网站首页  词典首页


请输入您要查询的字词:

 

字词 影像学检查
类别 中英文字词句释义及详细解析
释义

影像学检查


影像学检查是脊髓损伤临床诊断的基本和重要的诊断依据,合理地应用各种影像学技术,是使脊髓损伤患者得到及时、合适的治疗的关键。造成脊髓损伤的原因主要有外伤性和非外伤性,外伤性脊髓损伤通常伴有脊柱的骨折、脱位及软组织损伤,脊柱的功能同时受损;非外伤性的脊髓损伤包括炎症性、肿瘤性、血管性和放射性损伤等。外伤性脊髓损伤在绝大多数情况下,可根据临床体征和常规X线照片做出快捷、初步的定位诊断,而CT及MR能够为临床提供更为全面而详细的影像学信息,这无疑对脊髓损伤的定性、定位和损伤程度的评价起到了很重要的作用。本章着重讨论由外伤引起的脊柱脊髓损伤的影像学检查方法,以及脊髓损伤的影像学表现。

一、脊柱、脊髓影像学检查方法

评估脊柱脊髓损伤的影像学检查方法包括X线平片、X线体层摄影、脊髓造影、CT和脊髓造影后CT(CTM)、MRI等,每一种检查方法在脊柱损伤的诊断中都有各自的诊断价值和限度。熟悉各种影像学技术的特点,因地制宜,选择简单有效、创伤性少的的影像学方法详细了解脊髓创伤情况,有利于制定个性化的最佳治疗方案。一般认为,当脊柱损伤患者到达医院后,在保持生命体征稳定的同时,应首选X线平片检查,初步评估损伤程度后,选择应用CT和MRI检查对损伤程度做进一步分析。如患者有脊髓神经损伤的临床体征,有条件的医院应做MRI检查。

(一)X线平片和X线体层摄影

X线平片是脊柱损伤后的最基本和最重要的影像学检查方法,主要观察脊柱骨折和脱位情况。X线平片具有简单、易行和快速等优点,且可在不搬动疑似急性脊髓损伤患者的情况下在床边拍摄。X线平片空间分辨率高,骨骼结构成像清晰,目前仍是脊柱脊髓损伤检查的首选的影像学检查方法(图7-1)。临床上绝大多数的脊柱创伤骨折、关节脱位和半脱位都可通过普通X线的适当体位的投照而发现(图7-2)。脊柱常规投照位置有前后位、侧位和左、右斜位等。高质量的照片是诊断的最基本条件,如果一次照片不能满足诊断的需要,应调整相应的投照条件、胶片位置、球管中心以及投照角度重复拍摄,直至满意为止。对于怀疑有脊柱脊髓损伤患者应该在尽可能少搬动患者的情况下进行X线照片,尽量避免由于搬动病人而造成脊髓损伤加重。由于X线平片是投照部位解剖结构的重叠图像,限制了对复杂骨结构,特别是中轴骨骼解剖细节的显示,易漏诊细微而重要的骨折和错位。

图7-1 正常颈椎X线侧位片:正常颈椎前、中、后三柱连线光滑连续,中、后柱连线之间为脊髓所在

图7-2 C5以上前脱位,中、后柱连线显示在C5水平处明显狭窄,表明颈髓在此处受压

近年来,数字化X线影像设备(CR、DR)发展很快,已越来越多地运用于临床。CR、DR与普通X线对比,其优势在于:缩短成像时间,通过计算机后处理和可调节的窗宽、窗位使脊柱结构显示更清晰,降低重复检查率,减少X线辐射损伤,并可进行数字存储和通过因特网进行远程会诊等。相信随着放射科越来越多地采用数字化X线成像设备,应用数字化影像(CR、DR)评价脊柱损伤将会广泛地运用于临床。

X线体层摄影是利用X线球管和片盒同步反向运动以获得需要观察的重叠骨结构清楚显示的影像学技术。在CT出现之前,X线体层摄影已被长期广泛使用。许多学者均恰当地评价过X线体层摄影在伴脊髓创伤的脊柱骨折错位诊断中的作用,尤其是颅颈关节区域,单纯性X线体层摄影已被用于齿状突显示,尤其对那些不能充分张口摄取颈椎张口位以观察齿状突的病人。当X线平片显示模棱两可或仅提示异常但不确定病变时,X线体层摄影会有帮助。有报道在这种情况下,25%~65%的病人可发现有骨折。几乎所有的X线体层摄影设备都配有倾斜床,允许患者处于直立或仰卧位进行拍摄,但这在多数情况下是不可取的。如今,对于脊柱损伤的评估,X线体层摄影已很大程度上被CT所取代。

(二)脊髓造影

脊髓造影是一种有创伤性的检查,利用穿刺针向蛛网膜下腔内注入阳性造影剂使蛛网膜下腔和脊髓显影,从而了解脊髓受压情况和蛛网膜下腔的通畅情况。脊髓造影所用的造影剂为硬膜囊内注射专用碘造影剂,常用等渗非离子水溶性碘造影剂,其毒副作用小,很少产生过敏反应并且显影效果好。因而,脊髓造影仍然可作为了解脊髓病变的一种有效、安全的影像学检查方法,尤其对目前没有MRI设备的医院,脊髓造影仍然是了解椎管内病变的一种有效的检查方法(图7-3)。

图7-3 T12椎体压缩性骨折呈楔状改变,并向后突。脊髓造影显示,该水平蛛网膜下腔受压闭塞,呈双峰状

(三)CT

CT的成像过程是用X线束围绕人体某一选定部位做360°的匀速旋转扫描,穿过人体的X线经检测器接收,转变为数字信号经计算机存储、运算并重建为断层图像。螺旋CT扫描是X线球管做连续旋转扫描的同时,扫描床自动匀速水平进床,因此,扫描线在病人的体表上呈螺旋形的。螺旋式扫描与常规CT扫描不同,所获得的是连续层面的信息,是扫描范围内的所有组织的信息,所以又称为体积数据(Volumetric data)。实际上,螺旋扫描所得到的CT图像并不是标准的横断面图像,必需经计算机处理和重建才能获得横断面的图像。病人一次螺旋扫描取得的体积数据允许根据临床需要进行多种方式的重建,如常规层面重建、薄层重叠重建、骨算法重建或软组织算法重建等等。20世纪90年代发展起来的多排螺旋CT,具有扫描时间短(亚秒)、薄层扫描(亚毫米)、重建图像快、多方位多平面三维重建等技术。与单层CT的脊柱常规检查相比,多排螺旋CT可显着地减少扫描时间,由于层面之间的位移被减少到最小,连续成像技术使平面重建成为可能,并减少了伪影的出现。计算机容量的增大和设备软件的开发使得图像的后处理功能更强大、更灵活,特别是仿真技术(Virtual reality)的应用,实现了三维立体(3D-rendering)、伪彩色应用(Pseudocolor)、图像旋转和CT仿真内窥镜(Virtual endoscopy)等重建。

CT在脊柱脊髓损伤中应用很广泛,横断面成像是诊断脊椎骨结构创伤的主要手段,它可显示X线平片不易显示的细微骨折和小关节脱位,并能够很好地显示骨性椎管的情况,可为评价脊髓受压情况提供重要的影像学信息。螺旋CT扫描技术可对患者进行快速连续多部位成像,并支持多平面及三维成像。因而CT扫描对理解脊柱复杂解剖部位,发现细微病变有十分重要的临床意义(图7-4至图7-6)。甚至明显侧弯变形脊柱的冠状面重建亦可通过严格按照脊柱弯曲度改进的软件而获得。单纯轴位扫描很容易漏诊与CT断层面平行的骨折,例如,发生在齿突基部和胸腰水平的创伤,在横断位扫描中不能显示横断水平的骨折线,但在高质量的冠状、矢状和三维的重建图像中显示良好(图7-7至图7-10)。

图7-4 多排螺旋CT重建:沿神经根出口的斜矢状面重建,可显示硬膜囊和神经根管的情况

图7-5 多排螺旋CT重建:冠状面重建,显示硬膜囊和双侧神经根袖

图7-6 多排螺旋CT重建:正中矢状面重建,显示椎体和硬膜囊

图7-7、图7-8 多排螺旋CT2D重建,显示C2齿状突基底部骨折

图7-9、图7-10 多排螺旋CT3D重建,显示骨折线走行及累及骨表面

1.5mm以下层厚的CT扫描,可以减少骨折的漏诊率,并可容纳更复杂的多平面重建。对病变的了解及损伤部的CT表现并紧密联系X线表现,可以提高横向骨折的诊断率,这类骨折特异性地表现为低密度中的宽带,而不是一条窄窄的亮线。而这种窄窄的亮线则是垂直方向上骨折的典型表现。类似的低密度宽带也可出现在明显脊柱后凸、脊柱前凸的病人中。脊柱侧凸病人中这种脊柱畸形所致的“伪骨折”往往是人为造成的,多出现在厚层扫描中,由两个相邻的椎体及插入其中的椎间盘构成。

相比较X线成像而言,CT在诊断椎体骨折上有较高的敏感性,尤其在涉及椎体后部骨折方面。Acheson等视CT为金标准,认为X线平片诊断颈部骨折的准确性只有42%,CT发现颈椎骨折的能力明显高于平片,但不可否认仍然有一些隐性骨折在CT上无法显示。McAfee等分析了CT在胸腰椎损伤中的应用,认为与X线相比,CT的优势在于显示椎体后部骨折及关节面的对线是否优良。Acheson选取160例创伤病人作为研究对象,用CT检测出其中的49名患者有颈椎骨折,在这些骨折中仅有47%X线检查阳性;而CT诊断为颈椎骨折的病例中仅有1例被平片诊断为“异常”,即隐性骨折。Nunez等用螺旋CT评价800位疑诊颈椎损伤的病人,其中46例病人的68处骨折中,只有43%的病变可以在X线平片检查中发现。

虽然临床研究已证明CT对脊椎病变诊断有较高特异性,上述这些数据并不能证明CT诊断骨折的准确性是100%。但Pech等重新评估了CT对颈椎骨折的敏感性。他们选取了受到创伤的尸体作为研究对象。所有的粉碎性颈椎骨折,包括移位的椎管内骨碎片,都被发现了。如果不应用1.51mm薄层扫描及矢状面重组,CT仍可漏诊一些脊椎附件和高位的颈椎骨折,尤其是水平位的骨折。

(四)CT脊髓造影或脊髓造影后CT

CT与MR出现以来,脊髓造影已不再常规使用。但在复杂的脊柱损伤CT扫描中,无法显示硬膜囊内结构,使用水溶性非离子型鞘内造影剂进行脊髓造影后CT扫描(CTM)扩展了CT在脊髓损伤中的应用(图7-11)。

图7-11 脊髓造影后多排螺旋CT扫描矢状面重建,可区分脊髓、神经根。蛛网膜下腔充满造影剂呈高密度,而脊髓、神经根呈中等密度

传统的脊柱造影需要病人配合医生转动体位来控制造影剂在椎管里的流动,而对脊髓损伤的病人,这可能是致命的危险,俯卧位似乎比侧卧位及仰卧位更易导致椎骨脱位。CrM对神经系统损伤病人的术前评估更有价值。当MR成像更普及时,脊髓X线摄影术和CTM的运用将逐步减少。

当脊髓、马尾神经被软组织压迫或怀疑硬脊膜撕裂时,CTM扫描就显得特别有用。一般来说,鞘内注射造影剂是通过C1~C2穿刺,以减少搬动病人所带来的潜在损伤。CTM的优点在于:①脊髓更好地显影;②提高软组织损伤压迫脊髓的诊断显示率,例如椎间盘突出或硬膜外血肿;③脊髓神经根的硬膜撕裂的诊断。CTM较之传统X线体层摄影、脊髓造影和CT平扫在脊椎骨折损伤的神经定位方面有较大的优越性。脊髓压迫可以在X线脊髓造影中显示,但在CTM中显示更清楚直观。在严重压迫的情况下,髓内创伤的诊断是非常困难的。硬膜外不同程度的压迫可导致脊髓不同程度的破裂。当造影剂充盈硬膜囊时,严重的脊髓损伤可出现脊髓缺损的征象。硬膜撕裂可导致造影剂外渗至硬膜外间隙。尽管撕裂的硬膜可自愈,但识别硬膜撕裂也是很重要的,因为撕裂可能导致多种后遗症,如脑膜炎、神经根内陷,脑脊膜突出或延迟神经损伤。CTM在全脊髓损伤病人诊断中的作用仍存在争议。

(五)磁共振成像

磁共振成像(Magnetic resonance imaging,简称MRI)是利用含奇数电荷的原子核在磁场内共振所产生的信号经计算机重建成像的一种影像学技术。人体内广泛存在的氢质子是最简单和稳定的含奇数电荷的原子,目前的MRI图像都是氢质子的图像。在MRI扫描过程中,射频线圈发射不同频率的射频脉冲序列激发氢质子,使氢质子产生核磁共振。当停止发射射频脉冲后,受激发的氢质子释放出它们吸收的能量,重新回到原来排列的位置上去,这过程称为弛豫(Relaxation),而恢复到原来状态所需的时间称为弛豫时间。表示弛豫时间的值有两种,一种是T1,表示自旋-晶格弛豫时间,又称纵向弛豫时间;另一种是T2,表示自旋-自旋弛豫时间,又称为横向弛豫时间。人体不同器官的正常组织和病理组织的T1和T2是相对固定的,而且彼此之间有一定的差别。因此,在MRI图像上就有黑白灰度的不一,我们就可以识别不同的组织和病变。弛豫过程中氢质子释放的能量以无线电磁波的形式发射出来,被信号接受器所采集,这就是MRI的成像基础。接受到的信号经计算机处理重建成像。通过发射不同的射频脉冲序列所获得的强调组织的T1特性的图像称为T1加权(T1-weighted,简称T1WI)图像,脂肪组织的信号强度最强,即图像最亮、最白,长于显示解剖结构;强调组织T2特性的图像称为T2加权(T2WI)图像,液体的信号强度最强,大部分病变组织因含水量增多呈高信号强度影。

MRI的软组织分辨率明显高于其他的影像学技术,可直接显示各种组织解剖结构。MRI扫描在病人体位不变的情况下,通过变换梯度磁场选择层面,获得横、矢、冠、斜和任意层面的图像。由于上述的特点,MRI检查对显示病变和诊断定性有很大的优越性。但MRI也有其不足之处,如检查时间较长、对钙化不敏感和有一定的检查禁忌症。由于磁场的作用,装有心脏起搏器、神经刺激器、动脉瘤银夹结扎术后的病人不宜做MRI检查,有幽闭恐怖症(Claustrophobia)的病人也不能耐受检查。

MRI评价脊柱、脊髓疾病已经得到广泛应用。近年来MRI对急性脊柱脊髓创伤病人的评估也越来越受重视。以往,由于多发性损伤的病人尤其是脊柱创伤的病人往往需要连接有一系列生命监护和支持系统,而这些系统在靠近MRI强大的磁场中会被严重干扰(如传统控制通气设备的机械转换器和微处理器),因此MRI在这类病人的检查中受到严格限制。同样的,静脉留置用于控制给药剂量的电子微泵也不适合MR检查。传统的颈牵引环状网状金属及颅钉也不适合安全进行MRI检查,必须替换或改进这些牵引装置。

20世纪90年代中期以来,多种与MR相适应的短期、长期骨科牵引装置已经在临床上应用。Clayman等评价了9种和MR相容的非铁磁性颈牵引支架和矫正器,发现可导电的矫正器易产生涡电流导致影像失真;由塑料连接的铝或石墨碳复合材料所得的影像最好;带有磁性内固定器,例如不锈钢固定支架的病人,由于金属伪影严重干扰成像;而应用不引起排异反应的钛线圈固定器所得图像不会失真。脊柱贯穿性火器伤的病人在行MRI检查前必须对残留发射物的位置和磁性进行仔细评估。尽管被非磁性子弹所伤的病人能进行安全成像,但必须对子弹的类型有所了解,以预测其运动偏移的危险性。MRI在评估脊柱非子弹贯穿伤病人病情方面有很大价值,能显示贯穿路径、脊髓损伤、硬膜外血肿和创伤后假性脑膜反应。金属碎屑或沿弹道形成的气泡可能产生伪影妨碍了评估软组织损伤的能力。尽管创伤病人做MRI有些困难,但在评估脊髓损伤方面MRI明显优于其他成像方法,特别在神经症状与骨外伤不一致时。MRI显示脊柱较长节段和多个关节盘的能力显着优于CT扫描,能很好地分辨脊椎和椎旁软组织。在引入MRI之前,椎旁肌肉软组织、椎间盘、韧带、脊髓和神经根的情况很难通过非创伤性检查方法来评估。MR血管成像可无创性评估颈部钝伤或穿透伤之后颈部大血管的情况。

对于诊断骨和软组织损伤T1WI和T2WI图像都是必要的。评价脊髓损伤时,需要进行冠状、矢状位和轴位成像,必要时可应用斜位评估一些特殊解剖结构,如神经孔和神经根。应用表面线圈或多通道线圈可获得高分辨率图像。虽然有报道MRI增强扫描在颈部神经根撕脱伤的评估中有一定的价值,但不常规用于脊髓外伤。MRI易发现椎体骨折,特别在粉碎性骨折时。对于脊椎后部骨折的显示MRI尚有一定的限度,特别是颈部。

T2WI图像可很好地显示椎旁软组织损伤。韧带的完整在预防损伤引起的脊椎不稳和排列不齐中起着关键作用。韧带和椎旁软组织形态和信号强度改变有助于鉴别韧带损伤。正常的前纵韧带、后纵韧带、环状纤维在所有的扫描序列中都呈线带状低信号。黄韧带和棘间韧带均为低信号强度。棘上韧带在中线矢状层面显示为覆于脊椎序列顶端的清晰的带状低信号区。韧带撕裂伤在T2WI矢状位最好显示,是由于周围存在血肿和水肿。脂肪抑制T2WI像在诊断韧带损伤方面比常规T2WI像敏感,因为椎旁脂肪在此序列不再呈高信号。韧带撕裂可通过韧带连续中断或相关软组织血肿直接观察,也可通过间接征象比如脊柱后凸和排列不齐进行诊断。棘上韧带常在骨间中线位置破裂。前纵韧带和后纵韧带在椎间盘边缘的破裂最易探及,因为韧带在此处与环状纤维最外层融合。脊柱侧凸和倾斜妨碍了对韧带情况的评价。在一项对37名脊髓损伤病人的韧带损伤研究中,所有病人都有相应的外科定位,结果提示MRI的敏感性为90%,特异性为100%。

创伤性硬膜外血肿的存在和大小可被MRI较易检出。由于微小的创伤也能导致脊髓腔内压力骤升,从而引起硬膜外静脉丛的破裂。外伤引起巨大的硬膜外血肿不常见,但小到中等的硬膜外血肿较为常见。

据报道,脊髓外伤病人中有3%~9%病人有外伤性椎间盘突出,真正的发病率可能更高,因为在MRI出现以前,椎间盘突出的检测是很困难的。应用MRI后,目前报道不稳定颈椎外伤病人有33%~48%发生急性椎间盘突出。该病的50%发生在受伤节段或高于/低于该节段。外伤性椎间盘突出最多发生于颈椎尤其是下段颈椎。发生于胸腰椎的外伤性椎间盘突出往往少于颈椎。脊柱创伤附近存在的血肿水肿和骨碎片使CT往往难以显示椎间盘突出。Bohlman的报道中所有26名外伤性椎间盘突出患者最初都是在行椎板切除术或椎体骨折半脱位前路融合术时被发现而诊断的。术前MRI报告为外伤性椎间盘突出的16名患者中无一例经普通X线平片或CT发现。MRI在诊断和评估外伤所致椎间盘突出的位置方面显然比CT更为精确。受创伤的椎间盘在T2WI像上显示最为清晰,信号较正常椎间盘高。相邻骨赘和椎管狭窄的存在则提示为慢性椎间盘突出。骨赘通常易于与椎间盘区分,特别是在应用梯度回波技术之后。在正常、轻微和严重脊髓损伤病人,突出的椎间盘频率相似。

二、脊髓创伤影像学表现

(一)脊髓创伤分期

1.脊髓创伤急性期

急性脊髓创伤常由于脊柱结构破坏(图7-12a和b),如撕裂伤、横断伤或严重挫伤,也可由内在的可逆性损伤如震荡或轻微挫伤引起,还可以由外来的可逆损伤如脊髓受压引起(图7-13)。按损伤程度分为脊髓震荡伤、脊髓挫伤、脊髓撕裂伤和横断伤。

图7-12a 颈段脊髓横断性损伤。颈椎正侧位片:C5以上前脱位,该水平段椎管狭窄,可推测脊髓受压迫

图7-12b MRI矢状面T1WI可见颈髓在C5水平明显受压,椎体前缘和椎管内可见中等偏高信号,局部颈髓可见斑点状高信号;12WI被压迫的脊髓亦见高信号出血灶,脊椎前方前纵韧带下血肿,呈高信号

图7-13 胸椎压缩性骨折伴脊髓压迫:T1WI和T2WI示T10压缩性骨折后凸畸形,脊髓压迫

(1)脊髓震荡伤(脊髓休克)产生短暂性神经缺陷,很少发生脊髓本身形态或微观结构的改变。最初神经损伤症状可能十分严重,可被认为是神经化学或神经内分泌水平的改变而造成,一般可在24~48小时之内恢复。颈髓最易受累,可能与原有的颈椎基础病变所致的椎管狭窄或运动度过大有关。

(2)脊髓挫伤是脊髓内在的损伤,可出现坏死、血肿和水肿所致的整体或/和微观结构的改变。它能引起可逆或通常不可逆的神经缺陷。早期的挫伤只是小的中央血肿,之后逐渐扩大并通过周围水肿互相融合。但轻微的脊髓挫伤,在影像学和临床上很难与脊髓震荡鉴别。即使是在理想的成像技术条件下,微小的点状也可能很难发现。已有大量治疗方法用于病人,以期功能更快更完全地恢复。这些方法包括甾类化合物应用、脊髓冷却法、纤溶、脊髓切开术及神经化学恢复。

(3)脊髓撕裂伤和横断伤是神经束的连续性中断引起的不可逆性损伤。脊髓十分坚韧,很少被撕裂或是断开,除非严重暴力伤。若在受伤几天之后做检查,不易区分脊髓横断伤和严重挫伤。严重挫伤之后脊髓发生降解而自溶,典型的这种变化发生于伤后24~48小时,与完全性脊髓破裂表现相似。与横断伤不同的是,挫伤的患者具有潜在的神经恢复能力。

外科减压术用于解除脊髓压迫导致的神经缺陷,对各种类型的脊髓内在损伤是无效的。当正常脊髓受压出现可逆性神经损伤,脊髓水肿可能会发展,但脊髓内无坏死或血肿。此水肿预后良好,临床和影像学表现上都有较快的恢复。

2.脊髓创伤慢性期

少数病人在急性损伤过后一段时间内也可逐渐出现神经功能障碍。创伤后脊髓病就是用于描述脊髓创伤后迟发的一系列强直状态和运动、感觉功能失调临床综合征的专业术语,也可有剧痛和自主神经功能的失调。在MRI应用前,创伤后脊髓病被认为是两种病理改变的结果即非囊性脊髓软化和创伤后脊髓空洞症,也被认为是创伤性囊性脊髓病和创伤后脊髓囊肿的结果。其发病机制可能是囊肿发展导致局部脊髓出血和损伤,也可来自非出血的脊髓创伤。非出血创伤病程中酶的释放或肾上腺素增多引起血管痉挛及局部缺血导致组织中心的脊髓软化。小囊腔的膨胀过程可导致胶质组织产生脑脊液或脑脊液经过扩大的Virchow-Robin间隙进入囊腔。因为只有创伤后脊髓囊肿适合引流术,为选择合适病例,术前区分脊髓空洞和脊髓病是必要的。

目前认为创伤后脊髓病的发展可能与脊髓压迫及脊髓内的病理条件有关。慢性损伤能引起一系列脊髓的内源性损害,如萎缩、脊髓空洞症、脊髓病、蛛网膜囊肿和粘连,机械性因素如排列不齐、后移的骨折片或椎间盘引起的外源性脊髓压迫。Yamashita评估了14名远端脊髓伤后有新症状的病人,MRI上常发现脊髓空洞症存在。Silberstein描述了94名脊髓伤后有新症状病人的MRI表现,选择标准包括不断加重的脊髓病和神经缺陷、疼痛、多汗或逐渐加重的肌肉痉挛。症状的出现通常在原始创伤后平均114个月。MRI通常表现为脊髓萎缩(43%)和瘘管(41%),其他损害还有脊髓压迫(24%)和脊髓软化(26%)。但有些病人有完全正常的MRI表现(18%)。在脊髓压迫和萎缩或软化之间有较强联系,脊髓压迫和脊髓空洞症之间存在相关关系。

创伤后脊髓空洞症是神经系统症状恶化的主要原因,通过引流囊腔的液体空洞可缩小,正确的诊断十分重要。在CTM和MRI应用之前,这种病变难以诊断。约0.9%~20%的脊髓损伤病人可出现脊髓空洞症。在伤后数十年以后,病人有疼痛、运动、感觉功能的丧失,甚至累及脑干。

(二)脊髓损伤MRI表现

MRI是显示脊髓创伤的最有效的影像学检查,不仅可以直接显示脊髓创伤的形态学改变,而且可以通过观察脊髓内部的信号改变和周围组织结构损伤的情况来判断脊髓损伤的程度和预后,因而对临床制定治疗方案、评估预后具有重要的指导意义。

1.急性脊髓创伤的MRI

脊髓创伤急性期(24h内)MRI表现可概括为脊髓水肿、脊髓出血、脊髓挫伤、脊髓受压和脊髓横断。

(1)脊髓水肿:发生在创伤的早期,可独立发生也可和其他的损伤共同存在。单纯的脊髓水肿是可逆性的,MRI表现为脊髓轻度的增粗,病灶边缘模糊,信号均匀,在T1W为等信号或稍低信号,在T2W为高信号,邻近的椎骨、韧带和软组织也可发现异常信号改变。

(2)出血:包括脊髓内出血和硬膜外血肿(图7-14至图7-16)、硬膜下出血和蛛网膜下腔出血等。脊髓内出血是不可逆损伤,其信号改变随时间变化较大。急性期(24h内)髓内出血灶在T1WI呈中等信号或不均匀信号,在T2WI呈中央低信号出血灶,外围水肿为高信号。亚急性期(3~5d)血肿在T1WI信号逐渐升高,在T2WI信号仍较低,慢性期血肿在T1WI和T2WI均为高信号。脊髓硬膜外血肿、硬膜下出血和蛛网膜下腔出血,在MRI上表现为椎管内脊髓外的软组织增厚影,在T1WI呈不均匀低信号,在T2WI为高信号。硬膜外出血脊髓受压移位明显。

图7-14 腰椎后柱骨折伴硬膜外出血,马尾受压。T1W(a)和T2W(b)矢状成像,椎管后方硬膜外可见T1W和T2W均为高信号的血肿

图7-15 颈髓挫裂伤:T1W(a)T2W(b)矢状面,脊髓增粒为髓水肿所致,T1W和T2W信号增高。横断面(c)脊髓内可见斑片状出血灶,硬膜外血肿T2W亦呈高信号,脊髓压迫向右后移位。颈后方软组织出血水肿,在T2W亦为高信号

图7-16 L1压缩骨折,脊髓挫裂伤:T1W(a)和T2W(b)矢状面,L1椎体呈楔状变形,椎体骨折,但无移位。后方硬膜外及脊髓内可见高信号血肿,在横断位T1W(c)、T2W(d)成像,如箭头所示脊髓圆锥内椭圆型高信号影,为出血所致。椎体骨髓水肿及出血。

(3)脊髓挫伤:脊髓挫伤是脊髓水肿伴局灶性出血,在T1WI小的出血灶可呈高信号,邻近水肿为等低信号,T2WI呈混杂高信号(图7-16)。

(4)脊髓受压:脊髓受压变扁变形,局部脊髓信号强度可正常或T2WI信号轻度增高(图7-17)。通常是由于脊柱骨折和脱位,使椎管变形、狭窄所造成,多见于椎体的爆裂性骨折、过屈过伸性损伤、旋转性创伤和单纯的压缩性骨折等,这些创伤往往伴有严重的肌腱和韧带损伤。

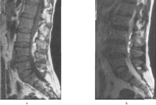
图7-17 T12压缩性骨折并脊髓横断性损伤:T1W(a)和T2W(b)矢状面扫描,可见T1压缩变扁,T11以上向前移位,脊髓呈横断性改变。椎间盘及脊柱前纵韧带下血肿。冠状面脊柱两侧亦见高信号出血

(5)脊髓横断:脊髓横断表现为脊髓和硬膜囊连续性中断,在矢状面显示清楚。完全性横断可伴有脊髓的回缩,两断端出现较宽的间隙。MRI检查T2WI较T1WI敏感,可清楚显示横断的脊髓,尤其是在T2WI,脑脊液呈高信号,而脊髓呈中等信号,两断端间充满高信号的脑脊液(图7-18)。不完全性脊髓横断,在T2W呈高信号,脊髓连续性尚存。

图7-18 T11椎体骨折脱位伴脊髓横断性损伤:T1W(a)和T2Wb矢状面示,T10以上明显向前脱位,椎管和脊髓在T11水平中断和成角,脊椎前、中、后柱骨折脱位,并有脊柱周围血肿

许多研究表明,从脊髓震荡的可逆性损伤到继发于挫伤的不可逆性损害在MRI上有不同表现。Kulkarni和他的同事们描述了MRI上3种形态和信号强度的改变并与神经功能恢复的可能性联系在一起。

预后最差的是Ⅰ型,表现为脊髓出血引起T1WI脊髓信号的不均匀。此型在受伤后数小时内可继续发展且预后不良,在多数病例中Frank分级或创伤运动指数均未见改善。在急性损伤72小时内,血肿区在T2WI像上表现为低于正常脊髓的信号强度,可能是由于细胞间脱氧血红蛋白磁化引起。信号强度的改变在T2WI显示较好。这些低信号区在大视野扫描可能很难检出。脊髓血肿发生后3~7天的T2WI像表现为创伤中央区残留的低信号区,由于细胞外高铁血红蛋白的存在,其周边有一薄层高信号区。经过一段时间(一般报道为8天),血肿变化的更明显,在T1WI和T2WI像上均表现为高信号强度。Flander对78名急性颈椎损伤患者进行研究,结果表明髓内血肿的存在往往提示完全性损伤,91%的完全性神经缺陷患者都有髓内血肿。Silberstein研究发现所有损伤累及脊髓全平面和血肿的病人同时有完全性运动麻痹者预后不佳。

据Kulkami的研究,Ⅱ型最为常见(18/33例),多为脊髓水肿引起,预后较好,所有病人神经功能状态都可不断恢复。尽管脊髓损伤可能有灶状扩大,但T1WI像上仍表现为正常信号特征。在急性期,水肿区T2WI像上表现为比正常脊髓组织高的信号强度。这个高信号区呈线形或梭形,可能由于水肿区环绕着镜下血肿或坏死区所致。动物模型显示轻微的挫伤两端也出现类似的线形高信号强度区。创伤发生后4个小时即可显示出脊髓水肿,在72小时达高峰,之后渐渐消散,通常可持续数天。这种发展过程在实验动物损伤模型上与脊髓病理变化相一致。小的点状血肿损伤后30分钟可显示,伤后4个小时40%的脊髓中央灰质和临近白质可出现广泛凝固性坏死。病理所示严重震荡伤后最大的水肿发生于伤后2~3天。

第Ⅲ型在Kulkami研究病例中只出现2例,包括脊髓的扩大和T1WI像上正常信号强度。T2WI像急性期表现为中央低信号区周围一层厚的高信号区。此型是具有MRI混合特征的中间类型,预后也居中间水平。近来更多的研究使用高分辨成像,对少量脊髓血肿显示更为敏感。这些研究表明这种血肿水肿混合型十分常见,特别是在急性创伤病人。

Schaefer研究了78个病人,把急性颈髓伤的MRI表现与入院神经系统检查结果联系在一起,与严重神经缺陷相联系的特征包括髓内血肿和超过一个脊柱节段的脊髓水肿。结果显示正常脊髓或小范围的挫伤为轻度损伤。所有有神经功能失调的病人MRI上均显示脊髓异常,没有MRI异常而神经功能正常者。Yamashita发现脊髓压迫程度,不仅仅是脊髓的信号强度,能较准确地估计其临床预后。他们使用的中等磁场对探测脱氧血红蛋白产生的信号不如其他敏感。最近,Flanders报道脊髓血肿MRI表现与伤后运动功能的难以恢复相联系。在没有血肿的病人中,他们发现脊髓水肿的长度和位置对于预后的判断是有用的,比单纯临床检查预见率更高。

2.脊髓创伤慢性期的MRI

脊髓创伤慢性期改变也称创伤后脊髓病,可出现在急性创伤手术或保守治疗后。创伤后脊髓病的病变按发病率高低依次为:创伤性椎管狭窄、脊髓软化、创伤后脊髓空洞症、创伤性脊膜囊肿、脊髓萎缩和瘘管形成等。

(1)创伤后椎管狭窄:脊柱创伤经手术矫形或保守治疗后,都可发生椎管狭窄,主要原因是骨质增生、椎间盘破裂、韧带断裂致椎体不稳、瘢痕的粘连和增生等。这些继发性的改变可压迫脊髓和神经根引发神经功能障碍。MRI可清楚显示椎管狭窄的部位和受压的脊髓和神经根。

(2)脊髓软化和空洞:脊髓软化在创伤后48h后即可开始,是由于脊髓内出血、水肿引起的炎症性反应和肉芽组织对创伤组织的清除所致,可能同时伴有胶质细胞的增生和吞噬细胞功能的增强使脊髓脂质崩解、软化和液化,并被吞噬细胞吞噬和转移,最终形成脊髓软化和空洞形成。MRI可显示这种病理改变。脊髓软化灶在T1WI表现为低信号,在T2WI为高信号,增强扫描无强化。脊髓空洞在T1WI和T2WI信号等同于脑脊液信号,而边缘更加清晰(图7-19)。脊髓软化和空洞是神经系统症状恶化的主要原因。脊髓空洞引流是治疗的重要手段,因而正确的诊断和定位十分重要。大约9%~20%的脊髓损伤病人可出现脊髓空洞症。

图7-19 脊髓创伤后脊髓软化:MRI、T1WI和T2WI矢状面显示C5水平颈髓内可见一长条状异常信号影,T1W低信号,T2W高信号,类似脑脊液信号,为创伤后软化灶

X线脊髓造影可显示蛛网膜炎和受伤节段的粘连以及脊髓病灶的大小。脊髓囊肿的诊断不应基于局部脊髓的扩大,因为许多有囊肿的脊髓大小可正常。常见的有囊肿的正常大小的脊髓或萎缩的脊髓位于脊髓背侧或在受伤节段以上。脊髓空洞平均长约6cm,亦可小至0.5cm或占满整个脊髓腔。正常脊髓直径的改变或不同部位的脊髓萎缩有助于脊髓空洞的诊断。50%以上有瘘管的病人有随位置变化的脊髓大小改变,仰卧位时脊髓的缩小是最具有特征性的改变。脊髓大小的位置改变在MRI和CTM上比X线脊髓造影更易于显示。

脊髓造影后立即扫描的CTM相对不敏感,除非空洞较大引起局部脊髓异常。Seibert等注意到延迟CT在脊髓空洞诊断上的价值,在鞘内注射水溶性非离子型造影剂3~6小时后行CT检查脊髓空洞可显影。后来的研究者也注意到脊髓软化和创伤后的瘘管在延迟CTM扫描都可显示。延迟CTM主要的缺点是有创、耗时,且通常需要住院观察。

(3)创伤性蛛网膜囊肿:创伤性蛛网膜囊肿是由于脊柱创伤引起脊膜撕裂脑脊液外漏积聚造成,可对脊髓造成压迫性改变。囊肿在T1WI、T2WI呈脑脊液样信号,边界清楚,呈单囊或多囊状改变(图7-20)。

(4)脊髓瘘管形成:脊髓内软化灶形成空洞与相邻的蛛网膜下腔相通,在T2WI上可显示高信号的脑脊液连接于蛛网膜下腔与髓内空洞。

(5)脊髓萎缩:脊柱脊髓创伤后脊髓萎缩发生率很高,其部位可在创伤节段的上方或下方,表现为脊髓的变细,相对硬膜囊增宽。

图7-20 脊柱创伤后脊膜囊肿:囊肿在T1WT呈低信号,在T2WI呈高信号,类似脑脊液信号,该节段脊髓圆锥和马尾神经明显受压迫移位,椎体和附件骨质受压吸收

随便看

 

离鸟网收录3541549条中英文词条,其功能与新华字典、现代汉语词典、牛津高阶英汉词典等各类中英文词典类似,基本涵盖了全部常用中英文字词句的读音、释义及用法,是语言学习和写作的有利工具。

 

Copyright © 2004-2024 vtrois.com All Rights Reserved
更新时间:2026/4/19 20:36:06