网站首页  词典首页


请输入您要查询的字词:

 

字词 急进性肾小球肾炎
类别 中英文字词句释义及详细解析
释义

急进性肾小球肾炎


一、概述

急进性肾小球肾炎(rapidly progressive glomerulonephritis,RPGN)(简称急进性肾炎)是一组病情发展急骤,伴有少尿、蛋白尿、血尿和肾功能进行性减退的肾小球疾病。其预后差,如治疗不当,经数周或数月即进入尿毒症期,病理特点为广泛的肾小球新月体形成。

二、流行病学

急进性肾小球肾炎发病率不高,占肾活检总数的2%~7%。西方报道抗GBM抗体、免疫复合物介导及无免疫球蛋白沉积的急进性肾炎比例分别为20%、40%、40%,国人以免疫复合物型为主,可能与国内感染所致免疫复合物性疾病较多有关。本病男性发病率较高,男女之比为(1.5~3.0)∶1,且以成人为多见。

三、病因

引起急进性肾炎的有下列疾病:

1.原发性肾小球疾病

(1)Ⅰ型:IgG线性沉积(抗肾小球基底膜抗体介导)。

(2)Ⅱ型:IgG颗粒样沉积(免疫复合物介导)。

(3)Ⅲ型:少或无免疫复合物的沉积(缺乏免疫反应)。

2.继发于其他原发性肾小球肾炎 膜增殖性肾小球肾炎(尤其Ⅱ型),膜性肾小球肾炎伴有附加抗基底膜型肾炎,IgA肾病。

3.继发于感染性疾病 急性链球菌感染后肾小球肾炎,急性或亚急性感染性心内膜炎,内脏化脓性病灶引起的慢性败血症及肾小球肾炎,其他感染如分流性肾炎、乙型肝炎病毒肾炎、人类免疫缺乏病毒感染等。

4.继发于多系统疾病 系统性红斑性痕疮、肺出血—肾炎综合征、过敏性紫癜、弥散性血管炎如坏死性肉芽肿、过敏性血管炎及其他类型、混合性冷球蛋白血症、类风湿性关节炎伴血管炎、恶性肿瘤及复发性多软骨炎等。

5.药物 青霉胺、肼苯哒嗪、别嘌呤醇及利福平等。

四、病理变化

肾脏体积稍增大,肿胀,呈苍白色或暗灰色,可见到淤点,切面皮质增厚,肾小球呈灰色点状。

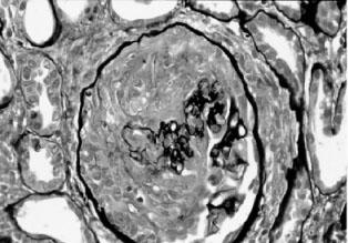
镜下主要病理改变为肾小球壁层上皮细胞增殖,广泛性(50%以上)上皮细胞新月体形成,充满肾小球囊腔(占据肾小球囊腔50%以上),致使囊腔闭塞(图2—4)。病变早期为细胞新月体,后期为纤维新月体。肾小球周围有中性粒细胞、单核细胞、淋巴细胞浸润,肾小球系膜细胞及内皮细胞也可明显增生。另一少见类型为开始时肾小球毛细血管丛坏死病变,肾小球几乎完全破坏,继之被瘢痕组织所代替,而肾小球囊腔之新月体数目和程度都较轻。免疫病理学检查是分型的主要依据,Ⅰ型IgG及C3呈光滑线条状沿肾小球毛细血管壁分布;Ⅱ型IgG及C3呈颗粒状沉积于系膜区及毛细血管壁;Ⅲ型肾小球内元或仅有微量免疫沉积物。电镜下可见Ⅱ型电子致密物在系膜区和内皮下沉积,Ⅰ型和Ⅲ型无电子致密物。

图2—4 新月体性肾小球肾炎(PASM x400)

五、发病机理

肾小球新月体的形成对肾小球的结构和功能都有重要影响,而围绕新月体形成的机理尚存在不少争论。

1.体液与细胞免疫 以往在新月体性肾炎的发病中,体液免疫的作用被认为是最重要的,特别是在抗基底膜抗体病中。抗基底膜抗体病是惟一明确自身抗体的自身免疫性肾疾病。研究发现肾小球毛细血管基底膜IgG、C3连续细线状沉积(少数表现为IgM、IgA),而注射抗肾小球基底膜(GBM)成分的抗体可引起实验动物肾小球基底膜上IgG呈线条状沉积,并伴有病理改变。应用洗脱方法可将受试动物肾脏上具有与GBM成分特异免疫反应的抗体洗脱下来,注射这种洗脱物可引起灵长类动物肾毒血清性肾炎,这均表明本病的抗原是基底膜成分。基底膜是一个由多种成分构成的细胞外基质混合体,包括Ⅳ型胶原、层连蛋白、硫酸肝素糖胺聚糖及巢原蛋白(nidogen)、内动蛋白(entactin)等。Ⅳ型胶原蛋白分子呈典型的三股螺旋结构,现已证实其抗原位点存在于Ⅳ型胶原α链C端的非胶原区1(NC1)。体外实验表明,循环游离存在或与组织相结合的抗肾小球基底膜抗体可与肺泡基膜发生反应。此种自身抗体主要与Ⅳ型胶原上的NC1相互作用,亦可作用于胶原分子上的其他抗原。而其确切的结合位点,究竟是氨基端还是羧基端,目前尚无定论。近年来,许多临床和实验都强调了细胞免疫在新月体发生中的作用。研究发现,给大鼠注射抗GBM抗血清后,在出现肾小球损害之前即可见肾小球内有T淋巴细胞浸润,主要为辅助型T细胞。给大鼠抗GBM单克隆抗体注射,只有在与福氏佐剂联合注射时,才可引起蛋白尿,这主要是因为后者可引起细胞因子释放。支持细胞免疫的最有力的证据是小鸡实验。首先经外科手术切除或化学药物破坏小鸡的法氏囊,使动物不能对抗体起反应,再用GBM免疫法氏囊切除的动物同样可引起新月体肾小球肾炎,但既无循环抗GBM抗体产生,亦无抗体在基底膜沉积。

2.新月体的形成过程

(1)起始过程(触发机理):新月体形成的触发机理是肾小球基底膜的断裂,或形成孔隙。目前尚未找到促使基底膜断裂的确定因素,但通过抗体的直接作用、补体系统的激活、活化的巨噬细胞蛋白水解酶活性以及系膜细胞增生挤压等均可使基膜薄弱断裂。目前已证实Bowman囊上相似的裂隙形成也参与了新月体的发生,其机理类似于基底膜。这样的基膜裂隙破坏了肾小球毛细血管的完整性,循环细胞、炎症介质及血浆蛋白通过毛细血管壁而进入Bowman囊。同样,Bowman囊的裂隙使得细胞和介质自间质中进入Bowman囊中。此后,在凝血因子,尤其是纤维蛋白原的参与下,在多种增生的细胞,包括巨噬细胞、肾小球壁层上皮细胞及间质成纤维细胞的作用下,逐渐形成新月体。

(2)新月体的形成及参与成分:在常规定义中,至少有两层细胞聚集,不同程度填充肾小囊腔,才能称之为新月体,多认为足突细胞并不参与新月体的形成。在人类新月体和动物新月体性肾炎模型中,细胞性新月体主要由单核细胞在肾小囊中聚集而形成,电镜下表现为多型细胞的混合体,包括巨噬细胞、上皮细胞、T淋巴细胞,有时还有中性粒细胞等。随着病程进展,上皮细胞、成纤维细胞增生,胶原纤维逐渐增多,新月体向纤维性发展。

1)凝血蛋白:新月体形成中最主要的模式为Bowman囊中凝血因子的存在,引起纤维蛋白的交联,纤维蛋白在此中的重要性已被证实,在去纤维蛋白疗法后能完全防止新月体的形成。下面的一些物质对此过程起关键作用。①组织因子:纤维素的沉积主要为组织因子(TF)所激活。它是一种31KD的蛋白质,能与因子Ⅷ结合并使其活化。内皮细胞、肾小球上皮细胞和巨噬细胞均可释放组织因子,活化的巨噬细胞产生白介素1(IL—1)和肿瘤坏死因子(TNF),进一步刺激肾小球内皮细胞释放组织因子。在肾炎的早期,组织因子主要来源于肾小球固有细胞,而后期则主要来源于巨噬细胞。②组织因子抑制剂:伴随着组织因子活性的增加,组织因子通路抑制剂(TFP—1)的活性在早期会有所下降,如此就更加速了纤维素的沉积。研究发现,加入重组的TFP—1可明显的减少纤维素的沉积和新月体的形成。在疾病的后期,TFP—1的表达有所增加,呈现对纤维素沉积的慢性抑制作用。③纤溶酶原/纤溶酶系统:纤溶系统对于新月体中纤维蛋白的溶解具关键作用。在实验性肾小球肾炎中,发现tPA的活性降低,而PAI—1的活性增加,最后囊内纤维素交联形成,而纤维素又是巨噬细胞强有力的趋化因子,使更多的巨噬细胞进入肾小球内。

2)巨噬细胞:巨噬细胞自循环中进入肾小囊内,在新月体的形成中具关键地位。研究发现,组织因子的表达及纤维素的沉积都离不开巨噬细胞的作用。巨噬细胞在肾小球中的定位过程包括多种化学趋化因子的作用,有纤维素、巨噬细胞化学趋化蛋白1(MCP—1)、巨噬细胞抑制因子(MIF)、巨噬细胞炎症蛋白1α(MIP—1α)、骨桥蛋白、以及多种黏附分子(VCAM—1、ICAM—1、CD44),其中MCP—1受体、趋化因子受体2B(CCR2B)对于巨噬细胞在肾小球中的定位尤其重要。在实验性新月体肾炎中ICAM—1在肾小球内皮细胞的表达与单核巨噬细胞浸润相一致,而给予抗ICAM—1血清可预防蛋白尿及细胞浸润、新月体的形成。一旦定位于Bowman囊,活化的巨噬细胞通过增生及释放各种细胞因子而起致病作用,包括上述的组织因子,IL—1、TNF这两种细胞因子可上调黏附分子的表达,刺激细胞增生并可趋化更多的巨噬细胞。给予IL—1R拮抗剂选择性的抑制IL—1及可溶性的TNF—R治疗可明显减少新月体的形成。转化生长因子(TGF),TGF是Ⅰ型胶原产生的有力刺激因子,并且可能介导了细胞性新月体向细胞纤维性和纤维性新月体的转化。加入可溶性的TGF受体可明显改善细胞外基质的沉积。巨噬细胞除由循环中进入Bowman囊之外,也有可能通过Bowman囊上的裂隙由球旁间隙进入囊内,其过程类似于炎症所致的GBM破裂。

3)T淋巴细胞:在Bowman囊和新月体中皆可以发现T细胞,但并非为其主要组成成分。它们在肾小球损伤中的作用主要为抗体识别和巨噬细胞的趋化(通过释放MIF、IFNγ等)。虽然,用一些实验方法,如耗竭T细胞、阻断MIF或敲除IFNγ基因能减少新月体的形成,但这也可能是由于巨噬细胞介导的炎症反应的减轻,而非T细胞的直接作用。

4)成纤维细胞:在实验性新月体肾炎中,发现间质成纤维细胞是仅次于巨噬细胞的关键性细胞类型,并认为这些细胞是通过Bowman囊的裂隙由球旁间质进入囊内的。在新月体中,成纤维细胞是产生Ⅰ型胶原(间质胶原)的主要来源,使新月体由细胞性向纤维性转化。成纤维细胞的增生可能是组织因子所依赖的,也可能包括碱性成纤维细胞生长因子(bFGF)。

5)壁层上皮细胞:壁层上皮细胞在新月体的形成中同样具有重要作用,其与脏层上皮细胞和足突细胞不同的是,壁层上皮细胞不是分化末期的细胞,其增生能力很强,组织因子的活化、bFGF都可能使壁层上皮细胞增生增加。由于壁层上皮细胞并非组织因子、凝血因子的主要来源,推测其在决定新月体形成中的作用并不象巨噬细胞和成纤维细胞,但其可能是产生Ⅰ型胶原的主要细胞。

6)中性粒细胞:中性粒细胞在本病早期炎症反应中的作用已得到证实,除吞噬作用外,中性粒细胞产生的蛋白酶及活化氧分子均对肾脏造成严重损伤。

3.新月体的转归 新月体的产生并非是不可逆性肾小球损伤的预兆。在IgA肾病中,在肉眼血尿发作期,很多肾小球都表现为细胞性新月体的形成,然而很少会形成瘢痕。这种转归发生在新月体主要为细胞成分而无明显的成纤维细胞或胶原成分时。

新月体的转归主要取决于Bowman囊的完整性及其组成成分。当Bowman囊产生裂隙,成纤维细胞和巨噬细胞作为囊内主要成分时,预示着间质胶原产生增加,新月体向纤维化方向发展。虽然纤维性新月体的存在往往同时有肾小球的硬化,然而尚无有力的证据证实导致新月体产生的机理能对肾小球毛细血管造成损伤。例如,去纤维蛋白作用能阻断新月体的形成,但不能改善肾功能。目前也无更好的事实能说明细胞免疫所致的肾小球损害究竟是由毛细血管内或是由球旁组织开始。

六、分类

由于对RPGN的发病机理尚有不少争论,因此有待对其作进一步探讨后才能找到一种更为确切的分类方法。

1.按病因分类

(1)原发性:Ⅰ型,抗肾小球基底膜型(不伴肺出血);Ⅱ型,免疫复合物型;Ⅲ型,微量免疫球蛋白沉积或“寡免疫复合物型”。

(2)继发性:①继发于其他原发性肾小球肾炎(包括系膜毛细血管性肾炎、膜性肾病、IgA肾病、链球菌感染后肾小球肾炎等);②继发于感染性疾病(如感染性心内膜炎、败血症等);③继发于其他系统疾病(包括SLE、Goodpasture综合征、过敏性紫癜、冷球蛋白血症、弥漫性血管炎等)。

2.目前人们多沿用Couser分类法

(1)Ⅰ型:免疫荧光线形沉淀伴循环抗肾小球基底膜抗体(抗肾抗体型)形成分为两类:①伴肺部损害:肺出血肾炎综合征(Goodpasture syndrome);②不伴肺部损害:抗肾小球基底膜抗体型肾炎(无肺出血)。

(2)Ⅱ型:免疫荧光颗粒沉淀型肾小球肾炎(免疫复合物型)。此型在我国常见,其诊断主要依靠免疫荧光和电子显微镜检查,可见大量免疫球蛋白和补体在肾小球呈颗粒状沉积,提示肾小球毛细血管和(或)系膜原位免疫复合物形成,或循环免疫复合物的局部沉积。

(3)Ⅲ型:无免疫复合物沉积型肾小球肾炎。此型既无免疫球蛋白的线样或颗粒状沉积,亦无电子致密物沉积,提示该型可能为细胞免疫介导的机理致病。近年研究表明,Ⅲ型中70%~80%患者血清中存在抗中性粒细胞胞质抗体(ANCA),故又称为ANCA相关性肾小球肾炎。

3.新5型分类

Ⅰ型:为IgG、C3呈线条状沉积于肾小球毛细血管壁,抗肾小球基底膜(GBM)阳性,ANCA阴性。

Ⅱ型:为IgG、C3呈颗粒状沉积于系膜及毛细血管壁,抗GBM阴性,ANCA阳性。

Ⅲ型:为肾小球内基本无免疫沉积物,抗GBM阴性,ANCA阳性。

Ⅳ型:为IgG、C3呈线条状沉积于肾小球毛细血管壁,抗GBM阳性,ANCA阳性。

Ⅴ型:为肾小球内基本无免疫沉积物,抗GBM阴性,ANCA阴性。

上述3种分类法从不同角度对RPGN进行分类,其中Couser分类综合了病因分类中的病理表现,无论其为原发或继发,病理上都表现为此3种形式;而新5型分类在Couser分类的基础上,结合了免疫学实验指标,这可能更有利于治疗方案的确定及随访,故其在临床上的应用也日益增加。

七、临床表现

1.前驱症状 大多数患者在发病前1个月有先驱感染史,起病多突然,但也可隐性缓慢起病。

2.起病 多以少尿开始,或逐渐少尿,甚至无尿。可同时伴有肉眼血尿,持续时间不等,但镜下血尿持续存在,尿常规变化与急性肾小球肾炎基本相同。

3.水肿 约半数患者在开始少尿时出现水肿,以面部及下肢为重,水肿一旦出现难以消退。

4.高血压 起病时部分患者伴有高血压,也有在起病以后过程中出现高血压,一旦血压增高,呈持续性,不易自行下降。

5.肾功能损害 呈持续性加重是本病的特点,肾小球滤过率明显降低和肾小管功能障碍同时存在。

八、检查

1.突出表现是血尿素氮及肌酐呈持续性增高,内生肝酐清除率明显降低,不同程度的代谢性酸中毒及高血钾,血钙一般正常,血磷也在正常范围,始终镜下血尿,尿FDP多高于正常。

2.抗肾小球基底膜型血清补体各成分基本正常,免疫复合物型补体成分下降。

3.血常规主要有贫血表现。

4.血液免疫学检查Ⅰ型患者可检出抗肾小球基膜抗体;Ⅱ型患者可有免疫复合物,冷球蛋白及类风湿因子阳性。血清总补体及C3在Ⅰ、Ⅱ型患者可降低;Ⅲ型患者上述检查均无特殊变化。

5.准确诊断要靠肾穿刺,即发现50%以上的肾小球有阻塞性的新月体形成即可诊断。

九、诊断

对呈急性肾炎综合征表现(急性起病、尿少、水肿、高血压、蛋白尿、血尿)且以严重血尿、明显少尿及肾功能进行性衰竭为表现者应考虑本病,该病为进行性进展,肾脏呈进行性缩小,临床若怀疑为RPGN应紧急行肾穿刺,肾穿刺前SCr>400μmol/L者,应透析以确保肾穿刺顺利进行。

诊断包括两大方面:

1.组织病理学诊断 新月体肾炎的病理诊断标准强调2点:①新出现的新月体为闭塞肾小囊腔50%以上的大新月体,不包括小型或部分新月体;②伴有大新月体的肾小球必须超过全部肾小球数的50%。

2.病因诊断 RPGN是一组临床表现和病理改变相似但病因各异的临床综合征,因此在诊断RPGN时应做出病因诊断。详细询问病史,积极寻找多系统疾病的肾外表现,并进行有关检查(如抗核抗体、抗ds—DNA抗体、ANCA、ASO等)。只有确定病因、免疫类型、疾病的发展阶段、活动性后,方可选择合理治疗,权衡治疗的利弊与风险,并做出预后评价。

十、鉴别诊断

1.急性肾小管坏死 本病常有明确的发病原因,如中毒因素(药物、鱼胆中毒等)、休克、挤压伤、异型输血等。病变主要在肾小管,故尿少而且尿比重低于1.010,肾小管回吸收钠功能受损,尿钠常超过20~30Eq/L(急进性肾炎时因原尿生成少,尿钠排出很少),可见特征性的大量肾小管上皮细胞。

2.肾后性急性肾衰竭 常见于肾盂或输尿管双侧性结石,或一侧无功能肾伴另侧结石梗阻,膀胱或前列腺肿瘤压迫或血块梗阻等。如原来尿量正常而骤减以至无尿者,以梗阻可能性大,有肾绞痛或明显腰痛史。超声波检查发现膀胱或肾盂积水;X线平片可有结石及肾脏增大。膀胱镜及逆行肾盂造影可发现梗阻病损与部位。

3.急性间质性肾炎 可由急性肾衰竭起病,但常伴发热、皮疹、嗜酸性白细胞增高等过敏表现。尿中嗜酸性白细胞增高,常可查出药物过敏原因。

4.重型链球菌感染后肾小球肾炎 本病多数为可逆性,少尿和肾功能损害持续时间短,肾功能一般在病程4~8周后可望恢复,肾活检或动态病程观察可助两者鉴别。

5.其他疾病 注意与溶血性尿毒症综合征、急进性高血压等鉴别。此外,军团病(legionnaire)引起者急性肾衰竭是可以治愈的,由于它常伴有肺部病变,有报道误诊为肺出血—肾炎综合征的病例。

随便看

 

离鸟网收录3541549条中英文词条,其功能与新华字典、现代汉语词典、牛津高阶英汉词典等各类中英文词典类似,基本涵盖了全部常用中英文字词句的读音、释义及用法,是语言学习和写作的有利工具。

 

Copyright © 2004-2024 vtrois.com All Rights Reserved
更新时间:2026/4/20 9:44:09