网站首页  词典首页


请输入您要查询的字词:

 

字词 急性肾小球肾炎
类别 中英文字词句释义及详细解析
释义

急性肾小球肾炎


一、概述

急性肾小球肾炎简称急性肾炎(acute glomerulonephritis,AGN),是临床常见的肾脏疾病。急性起病,以血尿、蛋白尿、高血压、水肿、少尿及氮质血症为常见临床表现。这是一组临床综合征,又称为急性肾炎综合征(acute nephritic syndrome)。临床上绝大数属急性链球菌感染后肾小球肾炎(acute poststreptococcal glomerulonephritis)。

二、流行病学

本病发生于世界各地,发达国家中发病率已逐渐降低,但在生活及工作环境等卫生条件较差的国家发病情况未见好转。我国北方患者约90%以上发生于呼吸道链球菌感染之后,故春、冬季多见;南方不少患者发生于脓疱病之后,多见于夏季。

本病主要是儿童疾病,多于5~14岁发病,2岁以下较少。本病很少累及中、老年人,有报道40岁以上发病者小于10%,或发病于55岁以上者占12.2%。两性均可发病,男女比约为2∶1。

三、病因

尚未完全明了,已知某些因素可能导致急性肾小球肾炎。其中最常见的是β型溶血性链球甲组,其次是其他致病菌如葡萄球菌、肺炎双球菌、伤寒杆菌、白喉杆菌及病毒、疟原虫;另外去氧核糖核酸抗原、肿瘤抗原、甲状腺球蛋白抗原均可引起肾小球肾炎。但有急性肾炎患者,可找不到致病因素。链球菌致病作用有以下几个方面的证据:①肾炎起病前先有链球菌前驱感染,对未经青霉素治疗的急性肾炎患者,早期做咽或皮肤感染灶细菌培养,约1/4以上为β—溶血性链球菌阳性,急性肾炎患者血清抗链球菌溶血素“O”滴度大于1∶200者可达70%~80%,说明患者近期有链球菌感染史;②没有链球菌直接侵犯肾脏的证据;③自链球菌感染至肾炎发病有一间歇期,此期相当于于抗体形成所需时间;④患者血中可检出对链球菌及其产物的抗体、免疫复合物;⑤血中补体成分下降;⑥在肾小球基膜上有IgG和补体成分的沉积。

四、发病机理

链球菌感染后肾小球肾炎为一类免疫介导性疾病,链球菌的致病抗原从前认为是胞壁上的M蛋白,而现在多认为胞浆或分泌蛋白的某些成分可能为主要致病抗原,导致免疫反应后可通过循环免疫复合物沉积于肾小球致病,或种植于肾小球的抗原与循环中的特异抗体相结合形成原位免疫复合物而致病。肾小球内的原位免疫复合物激活补体,导致肾小球内皮细胞及系膜细胞增生,并可吸引中性粒细胞及单核细胞浸润,导致肾脏病变。

五、病理改变

肾脏较正常增大,被膜下肾组织光滑,早期行肾穿刺,可见典型的肾小球病变。发病4~6周后,病理不典型。

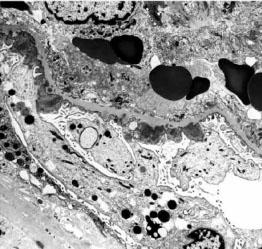
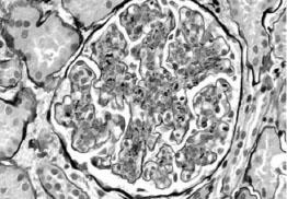
光镜下,大多数患者肾小球呈内皮细胞、系膜细胞弥漫性急性增殖,少数以渗出病变为主,另有少部分呈系膜、毛细血管型病变(膜增殖型病变),严重时增生的系膜可将肾小球分隔成小叶状,偶有球囊新月体形成。电镜可见上皮下电子致密物呈驼峰状沉积,为本病的特征。但这一变化消失较快,发病3个月后即不易见到,这些沉积物多在上皮侧,有时在内皮下。免疫荧光检查,内含有免疫球蛋白,主要是IgG、IgM、IgA也可见到,同时也可有C3沉积,有时尚可见到链球菌抗原在系膜区沉积物中。见图2—1、图2—2、图2—3。

图2—1 毛细血管内增生性肾小球肾炎,肾小球内皮和系膜细胞增生,中性粒细胞浸润(PASM x400)

图2—2 毛细血管内增生性肾小球肾炎,上皮下有驼峰状电子致密物沉积(电镜 x6800)

图2—3 毛细血管内增生性肾小球肾炎,IgG呈颗粒状沉积于毛细血管壁(免疫荧光 x400)

六、临床表现

1.前驱症状 发病前1~3周多有呼吸道或皮肤感染史,如急性咽炎、扁桃体炎、齿龈脓肿、猩红热、水痘、麻疹、皮肤脓疱疹等,部分患者可无前驱症状。

2.血尿 常为起病的第一个症状,几乎全部患者均有血尿,其中肉眼血尿为50%~70%,尿色呈混浊深茶色或洗肉水样,无血凝块,酸性尿中红细胞溶解破坏常使尿呈酱油样棕褐色。约数日至1~2周即消失,肉眼血尿消失后一般仍有镜下血尿。严重血尿患者排尿时尿道有不适感及尿频,但无典型的尿道刺激症状。

3.蛋白尿 几乎全部患者尿蛋白阳性(常规定性方法),尿蛋白一般不多,在0.5~3.5g/d,常为非选择性蛋白尿,主要为白蛋白,伴有大量红细胞管型。仅约不到20%的患者尿蛋白在3.5g/d以上,表现为肾病综合征。部分患者就诊时尿蛋白已转呈极微量,因而无尿蛋白阳性的记录。蛋白尿多在几周内消失,很少延至半年以上。

4.水肿 起病初始即有水肿,出现率70%~92%,呈疾病主要表现者占60%以上。轻者为早起眼睑水肿,呈所谓“肾炎面容”;严重者有全身性水肿,但指压凹陷不明显,体重可较病前增加5kg以上。大部分患者2~4周内自行利尿、消肿,如水肿或肾病综合征持续发展,常提示预后不佳。水肿主要是肾小球滤过率下降,而肾小管特别是远曲小管重吸收能力上升,球管功能失衡所致。全身毛细血管病变引起毛细血管通透性增加,低蛋白血症及心力衰竭等因素均可加重水肿。目前由于注意对患者限盐、利尿,故水肿程度一般较轻。

5.高血压 见于80%左右病例,老年人更多见。多为中等度的血压增高,具有重要的诊断价值,亦可见严重高血压,甚至高血压脑病。高血压与水肿程度平行一致,并随利尿治疗而恢复正常。高血压的原因也主要与水钠潴留、血容量扩张有关。血浆肾素水平一般不升高,醛固酮分泌率正常或下降,所以高血压与水肿程度平行一致,并且随着利尿而恢复正常。如血压持续升高2周以上无下降趋势者,表明肾脏病变较严重。而且持续性高血压亦可加重肾功能损害,应予及早治疗。

6.少尿 大部分患者起病时尿量每日少于500ml,可由少尿引起氮质血症。两周后尿量渐增,肾功能恢复。只有少数患者(不足5%)由少尿发展成为无尿,表明肾实质病变严重。

7.肾功能损伤 常有一过性氮质血症,血肌酐及尿素氮轻度升高。较严重者(血肌酐>352μmol/L,尿素氮>21.4μmmol/L,应警惕出现急性肾衰。经利尿数日之后,氮质血症即可恢复正常。少数老年患者虽经利尿后肾功能仍不能恢复,预后不佳。肾小球滤过功能一过性受损,而肾血流量正常,所以肾脏滤过分数相应下降,这是急性肾炎的典型改变。肾小管功能的受累较轻,肾小管最大重吸收葡萄糖(TmG)和肾小管对PAH最大排泌量TmGPAH轻度下降或正常,尿钠及尿钙下降,钠排泄分数小于1%,肾衰指数小于1,尿浓缩功能多正常。

8.全身表现 患者常有疲乏、厌食、恶心、呕吐(与氮质血症不完全成比例)、嗜睡、头晕、视力模糊(与高血压程度及脑缺血、脑水肿有关)及腰部钝痛(因肾实质肿大,撑胀肾被膜、牵扯感觉神经末梢所致)。偶有个例与风湿热并存。

七、并发症

1.急性充血性心力衰竭 严重病例由于水钠明显潴溜及血压增高,出现心脏扩大。主要是心脏扩张,而不是心肌肥厚,或有奔马律,肺水肿,这是高血容量的结果,与充血性心力衰竭的临床表现相似。不过这种情况继续下去,心脏负担加大,再加上高血压因素,终究可导致心力衰竭。

2.高血压脑病 高血压脑病多认为是血压急剧增高,脑血管痉挛引起脑缺血及水肿。但也有认为是血压急剧增高,脑血管高度充血继之产生脑水肿。常表现为剧烈头痛及呕吐,继之出现视力障碍,意识模糊,嗜睡,并可发生惊厥或癫痫样发作。血压控制后,上述症状迅速好转。

3.急性肾衰竭 重症急性肾小球肾炎在急性期,可发生急性肾衰竭,除具有临床共性特征外,尿比重在1.020以上,尿钠小于20mmol/L。肾小管一般不受损害,如果受到损害,则尿比重降低,尿钠增加。急性肾衰经合理处理后有可能恢复正常。

八、诊断

急性肾小球肾炎诊断三要点:

(1)起病前1~3周有链球菌(或其他细菌)感染的佐证。

(2)表现为急性肾炎综合征,或有少尿及氮质血症。

(3)血清C3下降,发病6~8周内可恢复正常。

个别患者有以急性充血性心力衰竭或高血压脑病为起初症状,或病初只有水肿及高血压而仅有轻微或无尿常规改变。对不典型病例应详细询问病史,系统查体结合化验综合分析,才能避免误诊;对临床诊断困难者,必要时做肾活检方能确诊。

九、鉴别诊断

1.热性蛋白尿 在急性感染发热期间,患者可出现蛋白尿、管型尿或镜下血尿,极易与不典型或轻型急性肾小球肾炎相混淆。但热性蛋白尿没有潜伏期的阶段,无水肿及高血压,热退后尿常规迅速恢复正常。

2.慢性肾小球肾炎急性发作 慢性肾小球肾炎常在呼吸道感染后2~4日出现急性发作,其临床表现及尿常规变化与急性肾小球肾炎相似,但慢性者既往有肾炎的病史,可有贫血、低蛋白血症、高脂血症,血清补体浓度多正常或偶有持续性降低,尿量不定而比重偏低。据此进行鉴别并不困难,对有些病例能明确是急性或慢性肾小球肾炎。除了肾穿刺进行病理鉴别诊断外,临床上还可根据病程和症状、体征及化验结果的动态变化来加以判断。

3.急性风湿病 急性风湿病以肾脏病变为突出表现者称为风湿性肾炎,肉眼血尿极少见,常有镜下血尿,尿蛋白少量至中量,血压一般不高,往往同时具有急性风湿热的其他表现,抗风湿治疗后尿蛋白明显好转,但镜下血尿持续时间较长。

4.过敏性紫癜肾炎或系统性红斑狼疮(SLE)性肾炎 过敏性紫癜或系统性红斑狼疮肾炎均可出现急性肾炎综合征,但这二者多有明显皮肤、关节改变。过敏性紫癜束臂试验阳性;红斑狼疮可找到红斑狼疮细胞,抗DNA抗体及抗核因子阳性。SLE往往伴有发热,因此只要详细询问病史及有选择性全面检查可以区别,必要时可做肾活检鉴别。

随便看

 

离鸟网收录3541549条中英文词条,其功能与新华字典、现代汉语词典、牛津高阶英汉词典等各类中英文词典类似,基本涵盖了全部常用中英文字词句的读音、释义及用法,是语言学习和写作的有利工具。

 

Copyright © 2004-2024 vtrois.com All Rights Reserved
更新时间:2026/4/19 13:29:14