网站首页  词典首页


请输入您要查询的字词:

 

字词 嗅鞘细胞及其生物学特性
类别 中英文字词句释义及详细解析
释义

嗅鞘细胞及其生物学特性


早在20世纪70年代Graziadei和Monti Graziadei等用标记胸腺嘧啶核苷的方法得出嗅上皮内的嗅神经元大约可存活28天,它们死亡后由球形的基底细胞分化的新生细胞所补充。80年代Hinds等人的研究表明有些嗅神经元有更长的生命期,大约为1年。尽管如此,在哺乳动物的一生中,嗅神经元要经历不断的死亡和被新生的嗅神经元所替代的过程,在此过程中嗅神经元要正确地分类成束而且要穿过筛板、迁移入嗅球并与嗅球颗粒层中的二级神经元——僧帽状细胞(mitral cells)的树突形成突触。毫无疑问,在此过程中轴突,特别是它的生长圆锥(growth cone)要遇到相当数量的分子信号并受其调节。Lin等人的研究表明嗅神经轴突在嗅觉通路生长过程中受各种分子浓度梯度的趋化。对各种分子信号的研究越来越表明嗅鞘细胞的重要性,因为在整个嗅觉通路中它与嗅神经元接触最为密切。其实,人们对嗅鞘细胞的认识要追溯到19世纪末,西班牙组织学家Blanes Viale发现有一组跟随并包绕嗅神经元的细胞,因为在外周神经系统中,所以当时它被冠以“雪旺氏细胞”的名字。但Cuschieri和Bannister等接下来的研究很快证实了这种细胞在发育和结构上与典型的雪旺氏细胞有所不同。接着许多人进行了关于此细胞在体内和体外表型的研究,这些研究都试图在嗅鞘细胞上找到嗅神经元生长的机制。

一、发育过程中嗅鞘细胞空间分布

Mendoza等人观察到在发育过程中嗅上皮基底膜下有一簇细胞存在。在鼠类,这些细胞出现的时间与嗅神经元生长的时间是一致的,这初步证实了嗅鞘细胞来源于此。Chuah和Au等用去掉固有层的嗅上皮培养出了表达胶质纤维酸性蛋白(glial fibrillary acidic protein,GFAP)的嗅鞘细胞,这种概念得到了进一步的证实。早在嗅神经元突破嗅上皮之前,嗅神经元已被嗅鞘细胞所包绕,这时的嗅鞘细胞成摇篮状紧贴于基底膜上,嗅神经元的进一步生长使得嗅鞘细胞被包在嗅神经轴突和基底膜之间,当嗅神经轴突突破基底膜进入固有层时,嗅鞘细胞就伸展它的胞浆突起包绕嗅神经轴突,并将它分为不同的束。随着嗅神经轴突的继续延长,嗅鞘细胞的突起始终在嗅神经轴突末端的前面,这表明嗅鞘细胞可能在嗅神经迁移过程中对其有某种方向上的指导作用。需要指出的是,嗅神经轴突在迁移过程中不但与其他的轴突以及嗅鞘细胞相互作用,还有很少被提到的结缔组织。在迁移过程中嗅神经轴突自动而正确地组成束状结构的机制也不清楚。嗅鞘细胞与嗅神经轴突一起迁移,Liu等人的体外研究表明嗅鞘细胞是沿着嗅球所释放的可溶性因子的浓度梯度迁移的。当嗅神经轴突与前脑泡接触时,两者之间的物理屏障——胶质界板(glia limitans)随之崩溃,这一过程使得嗅鞘细胞能进入中枢神经系统并形成新的胶质界板,从而为嗅神经层(olfactory nerve layer)的形成铺平了道路。就这样,嗅鞘细胞最终在中枢神经系统中“定居”下来。

二、嗅鞘细胞在体内和体外结构和所表达分子的变异

在20世纪70年代,Cuschieri和Bannister等观察发育中小鼠嗅神经的超微结构是第一次发现嗅鞘细胞可能由不同的种群所组成。他们观察到在小鼠围产期,有不同胞浆电子密度的嗅鞘细胞存在,并推测在嗅神经束中高电子密度的嗅鞘细胞代表一种还不太成熟的种群。接下来的免疫组织化学研究也同样证明了嗅鞘细胞有着不同的抗原表达,如表22-1所示。

表22-1 Intracellular and receptor molecules expressed by ensheathing cells’

1 NIB=olfactory nerve layer of bulb;dNLB=deep region of NLB;ON=olfactory nerves;n.d.=not determined;+=present in most ensheathing cells.

2 Level is greatly reduced during and after the second postnatal week.

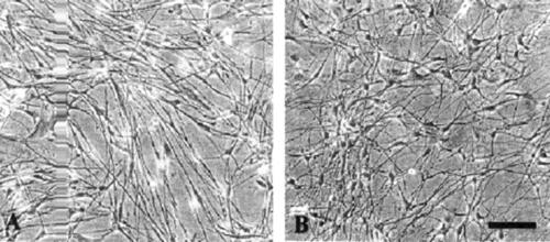
现在的发育学研究(St.John and Key,2001)表明在围产期和新生大鼠嗅球嗅神经层及其邻近的嗅鞘细胞对Ephrin-B2表现出阳性的免疫反应。Ephrin-B2是受体酪氨酸激酶Eph家族的一种配体。使人感兴趣的是,靠近嗅上皮的与嗅神经轴突的束状结构紧密联系的嗅鞘细胞不表达Ephrin-B2。在出生后两周,Ephrin-B2的表达会剧烈下降。研究者自己认为,这种表达的变化可能是Ephrin-B2参与嗅神经正确组成束状结构的调节作用的有力证据。Franceschini和Barnett等用O4、N-CAM和vimentin抗体标记了整个嗅神经层,S-100和GAP-43除了嗅球表面的一薄层结构以外,其余与上述3种抗原分布相同。有趣的是,低亲和力的神经生长因子受体(NGFr)表现出表达易变性。这种受体通常作为嗅鞘细胞体外培养鉴定时的特异性标志,它分布广泛并且在发育阶段与包裹嗅神经的嗅鞘细胞密切相关。在围产期NGFr也存在于嗅神经层内,但随着大鼠的成熟逐渐减少,在一个月大小的大鼠,它仅少量地存在于嗅球嗅神经层最深面与最表面的残余中。GFPA被发现仅存在于嗅神经层的深层。然而,上述研究中的不足是:在嗅神经层任何部位的任何抗原免疫阳性反应都不能说明这种阳性抗原就确切地位于嗅鞘细胞,因为嗅神经元也可能表达同样的抗原,所以只能以此研究作为推测。一种更为令人信服的的研究方法是使用免疫电子显微镜(immunoelectron microscopy),Ubink等人就是用此方法证实了神经肽酪氨酸(neuropeptide tyrosine,NPY)存在于嗅鞘细胞的高尔基复合体(Golgi compartment)里面。嗅鞘细胞在形态和所表达抗原的变异性也可在其组织培养的过程中表现出来,因为不同的实验室可能应用不同的抗原表达作为鉴定嗅鞘细胞的标准。所观察到的变异性可能归因于分离方法的不同、培养条件的差异和取材动物的年龄大小。Barber和Lindsay首次报道了嗅鞘细胞像星形胶质细胞一样也表达GFPA,并描述了在分离的嗅粘膜的培养物中存在着两种形态上明显不同的嗅鞘细胞。第一种细胞为双极纺锤形,而第二种细胞则为扁平多突出状且以丝状的GFPA染色为特点。在后来的研究中发现与加有血清的培养基相比,没有加入血清而加入了4μg/ml的层粘素的培养基可以诱导嗅鞘细胞胞体细胞浆体积减少而伸出更长的突出。作为结果,双极嗅鞘细胞的数量就会增加。这种由无血清的培养基诱导的由扁平状向纺锤状的形态转变的过渡无论是在来自胚胎的,还是新生的大鼠的嗅鞘细胞培养物中都可看到。有人将嗅鞘细胞分别用CM(chemically-defined edium)培养基和NB(Neurobasal medium with B-27 supplement)培养基培养,结果两种培养基中生长的嗅鞘细胞存在着微妙的不同:在CM培养基中嗅鞘细胞形态细长,有着直的突起并互相平行排列:而在NB培养基中生长的嗅鞘细胞有着细长弯曲的突起,并由胞体向周围呈放射状,如图22-1所示。研究还发现,如果将培养基互相更换,则细胞表型在24小时内可发生可逆性的变化。Sonigra等在1999年报道,嗅鞘细胞不同的形态可能与其抗原表达的不同相联系。比如说,E-N-CAM由扁平形态的嗅鞘细胞表达,而NGFr却主要由纺锤状的嗅鞘细胞表达,虽然少量的扁平嗅鞘细胞也有表达。扁平状的嗅鞘细胞表达高水平的纤维状的GFAP,而纺锤状的嗅鞘细胞仅含有弥散分布的GFAP。现在还没有证据确定这种纺锤状的NGFr阳性的嗅鞘细胞是不是早期“定居”于嗅球的嗅神经层最深层和最表层的那些嗅鞘细胞。有趣的是,不管培养中嗅鞘细胞的形态如何,它们大多数都会表达S-100、N-CAM、vimentin和nestin。Vimentin在嗅鞘细胞的表达备受瞩目,因为它常常与中枢神经系统中不成熟的胶质细胞联系在一起。在星形胶质细胞成熟后,Vimentin将被GFAP所替代。所以,vimentin的存在说明这些细胞还没有发育到完全成熟的表型。如上所述,在体内嗅鞘细胞所表达的抗原就有变异性,如果体外培养,再加上培养条件的不同,就会使嗅鞘细胞的鉴定更加困难。现在,鉴定嗅鞘细胞无非是根据它的形态以及相对来说非特异的抗原蛋白的表达,如S-100蛋白,这些抗原蛋白在其他胶质细胞也可表达并且会随着培养条件的改变而改变,所以这种鉴定方法是不理想的。随着微序列研究技术(microarray techniques)的发展,则有可能找到鉴定嗅鞘细胞特异性的标记蛋白分子,这在嗅鞘细胞建株过程中尤为重要。尽管体外培养中嗅鞘细胞所表达的抗原表型非常复杂,但Goodman和Sonigra等仍然建立起了纯系的嗅鞘细胞株。Goodman等把编码SV40巨大T抗原的DNA导入细胞而建立了纯系嗅鞘细胞株。虽然这一细胞株可以促进视网膜节细胞的轴突生长,但还没有促进体外培养的嗅神经元轴突生长的报道。Ramon-Cueto等报道嗅上皮和嗅球来源的嗅鞘细胞可以伸出突起包绕嗅神经元轴突。但有趣的是,当嗅鞘细胞突起包绕嗅神经元轴突后不久,在这两种细胞接触的细胞膜处NGFr的免疫反应性消失,这表明嗅鞘细胞NGFr的表达部分受与嗅神经轴突相互作用的影响。相比之下,GFPA的表达则不会受嗅鞘细胞与嗅神经轴突膜相接触的影响,而是受细胞内cAMP水平的调节。虽然嗅鞘细胞在体内是不形成髓磷脂的细胞,但Devon和Doucette等报道在体外培养中的嗅鞘细胞可以使背根神经节轴突形成髓鞘,这说明该细胞被诱导为表型像雪旺氏细胞的嗅鞘细胞。嗅鞘细胞的这种特性在中枢神经系统中也有作用,有研究发现将嗅鞘细胞移植进入脊髓,它可以使中枢神经轴突形成髓鞘。综上所述,嗅鞘细胞与雪旺氏细胞有着不同的特性,特别是在体外分别与星形胶质细胞培养时其行为特性尤其不同。嗅鞘细胞能够比较自由地与星形胶质细胞相互作用,并可迁移到富含星形胶质细胞的区域而不导致星形胶质细胞的肥大。这些特点可能是嗅鞘细胞在中枢神经系统损伤修复中比雪旺氏细胞更有效的合理解释。

图22-1 嗅鞘细胞在两种不同的不含血清的培养基中培养(A.培养基为文中所述的CM培养基;B.培养基为文中所述的NB培养基。在CM中嗅鞘细胞呈纺锤形,双极,且突起相互平行排列;在NB中嗅鞘细胞呈扁平状,多突起从胞体向四周呈放射状排列)

三、嗅鞘细胞所表达的主要的膜表面分子

嗅神经轴突能够成功地长入嗅球很可能是一些细胞外基质分子、细胞粘附分子和可溶性的趋化因子的联合作用,这种作用就好像神经系统的其他部分的轴突在体外药剂的调节下生长一样。这些生长相关分子中有些已被免疫组织化学的研究方法所鉴定。有报道指出这些分子主要分布于固有层和嗅神经层。这些分子的分布与它们在嗅神经轴突生长、分类和成束过程中所起的作用是相一致的,如表22-2所示。

表22-2 Membrane-associated molecules expressed by ensheathing cells

1985年Treloar等首先将层粘素(Laminin)定位于嗅球的嗅神经层。Laminin是在大鼠胚胎第13天由嗅鞘细胞和嗅神经元所产生的。当分离的嗅神经元以1.5×105/cm2的密度平铺于含有Laminin培养板上,它们能够粘附于Laminin并随之分化为双极细胞,然而如果平铺密度过低,如只有104细胞/cm2,就不会导致有意义的轴突生长。令人感兴趣的是,在铺有Laminin的培养板上培养嗅上皮外植物时,单个神经轴突的延伸及轴突的成束在几天中就可以看到。以上研究说明增加神经元的密度和神经元之间的接近程度可以促进轴突在Laminin上的延伸。低密度的神经元的轴突不能在Laminin上延伸,说明其他的神经营养因子在此过程中起作用。Laminin在嗅觉系统中可能有多种作用。在嗅上皮外植物的培养中,Laminin表现出促进细胞迁移的作用,这其中包括嗅鞘细胞从嗅上皮中的迁移。这一作用已经被定位于Laminin分子长臂远端的E8功能域,并且这一功能被α6β1整联蛋白所调节。Laminin增加了嗅鞘细胞从嗅上皮中的迁移,再加上嗅球源性的可溶性因子一起促进了嗅神经轴突的生长。除了Laminin,嗅鞘细胞表达N-CAM和L1,嗅神经轴突和邻近的间质也表达N-CAM和L1。Chuah等将N-CAM和L1的抗体加入生长于单层的星形胶质细胞上的嗅神经培养物中,结果发现嗅神经轴突的生长受到抑制。但有趣的是,在N-CAM-180发生突变而致其无效的小鼠,嗅神经迁移的轨迹是正常的,只是嗅球的嗅神经层因为有些神经轴突不能穿出此层进入颗粒层而使其变得相对较厚。可能N-CAM的作用可以被其他的粘附分子如L1等所替代。SCR家族酪氨酸激酶p59fyn和pp60c-src与粘附分子的信号转导有关,Morse等发现它们存在于嗅神经元中。在缺少src和fyn基因的纯合子突变小鼠中,嗅神经轴突广泛地错乱成束。这表明了嗅神经的生长可能受多种因子的调节。有研究发现在发育阶段嗅神经分类、成束的过程中,嗅鞘细胞表达蛋白多糖和糖蛋白。galectin-1在胚胎发育的第15天在鼻腔周围的间充质中被发现,而到胚胎发育的第17天则局限于嗅鞘细胞。无论是在发育期还是在成年期,固有层和嗅神经层中的嗅鞘细胞都表达galectin-1。硫酸乙酰肝素蛋白多糖(Heparan sulfate proteoglycans HSPG)在大鼠胚胎第13天在嗅凹和假定的嗅球之间的间充质中有表达,然后其表达也局限于嗅鞘细胞。以上的研究表明,嗅鞘细胞可以表达促进嗅神经生长的分子。有研究表明嗅鞘细胞也能表达对嗅神经轴突的生长具有方向性指导作用的semaphorin 3A。基因突变导致semaphorin 3A基因缺失的小鼠嗅神经迁移行程出现紊乱,特别是嗅神经层中的轴突在进入颗粒层时不能够找到自己相应的靶细胞。Whitesides和LaMantia等认为嗅觉通路从形态学上可分为3个不同的部分:①嗅上皮和其下面的固有层的连接处;②颅内、外的结缔组织区域;③结缔组织与嗅球的连接处。现代医学认为在以上3个不同的区域内有着不同的组合和水平的粘附分子和细胞外基质分子调节嗅神经轴突的生长。值得指出的是,虽然嗅鞘细胞可以产生这些生长促进分子,但其中的有些分子同样也在嗅神经元和周围的结缔组织中表达。

四、嗅鞘细胞神经生长因子及其受体的表达

生长因子通常被认为是一个对神经元的生长发育起诱导作用的目标源性的、长距离的信号。近年来,嗅觉系统中被发现的生长因子的数量越来越多,但有些生长因子的功能尚待进一步研究。在早期的研究中,通常把嗅鞘细胞促进轴突生长的作用归功于它所表达的膜表面分子,而探索嗅鞘细胞合成和分泌生长因子的研究却为数不多。Chuah和Teague等的研究发现在大鼠的嗅觉通路中,嗅神经轴突和嗅鞘细胞都可以表达酸性和碱性的成纤维细胞生长因子。另外,嗅鞘细胞已被证明可以表达高亲和力的受体FGFr1和perlecan,后者是FGF与其受体相互作用所必需的。免疫组织化学染色已经揭示了嗅鞘细胞可表达血小板源性生长因子-B(platelet-derived growth factor-B PDGF-B)。一些实验室成功地体外分离和培养了嗅鞘细胞,这为对其所分泌的生长因子的数量与质量的研究提供了便利条件。现在的研究所得的资料越来越证明嗅鞘细胞是生长因子的一个丰富来源。Alsn v.Borueh等以纯系的嗅鞘细胞(nOEC)为实验对象,提取其总RNA,用RT-PCR的方法检测嗅鞘细胞内是否含有某些生长因子的mRNA。其结果显示嗅鞘细胞表达以下生长因子的mRNA:神经生长因子(nerve growth factor,NGF)、脑源性神经营养因子(brain-derived neurotrophic factor,BDNF)、神经营养素-4/5(neurotrophin 4/5,NT-4/5)。但是不表达神经营养素-3(neurotrophin 3,NT-3)和睫状神经营养因子(ciliary neurotrophic factor,CNTF)的mRNA,如图22-2所示。为了确定嗅鞘细胞是否利用这些mRNAs合成和分泌与之相对应的神经营养因子,他们又对嗅鞘细胞的条件培养液进行了ELISAs(Enzyme-linked immunoassays)分析。其结果如下:该株嗅鞘细胞的条件培养液中包含有NGF、BDNF和Neuregulin,却没有检测到NT-3存在,如表22-3所示,有趣的是,NT-4/5蛋白在条件培养液中没有被检测到,但当嗅鞘细胞溶胞时,则可检测到它的存在。这提示NT-4/5的分泌可能需要来自其他细胞的某些信号的调节。以上这些结果都表示嗅鞘细胞表达这些神经营养因子并可能通过它们与周围的环境相互作用。另外,低亲和力的神经营养因子受体在嗅鞘细胞可被检测到,并且该受体已被广泛接受作为鉴定嗅鞘细胞标志性分子。在高亲和力受体Trk A、B和C中,嗅鞘细胞仅表达Trk B。Woodhall等的研究发现嗅鞘细胞中表达GFRa-1和GFRa-2的mRNA。GFRa-1和GFRa-2,而不是RET,是GDNF和neurturin(NTN)的受体。虽然GFRa有配体的特异性,但RET则有信号转导的功能。Trk A和RET的不表达表明NGF、GDNF和NTN不可能引导出嗅鞘细胞胞浆内的信号,然而,这些受体却可以结合并提呈NGF、GDNF和NTN给周围的嗅神经元。除了神经营养因子,嗅鞘细胞也合成neuregulin家族的成员。大量的neuregulin的同分异构体是由合成它的基因不同形式的剪接方式所形成的,此基因位于第8条染色体的短臂上。已经有多达15种的neuregulin的同分异构体被鉴定,并且还可能有着新的同分异构体被发现。Neuregulin基因编码的蛋白质包含有几个明显不同的结构域:N末端信号肽、免疫球蛋白样区域、一个糖基化丰富的区域、表皮生长因子样区域、近膜区、跨膜区和胞浆区。它们中的有些已经在体内和在体外培养的嗅鞘细胞中被免疫组织化学的方法所鉴定。有研究用RT-PCR的方法证实嗅鞘细胞表达α-EGF、β-EGF以及SDMF(sensory and motorneuron-derived factor)和NDF转录物。另外在嗅鞘细胞中GGF/β-EGF的转录物也被检测到。最近的免疫组织化学研究发现嗅鞘细胞表达ErbB-2和ErbB-3,可能由于培养条件的差异,接下来的研究表明嗅鞘细胞表达ErbB-2和ErbB-4,而不是ErbB-3。嗅鞘细胞能表达自己分泌的许多因子的受体的发现使这些可溶性分子的作用更加复杂化,可能这些生长因子是通过自分泌和旁分泌起作用的。关于嗅鞘细胞及嗅觉系统其他部分对嗅神经元生存和分化的旁分泌作用已有许多研究。但可能是考虑到嗅鞘细胞本身与嗅神经元的“亲密”关系,对于这些可溶性生长因子对嗅神经轴突生长方面所起作用的研究却很少。这方面研究的缺乏,可能是因为1994年Chuah和Au的一篇报道。在这篇报道中他们指出嗅鞘细胞的条件培养液不能够促进从4~5周龄的大鼠来源的嗅神经元的轴突生长。但在最近的研究中,Kafitz和Greer等将胚胎嗅神经元和嗅鞘细胞分离培养于同一培养基中,也就是说,两者的培养基可通过某些间隙不断地相互交换,结果嗅神经元的长度与两者直接接触培养没有明显差别。

图22-2 纯系嗅鞘细胞所表达的神经营养因子的mRNA分析

表22-3 Neurotophic factor concentration(pg/ml)in nOEC conditioned media vs.unconditioned media

ND:not detectable.a indicates intracel lular level.

五、嗅鞘细胞细胞动力学

虽然嗅鞘细胞在嗅觉系统和中枢神经系统损伤修复中的重要性已经脱颖而出,但关于该细胞细胞动力学方面的研究资料却非常缺乏。比如,虽然现在已经有证据证实嗅鞘细胞来源于嗅基板(olfactory placode),但是我们还不知道一旦它们迁移到固有层或嗅球的嗅神经层中时,它们的分化和生命期是如何被调节的。我们知道在发育过程中,当越来越多的嗅神经元向着嗅球生长时,嗅觉通路中的嗅鞘细胞的数量有一个净增长,随着发育成熟,推想嗅鞘细胞死亡数量和新生数量相当从而达到平衡是符合逻辑的。但这种平衡是如何达到的尚不知道。另外,在嗅神经元正常发育到死亡过程中嗅神经元的死亡对嗅鞘细胞有何影响也不清楚。有研究用硫酸锌溶液灌注鼻腔,这可以杀死大多数的嗅上皮细胞,导致嗅神经轴突缺失,其结果发现大多数嗅鞘细胞仍能长入嗅球,只有一小部分集聚于嗅上皮下的狭窄区域。然而,这种方法引起大量的嗅神经元死亡,以此为结果嗅鞘细胞的迁移特性不能代表正常时仅有少量的嗅神经轴突死亡时的情况,这可能是由生长因子所介导的不同的调节机制的结果。为了进一步了解嗅鞘细胞的细胞动力学,许多实验室都在进行生长因子对嗅鞘细胞影响方面的研究。有研究发现生长因子可以有效地使嗅鞘细胞扩增,从而获得从事中枢神经系统移植研究足够的细胞数。在体外试验中表明,10ng/ml的bFGF可以诱导嗅鞘细胞,使其数量增加3倍。但是更高浓度的bFGF没有能够使嗅鞘细胞的分化率继续增加。有研究表明NGF不能促进嗅鞘细胞明显的分化。Franceschini和Barnett等报道星形胶质细胞的条件培养液可以促进嗅鞘细胞的有丝分裂,随之而来的研究揭示了该条件培养液中含有neuregulin基因的产物,如NDFβ-1、NDFβ-2、NDFβ-3等是促进嗅鞘细胞有丝分裂的因素。也有报道说GGF2和HG(heregulinβ1)也能促进嗅鞘细胞的分化。NDFβ3 and NDFα2通过抑制凋亡来促进嗅鞘细胞的存活,并且它们可诱导嗅鞘细胞成为扁平、多突起的形态。与此相一致,暴露于GGF2的嗅鞘细胞能表达更多的细胞外基质和含有更多的细胞骨架纤维,这时的细胞的突起更加强健。不像雪旺氏细胞那样对GGF2表现出很强的趋化性,GGF2对嗅鞘细胞没有趋化作用。Yan等用4种不同的生长因子单一地或以不同的组合作用于嗅鞘细胞,结果发现HG和bFGF能强有力地促进嗅鞘细胞的分化,这表明它们两者的作用是互相促进的。当HG和bFGF单独存在于培养基中时,它们促进嗅鞘细胞分化的作用可以因加入forskolin而进一步提高,后者可以增加细胞内cAMP的水平。细胞内cAMP水平与HG和bFGF所介导的细胞分化作用的关系还没有最终被阐明,虽然已知cAMP可以诱导PDGF受体的表达。让人生趣的是PDGF-B和胰岛素样生长因子-1(insulin like growth factor 1)不能促进嗅鞘细胞的分化。许多对嗅鞘细胞分化和表型有影响的生长因子,如GGF2和NDF是嗅鞘细胞自身产生的,这是一种自分泌作用。以上的这些研究为将来深入研究最终控制嗅鞘细胞生物动力学的细胞内信号通路奠定了基础。鉴于嗅鞘细胞在神经再生研究方面具有的重大意义,了解嗅鞘细胞分化、增生的机制将成为未来一个重要的研究领域。

随便看

 

离鸟网收录3541549条中英文词条,其功能与新华字典、现代汉语词典、牛津高阶英汉词典等各类中英文词典类似,基本涵盖了全部常用中英文字词句的读音、释义及用法,是语言学习和写作的有利工具。

 

Copyright © 2004-2024 vtrois.com All Rights Reserved
更新时间:2026/4/19 8:48:00