提出了“2006—2015年全球遏止结核病计划”,内容包括遏止患病率的增高趋势,研制新型抗结核药物及疫苗,治疗5000万结核杆菌感染患者和80万耐多药结核杆菌感染患者。肺结核的病因明确,防有措施、治有办法,但只有认真做好治疗、管理、预防及检查各环节,切实做到查出必治、治必彻底,才有可能使结核病流行情况有所改善,直至控制。

三、病因

1.结核菌 引起人类结核病的主要病原体为人型结核菌,而牛型结核菌感染少见。结核菌为需氧菌,不易染色,经品红加热染色后,即使用酸性酒精冲洗亦不能脱色,故称为抗酸杆菌;对外界抵抗力较强,在阴湿处能生存5个月以上;但阳光曝晒2小时,与5%~12%甲酚皂(来苏)溶液接触2~12小时,与70%乙醇接触2分钟或煮沸1分钟,即可被杀灭。结核菌菌壁为含有高分子量的脂肪酸、脂质、蛋白质及多糖类组成的复合成分,与其致病力、免疫反应有关。在人体内,脂质能引起单核细胞、上皮样细胞及淋巴细胞浸润,而形成结核结节;蛋白质可引起变态反应,中性粒细胞及单核细胞浸润;多糖类则参与某些免疫反应,如凝集反应。

临床上的阳性痰菌培养中约有5%为非结核分枝杆菌(除结核分枝杆菌与麻风分枝杆菌以外的分枝杆菌),亦为抗酸杆菌,广泛存在于自然界;当机体免疫受损时,可引起肺内及肺外感染;其临床表现酷似结核病,但多数对抗结核药耐药。此种非结核分枝杆菌的生物学特性与结核菌不尽相同,例如能在28℃环境生长,菌落光滑,烟酸试验阴性,耐药接触试验阳性,对豚鼠无致病力等。

2.人体的反应性

(1)免疫与变态反应:人体对结核菌的自然免疫力(先天免疫力)是非特异性的;而接种卡介菌或经过结核菌感染后所获得的免疫力(后天性免疫力)则具有特异性,能将入侵的结核菌杀死或严密包围,制止其扩散,使病灶愈合。获得性免疫显着强于自然免疫,但二者对防止结核病的保护作用是相对的。人体感染结核菌后,因具有免疫力而不发展成结核病;反之,麻疹、糖尿病、硅沉着病、艾滋病及其他慢性疾病、营养不良或使用糖皮质激素和免疫抑制剂等,会降低人体免疫功能,使其易受结核菌感染而发病,或使原先稳定的病灶重新活动。

结核病的免疫主要是细胞免疫,表现为淋巴细胞的致敏与吞噬细胞功能的增强。入侵的结核菌被吞噬细胞吞噬后,经加工处理,将抗原信息传递给T淋巴细胞,使之致敏;当致敏T淋巴细胞再次接触结核菌时,可释出多种淋巴因子,使巨噬细胞聚集在细菌周围,吞噬并杀灭细菌;然后变成类上皮细胞及朗汉斯巨细胞,最终形成结核结节,使病变局限化。结核菌侵入人体4~8周后,身体组织对结核菌及其代谢产物所发生的敏感反应称为变态反应,与另一亚群T淋巴细胞释放的炎性介质、皮肤反应因子及淋巴细胞毒素等有关。变态反应表现为局部出现炎性渗出甚至干酪样坏死,常伴有发热、乏力及食欲减退等全身症状。

结核菌体的多肽、多糖复合物与免疫反应有关,而其蜡质及结核蛋白则与变态反应有关。引起两者的抗原成分不同,但免疫与变态反应则常同时存在。例如,接种卡介苗后可产生免疫力,同时结核菌素反应(变态反应)亦转为阳性。两者的出现亦可能与机体不同T淋巴细胞亚群所产生的淋巴因子有关。免疫对人体起保护作用,而变态反应则通常伴有组织破坏,对细菌亦不利。免疫与变态反应有时亦不尽平行,这与人体复杂的内外环境、药物的影响以及感染菌数量及毒力等因素有关。总之,入侵结核菌的数量、毒力及人体免疫力、变态反应的高低决定感染后结核病的发生、发展与转归。人体抵抗力处于劣势时,结核病常易于发展;反之,感染后不易发病,即使发病亦比较轻,且易治愈。

(2)初感染与再感染:肺部首次(常为小儿)感染结核菌后(初感染),细菌被吞噬细胞携至肺门淋巴结(淋巴结肿大),并可全身播散(隐性菌血症)。此时若机体免疫力低下,则可能发展为原发性进行性结核病。但是成年人机体已有一定的免疫力(往往在儿童时期已受过轻度结核感染,或已接种卡介苗),再感染则大多不引起局部淋巴结肿大,亦不易发生全身播散,而只在再感染局部发生剧烈组织反应。其病灶多为渗出性,甚至有干酪样坏死、溶解而形成空洞。

四、生理病理

1.结核病的基本病理变化 人体免疫力及变态反应性、结核菌入侵的数量及其毒力,与结核病变的性质、范围以及从一种病理类型转变为另一类型的可能性与速度均有密切关系。因此,结核病的病变过程相当复杂,基本病理变化亦不一定全部出现在患者的肺部。

(1)渗出为主的病变:表现为充血、水肿与白细胞浸润。早期渗出性病变中有嗜中粒细胞,以后逐渐被单核细胞(吞噬细胞)所代替。在大单核细胞内可见到吞入的结核菌。渗出性病变通常出现在结核炎症的早期或病灶恶化时,亦可见于浆膜结核。当病情好转时,渗出性病变可完全消散吸收。

(2)增生为主的病变:开始时可有一短暂的渗出阶段。当大单核细胞吞噬并消化了结核菌后,菌体的磷脂成分使大单核细胞形态变得大而扁平,类似上皮细胞,称为“类上皮细胞”。类上皮细胞聚集成团,中央可出现朗汉斯巨细胞。后者可将结核菌抗原的信息传递给淋巴细胞,在其外围常有较多的淋巴细胞,形成典型的结核结节,为结核病的特征性病变。结核结节中通常不易找到结核菌。

(3)变质为主的病变(干酪样坏死):常发生在渗出或增生性病变的基础上。若机体抵抗力降低、菌量过多、变态反应强烈,则渗出性病变中结核菌战胜巨噬细胞后不断繁殖,使细胞混浊、肿胀后发生脂肪变性,继而溶解、碎裂,直至细胞坏死。炎症细胞死后释放蛋白溶解酶,使组织溶解坏死,形成凝固性坏死。因含大量脂质,使病灶在肉眼观察下呈黄灰色、质松而脆,状似干酪,故名干酪样坏死;镜检可见一片凝固的、染成伊红色的、无结核的坏死组织。

上述病变可同时存在于一个肺部病灶史,但通常有一种是主要的。例如,在渗出性及增生性病变的中央,可出现少量干酪样坏死;而变质为主的病变,常同时伴有程度不同的渗出与结核结节的形成。

2.结核病变的转归 干酪样坏死病灶中,结核菌大量繁殖引起液化,这与中性粒细胞及大单核细胞浸润有关。液化的干酪样坏死物部分被吸收,部分由支气管排出后形成空洞或在肺内引起支气管播散。当人体免疫力增强及使用抗结核药物治疗时,病灶可逐渐愈合。渗出性病灶可通过单核-巨噬细胞系统的吞噬作用而吸收消散,甚至不留瘢痕;较小的干酪样坏死或增生性病变亦可经治疗后缩小、吸收,仅留下轻微纤维瘢痕。病灶在愈合过程中常伴有纤维组织增生,形成条索状瘢痕。干酪样病灶亦可因失水、收缩及钙盐沉着,最终形成钙化灶而愈合。

3.结核病灶的播散与恶化 人体初次感染结核菌时,结核菌可被细胞吞噬,经淋巴管带至肺门淋巴结;少量结核菌可进入血液循环播散至全身,但可能并无显着临床症状(隐性菌血症)。若坏死病灶侵蚀血管,则结核菌可通过血液循环引起包括肺在内的全身粟粒型结核,如脑膜、骨、肾结核等。肺内结核菌可沿支气管播散,而在肺的其他部位形成新的结核病灶。肺结核可直接扩展至胸膜引起结核性胸膜炎。大量含结核菌的痰进入胃肠道,亦可引起肠结核、腹膜结核等。

结核病理改变的演变与机体全身免疫功能及肺局部免疫力的强弱有关。纤维化是免疫力强的表现,而空洞形成常表示免疫力低下。

五、临床表现

典型肺结核起病缓慢,病程较长,有低热、倦怠、食欲不振、咳嗽及少量咯血等症状。但多数患者病灶轻微,无显着症状,只在X线健康检查时偶被发现,或因突然咯血才被确诊。少数患者因突然起病及突出的毒性症状和呼吸道症状,而经X线检查确认为急性粟粒型肺结核或干酪性肺炎。老年肺结核患者易被长年慢性支气管炎的症状所掩盖。偶有未被发现的重症肺结核因继发感染而有高热,甚至已发展至败血症或呼吸衰竭才去就医。鉴于肺结核的临床表现常呈多样化,则在结核病疫情已基本得到控制、发病率低的地区,医务人员在日常诊疗工作中尤应认识其不典型表现。

1.症状

(1)全身症状:表现为午后低热、乏力、食欲减退、消瘦、盗汗等。若肺部病灶进展播散,常呈不规则高热。妇女可有月经失调或闭经。

(2)呼吸系统症状:通常为干咳或带少量黏液痰,继发感染时痰呈黏液脓性。约1/3的患者有不同程度咯血,痰中带血多因炎性病灶的毛细血管扩张所致;中等量以上咯血,则与小血管损伤或位于空洞的血管瘤破裂有关。咯血后常有低热表现,若发热持续不退,则应考虑结核病灶播散。有时硬结钙化的结核病灶可因机械性损伤血管或合并支气管扩张而咯血,偶可因血块阻塞大气道引起窒息。病灶炎症累及壁层及胸膜时,相应胸壁有刺痛,并随呼吸及咳嗽而加重。慢性重症肺结核时,呼吸功能减退,常出现渐进性呼吸困难,甚至缺氧发绀;若并发气胸或大量胸腔积液,则呼吸困难症状尤为严重。

2.体征 早期病灶小或位于肺组织深部,多无异常体征。若病变范围较大,则患侧肺部呼吸运动减弱,叩诊呈浊音,听诊时呼吸音减低或为支气管肺泡呼吸音。因肺结核好发于肺上叶尖后段及下叶背段,故锁骨上下、肩胛间区叩诊略浊,咳嗽后偶可闻及湿啰音,其对诊断有参考意义。肺部病变发生广泛纤维化或胸膜粘连增厚时,患侧胸廓常呈下陷、肋间隙变窄、气管移位与叩浊,对侧可有代偿性肺气肿征。

3.结核菌感染与肺结核的发生、发展 肺结核分原发性与继续性两大类。原发性肺结核是指结核菌初次感染而在肺内发生的病变,常见于小儿。此时,人体反应性较低,病灶局部反应亦轻微,结核菌常沿淋巴管抵达淋巴结。继发性肺结核通常发生在曾受过结核菌感染的成年人。此时,人体对结核菌具有一定的免疫与变态反应。潜伏在肺内细菌活跃,病灶部位多在肺尖附近,结核菌一般不播及淋巴结,亦很少引起血行播散。但肺内局部病灶处炎症反应剧烈,容易发生干酪样坏死及空洞。大多数病变可在病程发展的某个阶段吸收消散或硬结钙化。在合理使用抗结核化疗药物后,患者更容易痊愈。仅少数患者因抵抗力过低或治疗不当,病变进展恶化。

(1)原发型肺结核:当人体抵抗力降低时,吸入的结核菌在肺部形成渗出性病灶,部位多在上叶底部、中叶或下叶上部(肺通气较大部位),引起淋巴结炎及淋巴管炎。肺部的原发病灶、淋巴管炎及局部淋巴结炎统称原发综合征。原发型肺结核多发生于儿童,亦可见于边远山区、农村初次进入城市的成年人。多数患者可毫无症状,或仅有轻微类似感冒的症状,如低热、轻咳、食欲减退、体重减轻等,历时数周即好转。X线检查可见肺部原发灶、淋巴管及肺部淋巴结肿大。若肺内原发病灶靠近胸膜,当人体处于过敏状态时可引起胸膜炎。

肺部原发病灶通常吸收较快,一般不留痕迹或仅成为细小钙化灶;肺门淋巴结炎偶可经久不愈,且蔓延至邻近的纵隔淋巴结。肺门或纵隔淋巴结结核较原发综合征更为常见。肿大的肺门淋巴结若压迫支气管,可导致肺不张、远端肺部炎症或继发性支气管扩张。原发型结核的肺部原发灶(尤其是肺门淋巴结)内的结核菌常有少量进入血液循环,进而播散至身体各脏器,但常因人体抵抗力强,而使病灶局限于肺尖(或肺上部)、骨、脑、肝、泌尿生殖器官等处,逐渐愈合。但病灶内的结核菌可长期存活,成为复发的可能(形成继发结核灶)。

图1-1 男性,32岁,干咳发热1个月,急性血行播散型肺结核

(2)血行播散型肺结核:本型是各型肺结核中较严重者,是急性全身血行播散型结核病的一部分;多由原发型肺结核发展而来,但成年人大多由肺外结核病灶破溃至血管所引起。本病起病急,有全身毒血症状,常伴有结核性脑膜炎;X线显示双肺在浓密的网状阴影上满布境界清晰的粟粒状阴影,直径约2mm,大小及密度均大体相等(图1-1)。病初胸部X线表现可能无明显粟粒状影,或仅有弥漫性网状改变,易误诊为伤寒、败血症等其他发热性疾病。若人体抵抗力较强,少量结核菌分批经血液循环进入肺部,则血行播散灶常大小不均、新旧不等,在双肺上中部呈对称性分布,称为亚急性或慢性血行播散型肺结核。其病情发展缓慢,通常无显着中毒症状。患者可无自觉症状,偶于X线检查时才被发现。此时病灶多较稳定或已硬结愈合。

(3)浸润型肺结核:是肺结核中最常见的一种类型。原发感染经血行播散而潜伏在肺内的结核菌多数逐渐死亡,仅当人体免疫力降低时才有机会繁殖,形成以渗出和细胞浸润为主、伴有程度不同的干酪样病灶的表现,称为浸润型肺结核。原发病灶亦可能直接进展成浸润型肺结核。此外,与排菌肺结核患者密切接触,反复经呼吸道感染,亦可发生浸润型肺结核,但较少见。

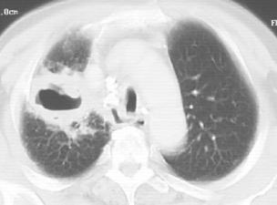
图1-2 男性,44岁,咯血1个月,浸润型肺结核

浸润型肺结核多见于成年人,起病缓慢,临床症状视其病灶范围及人体反应性而定。早期及病灶较小者往往无明显症状及体征,常由健康查体时的胸部X线检查发现,显示为锁骨上下片状、絮状阴影,边缘模糊。当人体处于过敏状态且有大量结核菌进入肺部时,病灶呈干酪样坏死、液化,进而形成空洞及病灶的支气管播散(图1-2)。浸润型肺结核伴大片干酪样坏死灶时,常呈急性进展,出现严重毒性症状,临床上称为干酪性(或结核性)肺炎。干酪样坏死灶部分消散后,周围形成纤维包膜;或空洞的引流支气管阻塞,致使空洞内干酪物难以排出,凝成球形病灶,称为“结核球”(图1-3)。当病变处于炎症渗出、细胞浸润甚至干酪样坏死阶段,经恰当的抗结核化学治疗后,炎症吸收消散;遗留的细小干酪样病灶经纤维包围,逐渐失水、干燥甚至钙化,成为残留的结节状病灶,称纤维硬结病灶或临床痊愈。

图1-3 男性,20岁,体检胸片类圆形,左肺结核球

4.慢性纤维空洞型肺结核 肺结核未及时发现或治疗不当,致空洞长期不愈,空洞壁增厚,病灶出现广泛纤维化;随机体免疫力的高低波动,病灶吸收、修复与恶化、进展交替发生,成为慢性纤维空洞型肺结核。病灶常有反复支气管播散,病程迁延,症状时有起伏,痰中带有结核菌(为结核病的重要传染源)。X线检查显示一侧或两侧单个或多个厚壁空洞,多伴有支气管播散病灶及明显的胸膜增厚;因肺组织纤维收缩,使肺门被牵拉向上,肺纹呈垂柳状阴影,纵隔牵向病侧。

邻近或对侧肺组织常有代偿性肺气肿,常并发慢性支气管炎、支气管扩张、继发感染或慢性肺源性心脏病。肺组织广泛破坏,纤维组织增生,可进一步导致肺叶或全肺收缩(“毁损肺”)。上述改变均可视为继发性肺结核的后遗表现。

六、检查

1.结核菌检查 是确诊肺结核最具特异性的方法,于痰中找到结核菌是确诊肺结核的主要依据。涂片抗酸染色镜检快速简便。在我国非典型分枝杆菌尚属少见,故抗酸杆菌阳性,则肺结核诊断基本即可成立。无痰或儿童不会咳嗽,可采用清晨的胃洗液查找结核菌;成年人亦可通过纤维支气管镜检查,从其灌洗液中查找结核菌。痰菌阳性表明其病灶是开放性的,具有传染性。若杆菌量多(每毫升10万个以上),直接涂片易呈阳性,为社会传染源;痰菌量较少(每毫升1万个以下),可用集菌法。培养法更为精确,特异性高,除能了解结核菌有无生长繁殖能力外,还可做药物敏感试验与菌型鉴定。结核菌生长缓慢,通常需4~8周才能报告。若涂片阴性或诊断有疑问时,培养尤其重要,培养菌株进一步做药物敏感性测定可为治疗(特别是复治)时提供参考。将标本在体外用聚合酶链反应(PCR)法,使所含微量结核菌DNA得到扩增,用电泳法检出。1个结核菌约含1fgDNA,40个结核菌即可有阳性结果。该法不必体外预培养,特异性强,2日即可出报告,快速、简便,并可鉴定菌型;不足之处是可能出现假阳性或假阴性。

2.影像学检查 胸部X线检查可以发现肺内病变的部位、范围、有无空洞、空洞大小、洞壁厚薄等。X线对各类结核病变的透过度不同,因此通过X线检查能大致估计结核病灶的病理性质,并能发现早期肺结核,以及判断病情发展及治疗效果,有助于决定治疗方案。肺结核的常见X线表现包括:纤维钙化的硬结病灶,表现为密度较高、边缘清晰的斑点、条索或结节状阴影;浸润性病灶,表现为密度较淡、边缘模糊的云雾状阴影;干酪样病灶,表现为密度较高、浓淡不一、有环形边界透光区的空洞等。肺结核病灶通常在肺上部、单侧或双侧存在时间较长,且有多种不同性质的病灶混合存在,及肺内播散迹象。凡胸部X线检查显示渗出性或渗出增殖性病灶、干酪性肺炎、干酪样病灶、空洞(除净化空洞外),均提示为活动性病变;增殖性病变、纤维包囊紧密的干酪硬结灶及纤维钙化灶等,均属非活动性病变。活动性病灶的痰中仍可找到结核菌。

胸部CT检查对于发现微小或隐蔽性病变,了解病变范围及肺病变鉴别等方面,均有帮助。

3.结核菌素(简称结素)试验 是诊断结核感染的参考指标。

旧结素(old tuberculin,OT)是结核菌的代谢产物,由液体培养出的结核菌提炼而成,主要含有结核蛋白。OT抗原不纯可能引起非特异性反应。在人群中做普查时,可用1∶2000的OT稀释液0.1ml(5U),在左前臂屈侧做皮内注射,经48~72小时测量皮肤硬结直径;如<5mm为阴性,5~9mm为弱阳性(提示结核菌或结核分枝杆菌感染),10~19mm为阳性反应,>20mm或局部出现水泡与坏死者为强阳性反应。

结素的纯蛋白衍生物(purified protein derivative,PPD)由旧结素滤液中提取的结核蛋白精制而成,为纯洁素,不产生非特异性反应。国际上常用的PPD-RT23已经取代OT。我国从人型结核菌制成的PPD-C及从卡介苗制成的BCG-PPD均纯度较好,已广泛用于临床诊断,皮内注射0.1ml(5U)硬结平均直径≥5mm为阳性反应。

结素试验除引起局部皮肤反应外,偶可引起全身反应。临床诊断通常使用5U,如无反应,可在1周后再用5U(产生结素增强效应),如仍为阴性则可大致除外结核感染。

目前,结素试验仍是结核病综合诊断中常用手段之一,有助于判断有无结核菌感染。若呈强阳性反应,常表示为活动性结核病;阳性反应仅表示曾有结核感染,并不一定现有患病。我国城市成年居民的既往结核感染率在60%以上,故用5U结素进行检查,阳性结果一般意义不大。结素试验对婴幼儿的诊断价值较成年人大,因年龄越小,自然感染率越低;3岁以下强阳性反应者应视为有新近感染的活动性结核病,有必要进行治疗。如果2年内结素反应结果从<10mm增加至>10mm,并增加6mm以上时,可认为有新发感染。结素试验阴性反应除表示没有结核菌感染外,尚应考虑以下情况:结核菌感染后需4~8周才建立充分变态反应,因此在该变态反应产生之前,结素试验可呈阴性;应用糖皮质激素等免疫抑制药物,营养不良,或患麻疹、百日咳等症者,结素反应亦可暂时消失;严重结核病及各种危重患者对结素无反应或仅出现弱阳性反应,这与人体免疫力及变态反应暂时受抑有关,待病情好转可转为阳性反应;淋巴细胞免疫系统缺陷(如白血病、淋巴瘤、结节病、艾滋病等)患者或年老体衰者的结素反应亦常为阴性。

4.其他检查 结核病患者血象通常无改变,严重病例常有继发性贫血,急性粟粒型肺结核患者出现白细胞计数减低或类白血病反应。血沉增快常见于活动性肺结核,但并无特异性诊断价值,血沉正常亦不能排除活动性肺结核。患者无痰或痰菌阴性而需与其他疾病鉴别时,用酶联免疫吸附试验(ELISA法)检出患者血清中特异性抗体,可能对肺外结核的诊断提供参考。纤维支气管镜检查对于发现支气管内膜结核,了解有无肿瘤,吸取分泌物,解除阻塞,做病原菌及脱落细胞检查,以及取活组织做病理检查等,均有重要诊断价值。浅表淋巴结活检有助于结核的鉴别诊断。

近年来,应用分子生物学及基因工程技术,如核酸探针(DNA probe)、染色体核酸指纹术等,以非培养方法来检出与鉴定临床标本中的结核菌,已逐渐展示其敏感、快速及特异性高等优点。

七、诊断标准

痰结核菌检查不仅是诊断肺结核的主要依据,亦是考核疗效及随访病情的重要指标。肺结核病患者的痰液可呈间歇排菌,故应连续多次查痰。X线检查是诊断肺结核的必要手段,对早期诊断、确定病变(部位、范围、性质)、了解其演变及选择治疗等均具有重要价值。

(一)1990年8月4日《中华人民共和国传染病防治法》规定管理的结核病诊断标准(试行)

1.疑似病例 凡符合下列项目之一者。

(1)痰结核菌检查阴性,胸部X线检查怀疑活动性肺结核病变。

(2)痰结核菌检查阴性,胸部X线检查有异常阴影,患者有咳嗽、咳痰、低热、盗汗等肺结核症状或按肺炎治疗观察2~4周未见吸收。

(3)儿童结核菌素试验(5U,相当于1∶2000)强阳性反应,伴有结核病临床症状。

2.确诊病例 凡符合下列项目之一者。

(1)痰结核菌检查阳性(包括涂片或培养)。

(2)痰结核菌阴性,胸部X线检查有典型的活动性结核病变表现。

(3)肺部病变标本、病理学诊断为结核病变。

(4)疑似肺结核病者,经临床X线随访、观察后,可排除其他肺部病变。

(5)临床上已排除其他原因引起之胸腔积液,可诊断结核性胸膜炎。

(二)2001年中华医学会结核病学分会公布的肺结核诊断和治疗指南

1.肺结核的临床表现 有下列表现应考虑肺结核的可能,应进一步做痰液细菌学检查和胸部X线检查。应注意,约有20%的活动肺结核患者也可以无症状或仅有轻微症状。

(1)咳嗽、咳痰3周或以上,可伴有咯血、胸痛、呼吸困难等症状。

(2)发热(常午后低热),可伴盗汗、乏力、食欲降低、体重减轻、月经失调等。

(3)结核变态反应引起的过敏表现,如结节性红斑、泡性结膜炎和结核风湿症(Poncet syndrone)等。

(4)结核菌素(PPD-C5TU)皮肤试验:我国是结核病高流行国家,儿童普种卡介苗,因此阳性结果对诊断结核病意义不大;但对未种卡介苗儿童,则提示已受结核分枝杆菌(简称结核菌)感染或体内有活动性结核病。呈现强阳性表示机体处于超过敏状态,发病几率高,可作为临床诊断结核病的参考指征。

(5)患肺结核时,肺部体征常不明显。肺部病变较广泛时可有相应体征,有明显空洞或并发支气管扩张时可闻及中小水泡音。

2.肺结核的影像学诊断 细菌学检查是肺结核诊断的确切依据,但不是所有的肺结核都可得到细菌学证实。胸部X线检查也常是重要的但是肺结核的胸部X线表现并无特征性改变,需注意与其他肺部疾病鉴别。

(1)一般而言,肺结核胸部X线表现可有如下特点:

①多发生在肺上叶尖后段、肺下叶背段、后基底段;

②病变可局限,也可多肺段侵犯;

③X线影像可呈多形态表现(即同时呈现渗出、增殖、纤维和干酪样病变),也可伴有钙化;

④易合并空洞;

⑤可伴有支气管播散灶;

⑥可伴胸腔积液、胸膜增厚与粘连;

⑦呈球形病灶时(结核球)直径多在3cm以内,周围可有卫星病灶,内侧端可有引流支气管征;

⑧病变吸收慢(1个月以内变化较小)。

(2)胸部CT扫描对如下情况有补充性诊断价值:

①发现胸内隐匿部位病变,包括气管、支气管内的病变;

②早期发现肺内粟粒样阴影;

③对诊断有困难的肿块阴影、空洞、孤立结节和浸润阴影的鉴别诊断;

④了解肺门、纵隔淋巴结肿大情况,鉴别纵隔淋巴结结核与肿瘤;

⑤少量胸腔积液、包裹积液、叶间积液和其他胸膜病变的检出。

3.肺结核的病原学诊断

(1)标本采集和结核菌的检测:标本来源于痰液、超声雾化导痰、下呼吸道采样、支气管冲洗液、支气管肺泡灌洗液(BALF)、肺及支气管活检标本。痰标本质量好坏及是否停抗结核药直接影响结核菌检出阳性结果和培养分离率,晨痰涂片阳性率比较高。当患者痰少时,可采用高渗盐水超声雾化导痰。

涂片检查采用萋尼抗酸染色和荧光染色法。集菌法阳性率高于直接涂片法。涂片染色阳性只能说明抗酸杆菌存在,不能区分是结核菌还是非结核分枝杆菌。由于我国非结核分枝杆菌病发病较少,故检出抗酸杆菌对诊断结核病已有极重要的意义。直接涂片方法简单、快速,但敏感性不高,应作为常规检查方法。涂片阴性不能排除肺结核,连续检查3次以上可提高其检出率。分离培养法灵敏度高于涂片镜检法,可直接获得菌落,便于与非结核分枝杆菌鉴别,是结核病诊断“金标准”。未进行抗结核治疗或停药48~72小时的肺结核患者可获得比较高的分离率。分离培养法采用改良罗氏和BACTEC法。其中,BACTEC法较常规改良罗氏培养法提高初代分离率10%左右,又可鉴别非结核分枝杆菌,检测时间也明显缩短。

(2)结核菌药物敏感性检测:对肺结核痰菌阴转后复阳、化学治疗3~6个月后痰菌仍持续阳性、经治疗痰菌减少后又持续增加及复治患者应进行药物敏感性检测。在原发耐药率较高地区,如条件允许也可在初治肺结核时行药物敏感性检测。目前国内采用绝对浓度间接法,也可采用比例法。

(3)痰、BALF、胸腔积液结核菌聚合酶链反应(PCR)+探针检查:由于结核菌生长缓慢,分离培养阳性率不高,需要快速、灵敏和特异的病原学检查和鉴定技术。核酸探针和PCR为结核病细菌学基因诊断提供了可能。PCR是选用一对特定的寡核苷酸引物介导的针对结核菌某特定核酸序列的DNA体外扩增技术,可以在短时间内使特定的核酸序列复制数增加数百万倍。在此基础上进行探针杂交,提高了检出的灵敏度和特异性。研究结果显示,痰液PCR+探针检测的阳性率明显高于涂片镜检,略高于病原体培养,且快速省时,成为结核病病原学诊断的重要参考,但是尚有一些技术问题需进一步解决。

(4)血清抗结核抗体检查:血清学诊断可成为结核病的快速辅助诊断手段,但由于特异性欠佳、敏感性较低,尚需进一步研究。

4.菌阴肺结核的诊断 菌阴肺结核为3次痰涂片及1次培养阴性的肺结核,其诊断标准为:

①典型肺结核临床症状和胸部X线表现;

②抗结核治疗有效;

③临床可排除其他非结核性肺部疾患;

④PPD(5TU)强阳性,血清抗结核抗体阳性;

⑤痰结核菌PCR+探针检测呈阳性;

⑥肺外组织病理证实结核病变;

⑦BALF检出抗酸分枝杆菌;

⑧支气管或肺部组织病理证实结核病变。

具备①~⑥中的3项或⑦~⑧中任何一项可确诊。

5.特殊人群和非典型肺结核 某些特殊人群患肺结核可在症状、体征、胸部X线表现及临床经过等方面与一般肺结核患者有许多不同特点(即所谓“非典型肺结核”),因此较易延误诊断。为引起临床重视,概括有如下情况。

(1)由于被皮质激素或其他免疫抑制药物和因素干扰或掩盖,免疫损害者(指原发免疫缺陷性疾病及接受放、化疗和免疫抑制药物治疗的患者)的肺结核症状隐匿或轻微。患者可缺乏呼吸道症状,也可由于免疫防御机制受损而以突发高热起病,病变进展迅速呈暴发性经过。

(2)免疫损害患者的肺结核以血行播散肺结核居多,多合并胸膜炎或肺外结核。X线“多形性”表现不明显,以均质性片絮状阴影表现居多,可在结核病非好发部位(中下肺叶及上叶前段)发生,需和急性肺炎鉴别。

(3)极度免疫功能低下患者可首先出现高热及侵犯肝、脾和淋巴结等全身症状,肺部X线阴影出现时间明显延长或长时间表现为无典型粟粒样病变的无反应性结核病(暴发性结核性败血症)。

(4)艾滋病合并肺结核时可表现肺门、纵隔淋巴结肿大及中下肺野浸润病变增多,类似原发肺结核表现,且有合并胸膜炎与肺外结核多、PPD试验呈阴性等特点。

(5)糖尿病合并肺结核时X线特点以渗出干酪物为主,可呈大片状、巨块状,易形成空洞,好发于肺门区及中下肺野,病变进展快,应注意与急性肺炎、肺化脓症、肺癌鉴别。

(6)支气管结核所致肺结核多在中下肺野或邻近肺段,由于有支气管狭窄因素存在,常可合并细菌感染,致病变表现不典型,易与肺炎混淆。肺不张也常是支气管结核的并发症。

(三)分类标准

1.1978年在柳州全国结核病防治会议上,制订的我国肺结核分类法。

(1)肺结核类型:肺结核分为5种类型。

1)原发型肺结核(Ⅰ型):原发型肺结核为原发结核感染引起的临床病症,包括原发综合征及胸内淋巴结结核。并发淋巴结支气管瘘时,或淋巴结肿大比较显着而肺内只有较少的播散性病变时,仍归本型。

2)血行播散型肺结核(Ⅱ型):血行播散型肺结核包括急性血行播散型肺结核(急性粟粒型肺结核)及亚急性、慢性血行播散型肺结核。

3)浸润型肺结核(Ⅲ型):浸润型肺结核是继发性结核的主要类型。患者肺部有渗出、浸润和(或)程度不等的干酪样病变,也可见空洞形成。此外,干酪性肺炎和结核球也属于此型。

4)慢性纤维空洞型肺结核(Ⅳ型):慢性纤维空洞型肺结核是继发性肺结核的慢性类型,常伴有较为广泛的支气管播散性病变及明显的胸膜增厚。肺组织破坏常较显着,伴纤维组织明显增生,而造成患处肺组织收缩和纵隔、肺门的牵拉移位,邻近肺组织常呈代偿性肺气肿。

5)结核性胸膜炎(Ⅴ型):结核性胸膜炎为临床上已排除由其他原因引起的胸膜炎,包括结核性脓胸。

(2)病变范围及部位:病变范围按左、右侧,分上、中、下肺野记述。

1)上肺野:第二前肋下缘内端水平以上。

2)中肺野:上肺野以下,第四前肋下缘内端水平以上。

3)下肺野:中肺野以下。

右侧病变记录在横线以上,左侧病变记录在横线以下,一侧无病变以“(-)”表示。

(3)痰菌检查情况:痰菌检查为诊断和考核疗效的主要指标。

痰菌检查阳性以“(+)”表示,阴性以“(-)”表示;必须注明痰菌检查的方法,以“涂”(厚涂)、“集”(集菌)或“培”(培养)表示。例如,“涂(+)”表示涂片找到结核菌;“集(-)”表示集菌法未找到结核菌;“培(-)”表示培养未分离出结核菌。痰菌明转似的标准:连续检查3个月;每个月至少有1次涂片或集菌法检查(有条件者做培养)阴性。患者无痰或未查痰时,应注明“无痰”或“未查”。

(4)活动性及转归:在判断患者的活动性及转归时,可综合患者的临床表现、肺内病变、空洞及痰菌等情况决定。

1)进展期

凡具备下述1项者属进展期:①新发现的活动性病变;②病变较前恶化、增多;③新出现空洞或空洞增大;④痰菌阳性。

2)好转期

凡具备下述1项者属好转期:①病变较前吸收、好转;②空洞闭合或缩小;③痰菌阴转(由阳性转为阴性)。

3)稳定期

病变无活动性、空洞闭合、痰菌连续阴性(每个月至少查痰菌1次)均达6个月以上。如空洞仍然存在,则痰菌须连续阴性1年以上。

4)活动性判断:肺结核进展期或好转期均属活动性,也就是需要治疗管理的患者,即登记管理Ⅰ组(传染性)和Ⅱ组(非传染性)。稳定期患者为非活动性肺结核,属初步临床治愈,但尚需观察的患者,即登记管理Ⅲ组。稳定期患者经观察2年,病变仍无活动性、痰菌仍持续阴性(应尽可能用集菌法或培养法)为临床治愈,取消登记;如仍有空洞,则需观察3年以上,才能取消登记(注:此点已不适用于短程化疗时代)。如因各种原因或初步诊治时缺乏对比资料而不能确定活动性或转归时,可记“活动性未定”,一般仍以活动性肺结核处理为宜。

(5)记录程序:肺结核分类法可按下述程序记录,即肺结核类型、病变范围及空洞部位、痰菌检查、活动性及转归。血行播散型肺结核后应加注“(急性)”或“(慢性)”;干酪性肺炎也应在类型后加注。如有肺外结核或(和)重要并发症时,可附记在最后。举例:浸润型肺结核上0下/(-)集(+),进展期。

2.1999年提出的结核病分类标准

(1)原发型肺结核:为原发结核感染所致的临床病症,包括原发综合征及胸内淋巴结结核。

(2)血行播散型肺结核:包括急性血行播散型肺结核(急性粟粒型肺结核)及亚急性、慢性血行播散型肺结核。

(3)继发型肺结核:是肺结核中的一个主要类型,包括浸润性肺结核、纤维空洞性肺结核及干酪性肺炎等。

(4)结核性胸膜炎:临床上已排除由其他原因引起的胸膜炎,包括结核性干性胸膜炎、结核性渗出性胸膜炎、结核性脓胸。

(5)其他肺外结核:按部位及脏器命名,如骨关节结核、结核性脑膜炎、肾结核、肠结核等。

在诊断肺结核时,可按上述分类名称书写诊断,并应注明范围(左侧、右侧、双侧)、痰菌和初、复治情况。

3.中华人民共和国卫生行业制定的结核病分类标准

(1)范围:本标准规定了结核病的分类,适用于各级医疗机构、卫生防疫、医疗保健机构对结核病的诊断、治疗、预防。

(2)结核病分类

1)原发性肺结核:为原发结核感染所致的临床病症,包括原发综合征及胸内淋巴结结核。

2)血行播散性肺结核:包括急性血行播散性肺结核(急性粟粒型肺结核)及亚急性、慢性血行播散性肺结核。

3)继发性肺结核:是肺结核中的一个主要类型,包括浸润性肺结核、纤维空洞性肺结核及干酪性肺炎等。

4)结核性胸膜炎:临床上已排除由其他原因引起的胸膜炎,包括结核性干性胸膜炎、结核性渗出性胸膜炎、结核性脓胸。

5)其他肺外结核:按部位及脏器命名,如骨关节结核、结核性脑膜炎、肾结核、肠结核等。

(3)病变部位、范围:肺结核病变部位按左侧、右侧、双侧,范围按上、中、下记录。

(4)痰菌检查:痰菌检查是确定传染、诊断和治疗的主要依据。痰菌检查阳性以“(+)”表示,阴性以“(-)”表示。此外,需注明痰检方法,如涂片(涂)、培养(培)等,以涂(+),涂(-),培(+),培(-)表示。当患者无痰或未查痰时,则注明“(无痰)”或“(未查)”。

(5)化疗史:分为初治与复治。

1)初治:凡既往未用过抗结核药物治疗或用药时间少于1个月的新发病例。

2)复治:凡既往应用抗结核药物1个月以上的新发病例、复发病例、初治治疗失败病例等。

(6)病历记录格式:按结核病分类、病变部位及范围、痰菌情况、化疗史程序书写,以下列举若干范例。

1)原发性肺结核:右中,涂(-),初治。

2)继发性肺结核:双上,涂(+),复治。

3)原发性肺结核:左中,(无痰),初治。

4)继发性肺结核:右上,(未查),初治。

八、鉴别诊断

肺结核的症状、体征、X线表现等易与多种呼吸道及全身性疾病相混,在表现不典型和缺乏细菌学或病理学确诊根据时容易误诊。因此,常需认真询问病史、做相应检查、仔细分析、做好鉴别诊断,才能减少误、漏诊。最常需要与肺结核相鉴别的是肺癌、肺炎、肺脓肿、慢性支气管炎、支气管扩张、发热性疾病。

1.肺癌 中心型在肺门处有结节影或有肺门纵隔淋巴结转移,需与淋巴结核鉴别;周围型在肺周围有小片浸润、结节影,需与结核球或结核浸润性病灶鉴别。肺癌多为40岁以上,中心型以鳞癌为主,常有长期吸烟史;一般不发热,有呼吸困难或胸闷、胸痛逐渐加重,常刺激性咳嗽、有痰血,进行性消瘦。有锁骨上转移者可触及质硬淋巴结,某些患者可有骨关节肥大症。X线检查显示结节可有分叶毛刺,无卫星灶,一般无钙化,可有空泡征;外周型可见胸膜内陷征。肺癌患者的痰中,70%可检得癌细胞;而结核病患者的痰中,有50%可查到结核菌。肺癌患者经刷片、支气管肺泡灌洗(BAL)检查可见癌细胞,结核者可查到结核菌。结素试验中,肺癌往往呈阴性,而结核病常呈强阳性。血清唾液酸与癌胚抗原(CEA)测定阳性,常提示癌症。上述各项不能确诊时,应剖胸探查。如有更多结核活动性指征(如痰PCR法TB-DNA阳性;结素1U强阳性,或0.1U一般阳性,亦或ELISA法PPD-IgG阳性)可试抗结核治疗后观察,以做鉴别。

2.肺炎 肺部非细菌性(支原体、病毒、过敏)肺炎常显示斑片影,与早期浸润性肺结核的表现相似;而细菌性肺炎出现大叶性病变时,可与结核性干酪性肺炎相混,都需鉴别。支原体肺炎常症状轻而X线征象重,2~3周后可自行消失;过敏性肺炎血中嗜酸粒细胞增多,肺内阴影呈游走性。两者各有特点,易于鉴别。细菌性肺炎可急性起病,有寒战、高热、咳铁锈色痰、口唇疱疹等症状;痰结核菌检查阴性,肺炎链球菌阳性;经抗生素治疗可恢复快,症状于1个月内全部消散。与炎症鉴别时,一般先抗炎治疗而不用抗结核治疗,这样可较快弄清诊断,且避免不规则使用抗结核药造成耐药。

3.肺脓肿 浸润型肺结核如有空洞,常需与肺脓肿鉴别,其中下叶尖段结核空洞需与急性肺脓肿鉴别,慢性纤洞型需与慢性肺脓肿鉴别。主要鉴别点在于,结核者痰TB(+),而肺脓肿(-);肺脓肿起病较急,白细胞计数与中性粒细胞增多,抗生素效果明显。但有时结核空洞可继发细菌感染,此时痰中TB不易检出。

4.慢性支气管炎 常与慢性纤维空洞性肺结核患者症状相似,但X线与痰菌检查易于鉴别。慢支患者X线仅见纹理改变未见实质TB灶,而慢纤洞者有明确严重病变,且TB(+)。

5.支气管扩张 症状为咳嗽、咳脓痰、反复咯血,易与慢性纤维空洞性肺结核相混,但本病的X线表现一般仅见纹理粗乱或卷发影。

6.其他伴有发热的疾病 急性粟粒型结核以高热、肝脾肿大、白细胞减少或类白血病样反应而与伤寒、败血症、白血病表现有相混处,需要根据各自特点仔细鉴别。

伤寒有高热、血白细胞减少及肝脾肿大等临床表现,易与急性粟粒型结核混淆。但伤寒热型常呈稽留热,有相对缓脉、皮肤玫瑰疹,血清伤寒凝集试验阳性,血、便伤寒杆菌培养阳性。

败血症起病急,表现为寒战及弛张热型,有白细胞及中性粒细胞增多,常有近期皮肤感染、疮疖挤压史或尿路、胆管等感染史,皮肤常见瘀点,病程中出现近徙病灶或感染性休克,血或骨髓培养可发现致病菌。

急性粟粒型肺结核血象偶可呈类白血病反应或单核细胞异常增多,需与白血病鉴别。后者多有明显出血倾向,骨髓涂片及动态胸部X线检查随访有助于确立诊断。

成年人支气管淋巴结核常表现为发热及肺门淋巴结肿大,应与结节病、纵隔淋巴瘤等鉴别。结核病患者结素试验阳性,抗结核治疗有效;而淋巴瘤发展迅速,常有肝脾及浅表淋巴结肿大,确诊常需依赖活检;结节病通常不发热,肺门淋巴结肿大多为双侧性,结素试验阴性,糖皮质激素治疗有效,必要时应做活检以明确诊断。结核与肿瘤鉴别时宜先用抗结核药,而后再应用激素等药物,以免干扰诊断并造成播散。

以上所举,仅为少数主要的常见疾病。在具体鉴别时,既需要全面掌握与分析患者具备的肺结核诊断依据,又应熟悉此类易被混淆疾病的特点,尽量做到针对性检查、认真动态观察与严格对比判断,避免误诊的发生。

随便看

 

离鸟网收录3541549条中英文词条,其功能与新华字典、现代汉语词典、牛津高阶英汉词典等各类中英文词典类似,基本涵盖了全部常用中英文字词句的读音、释义及用法,是语言学习和写作的有利工具。

 

Copyright © 2004-2024 vtrois.com All Rights Reserved
更新时间:2026/4/19 3:32:32