网站首页  词典首页


请输入您要查询的字词:

 

字词 甲状旁腺的形态结构
类别 中英文字词句释义及详细解析
释义

甲状旁腺的形态结构


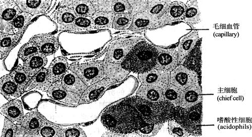
甲状旁腺为黄褐色扁椭圆形小体,位于甲状腺侧叶后面,分为上下两对。每个重约40~60mg。甲状旁腺表面包有薄层结缔组织被膜,腺实质由主细胞(chief cell)和嗜酸性细胞(oxyphilic cell)组成,其间含丰富毛细血管和少量结缔组织(图15-12)。

图15-12 甲状旁腺组织结构

(1)主细胞(chief cell)为圆形或多边形,体积小,核圆居中,细胞质少,染色浅,呈弱嗜酸性。主细胞的功能是合成甲状旁腺素(parathyroid hormone,PTH)。

(2)嗜酸性细胞(oxyphilic cell)体积较主细胞大,为多边形,核染色深,胞质含嗜酸性颗粒,故呈强嗜酸性。此细胞数目较少,但随年龄增大数目有所增加,常单个或成群分布,此细胞功能意义还不是很明确。

随便看

 

离鸟网收录3541549条中英文词条,其功能与新华字典、现代汉语词典、牛津高阶英汉词典等各类中英文词典类似,基本涵盖了全部常用中英文字词句的读音、释义及用法,是语言学习和写作的有利工具。

 

Copyright © 2004-2024 vtrois.com All Rights Reserved
更新时间:2026/4/21 9:57:25