网站首页  词典首页


请输入您要查询的字词:

 

字词 上皮组织
类别 中英文字词句释义及详细解析
释义

上皮组织


上皮组织(epithelial tissues)包括覆盖于人体体表或衬在体内各种管腔性器官的内表面的被覆上皮(covering epithelium);具有分泌功能的腺上皮(glandular epithelium);能接受刺激的感觉上皮(sensory epithelium);此外,还有生殖上皮(germinal epithelium),仅见于睾丸曲细精管;肌上皮(myoepithelium),见于某些腺。它们的主要功能是保护、吸收、分泌、排泄和接受刺激。

上皮组织因其功能和所在部位不同而有不同的形态,但它们有共同的结构特征:①上皮细胞排列紧密,细胞间质少。②具有极性(polarity),即一面朝向身体表面或有腔器官的腔面,称游离面;另一面朝向深部借一薄层基膜与结缔组织相连,称基底面。③上皮组织内没有血管,其营养来自深层的结缔组织。

(一)被覆上皮的分类、结构和功能

被覆上皮的细胞排列成层,覆盖于体表或衬于体腔的内表面。细胞的形状和大小不一,从高柱状到扁平形,如与外界接触摩擦频繁的表皮由复层扁平上皮组成,浅层细胞呈现出不同程度的角化现象,因而具有较强的抗摩擦、抗渗透能力,加强其保护作用;胃肠黏膜上皮由具分泌和吸收作用的单层柱状上皮组成;而肺泡和毛细血管壁仅由一层扁平上皮组成,利于气体和物质交换。用HE(hematoxylin-eosin)染色的组织切片,见细胞核形状常与细胞形状大致相同,呈圆球形或椭圆形,且核长轴多与细胞的主轴相一致。按照上皮细胞层数分为单层上皮(simple epithelium)和复层上皮(stratified epithelium)。单层上皮,按细胞形态分为扁平、立方或柱状上皮;复层上皮,按其表面一层细胞形态可分为扁平、柱状和变移上皮。

1.单层扁平上皮 又称单层鳞状上皮(simple squamous epithelium),由一层扁平细胞构成(图2-7)。表面观,细胞多边形呈锯齿状,核为扁圆形,居中;侧面观,细胞扁平,核梭形,胞质少。单层扁平上皮被覆在胸腔、腹腔和心包腔或部分器官表面称间皮(mesothelium);衬在心血管、淋巴管腔面称内皮(endothelium)。它们表面光滑而有利于液体流动,并可避免器官之间的摩擦。薄而利于物质交换。

图2-7 单层扁平上皮(400×)

2.单层立方上皮(simple cuboidal epithelium) 由一层近似立方形细胞构成,核呈圆形,居中(图2-8)。分布于甲状腺滤泡、肾小管和卵巢表面,许多外分泌腺的腺泡细胞和小导管都为此种上皮。有吸收和分泌功能。

图2-8 单层立方上皮(400×)

3.单层柱状上皮(simple columnar epithelium) 由一层棱柱状细胞构成,游离面有微绒毛。侧面观,为长方形,核椭圆形,近基底部(图2-9)。分布于胃、肠、子宫黏膜等处。以吸收、分泌为主。

图2-9 单层柱状上皮(400×)

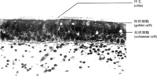
4.假复层纤毛柱状上皮(pseudostratified columnar epithelium) 由锥体形、梭形和柱状细胞组成。细胞的基部都位于同一基膜上,由于核不在同一水平面上,外观似多层,故称假复层。游离面有纤毛,细胞间夹有杯状细胞,可分泌黏液(图2-10)。主要分布于呼吸道腔面,纤毛可节律性摆动,将呼吸道内含灰尘、细菌等异物的黏液推向咽部,起到清洁保护作用。男性生殖系统副睾、输精管亦见此种上皮。

图2-10 假复层纤毛柱状上皮(400×)

5.复层扁平上皮(stratified squamous spithelium) 又称复层鳞状上皮,由多层细胞组成(图2-11)。表层细胞为扁平形,中间数层多边形细胞,为有棘突的细胞,相邻细胞的棘突彼此以桥粒(desmosome)相连,加强细胞间连接。基底为一层矮柱状细胞,具有分裂增殖能力,新生细胞向表面推移,以补充因衰老或损伤而脱落的表层细胞。按其功能可有角化复层扁平上皮(keratinized stratified squamous epithelium)和非角化复层扁平上皮(nonkeratinized stratified squamous epithelium)两种类型,前者表层角化细胞的细胞器和细胞核渐消失,胞质充满角蛋白(keratin),细胞干燥变硬,成片脱落,主要分布在皮肤(图2-12);后者浅层细胞有核,胞质含角蛋白较少。分布于口腔和食管等处。复层扁平上皮有很强的保护作用,耐受摩擦和机械、化学刺激,并可阻挡细菌、异物入侵。

图2-11 非角化复层扁平上皮(400×)

图2-12 角化的复层扁平上皮(400×)

6.变移上皮(transitional epithelium) 又称移行上皮,也是由多层细胞组成,其特点是细胞形态与层数可因所在器官处于扩张或收缩状态不同而变化。当器官充盈而扩张时,上皮变薄,细胞层数变少;排空而收缩时,上皮变厚,细胞层数变多(图2-13)。表层细胞呈较大立方形,质膜较厚,具有防止尿液侵蚀作用,称为盖细胞(tectorial cell)。分布在肾盂、肾盏、膀胱和输尿管等处,起保护作用。

图2-13 变移上皮(400×)

此外,还有复层柱状上皮(stratified columnar epithelium)和复层立方上皮(stratified cuboidal epithelium),分布在眼结膜、汗腺导管等部位。

(二)腺上皮

腺上皮(glandular epithelium)是由专门分泌液体的腺细胞(glandular cell)组成,以腺上皮为主要成分构成的独立器官称为腺(gland)。腺上皮是胚胎时期,由原始上皮形成上皮细胞索,向深层结缔组织内生长,进一步分化而成(图2-14)。腺细胞能产生一些本身不需要的物质,而这种物质排到细胞外对身体的其他组织却有重要作用。按照分泌物排出细胞的方式,可把腺分为局浆分泌腺(merocrine gland)、全浆分泌腺(holocrine gland)和顶浆分泌腺(apocrine)。局浆分泌腺(如胰腺)的分泌颗粒排出细胞时不伴有细胞胞质丢失。全浆分泌腺(如皮脂腺)分泌过程中充满分泌物的细胞发生崩溃解体,随分泌物一起排出。顶浆分泌腺(如汗腺)细胞内分泌物连同细胞顶部胞质一同释放脱落。

图2-14 外分泌腺和内分泌腺发生模式图

根据腺体有无导管及分泌物排出途径,可分为外分泌腺和内分泌腺。有导管与上皮表面相连的,分泌物经导管排到身体表面或器官腔内的为外分泌腺,如唾液腺等。无导管,其分泌物直接进入血液则称为内分泌腺,如肾上腺等。

外分泌腺(exocrine gland)由分泌部(secretory portion)和导管部(duct portion)组成(图2-15)。分泌部含具分泌作用的细胞,按其分泌物性质分为浆液腺(serous gland)、黏液腺(mucous gland)和混合腺(mixed gland)三种,浆液腺由浆液性腺细胞组成,称浆液性腺泡(serous alveolus),腺细胞呈锥体形,HE染色基底部胞质呈嗜碱性,核圆形,位于细胞近基部,细胞顶部见许多酶原颗粒,呈嗜酸性,腺分泌物稀薄含丰富的酶。黏液腺由锥体形黏液性腺细胞组成,称黏液性腺泡(mucous alveolus),HE染色,胞质内黏原颗粒多被溶解,故胞质着色浅,细胞核扁而小,位于细胞基底部,分泌物黏稠,主要为黏蛋白。混合腺由浆液性细胞和黏液性细胞组成,称混合性腺泡(mixed alveolus),以黏液性细胞为主,浆液性细胞位于黏液性细胞之间或几个细胞聚集一起位于分泌部末端,呈半月形包围着黏液性细胞,称半月(demilune)。

图2-15 腺泡与导管结构模式图

内分泌腺(endocrine gland)细胞呈团状、索状、网状或滤泡样,其分泌物激素(hormone)随血液和淋巴流往全身。每种激素只能作用于特定的含有该激素受体的细胞,激素作为化学信号,对其靶细胞的生长、代谢和功能起到重要调节作用。按激素化学性质可将内分泌细胞分为两大类:一类是含氮激素细胞;另一类是分泌类固醇激素细胞。

(三)上皮组织的特殊结构

上皮组织的游离面、侧面和基底面常分化形成一些与其功能有关的特殊结构,这些结构是由细胞质和细胞膜及细胞间质构成。

1.微绒毛(microvilli) 是位于上皮细胞表面由细胞膜和细胞质形成的指状突起(图2-16),直径约0.1μm。凡具有吸收功能的细胞都常有长而密集的微绒毛,如光学显微镜下小肠柱状上皮的纹状缘(striated border)和肾近端小管的刷状缘(brush border)。电子显微镜下,见微绒毛内含纵行的微丝,由肌动蛋白组成,其下端伸入细胞顶部胞质与水平的微丝网相连,这些水平的微丝网称为终末网(terminal web),有固定微绒毛的作用。微绒毛的主要功能是增加细胞表面积,利于吸收。

图2-16 单层柱状上皮细胞连接超微结构模式图

2.纤毛(cilium) 是细胞游离面伸出的能摆动的突起,亦由细胞膜和细胞质构成。比微绒毛粗而长,直径约0.2μm。电子显微镜下,纤毛内含多条纵行微管,微管的排列有一定的规律,中央为2条完整的微管,周围为9组成对的双联微管(图2-17),每根纤毛的基部有一基体(basal body),它能控制和调节纤毛的活动。纤毛能够有节律性地做定向摆动,将上皮表面的黏液和颗粒物质向一个方向推动。如呼吸道上皮借助其纤毛摆动,将黏液及附着的尘埃或细菌清除;输卵管上皮借助纤毛摆动将受精卵运送入子宫。但亦有一种类似纤毛的细长突起,不能摆动,结构与微绒毛近似,称静纤毛(stereocilium),主要在男性生殖管道以及内耳迷路的细胞膜上。

图2-17 纤毛横切面超微结构模式图

3.基底膜(basement membrane) 是上皮组织基底面与其深部结缔组织间的一层厚度不一的薄膜,毛细血管基底膜很薄或不连续,气管基底膜则较厚,可防止细菌入侵。基底膜具有支持、连接作用,它也是一种半透膜,具有选择性通透作用。光镜下,一般染色难以辨认。PAS反应呈阳性,银染标本的基底膜呈黑色。电镜下,它是由基板(basal lamina)和网板(reticular lamina)两层组成(图2-18):近上皮的为一层均匀致密的基板,由细丝交织组成密网和富有黏多糖的无定形基质组成,是上皮细胞的分泌产物;网板位于下方,由纤细的网状纤维和基质组成,由成纤维细胞产生。薄的基底膜一般仅有基板而无网板。

图2-18 半桥粒和基底膜超微结构模式图

4.半桥粒(hemidesmosome) 出现在上皮与结缔组织连接处,结构为桥粒的一半,加固上皮与基底膜的连接(图2-18)。

5.质膜内褶(plasma membrane infolding) 是上皮细胞基底面的细胞膜向胞体内折叠形成,其附近胞质内有大量线粒体(图2-19)。质膜内褶扩大了基底面积,有利于细胞对离子的转运。

图2-19 上皮细胞基底面质膜内褶超微结构模式图

6.连接复合体(junctional complexex) 是指两个或两个以上细胞连接同时存在而言。在细胞密集的组织,如上皮组织,其细胞侧面有一些呈点状、斑状或带状的连接结构,它们可使上皮的细胞紧密排列,相互沟通,称为细胞连接(cell junction)。它们也可见于肌细胞、骨细胞之间。按其结构功能不同,可分为紧密连接、中间连接、桥粒和缝隙连接(图2-16)。

(1)紧密连接(tight junction)又称闭锁小带(zonula occludens),位于相邻上皮细胞的最顶端,呈带状环绕细胞周围,相邻细胞的膜外层间断融合在一起,融合处相邻质膜之间没有细胞间隙。紧密连接具有封闭细胞间隙,防止细胞外物质穿入,保持机体内环境稳定的作用。

(2)中间连接(intermediate junction)又称附着小带(zonula adherens),呈连续的环带状,位于两相邻细胞膜之间,此处细胞膜间隙宽约15~20nm,其中充满电子密度较大的丝状物质,含糖蛋白和钙离子,相邻细胞膜内侧有密集交织成网的细丝(终末网)附着,加强细胞间黏合。

(3)桥粒(desmosome)又称黏着斑(macula adherens),位于中间连接深部,呈斑状连接,电镜下成盘状,相邻细胞膜间有20~30nm间隙,其中充满密度较低的丝状物质,间隙中央有一条细丝网形成的致密中线,相邻细胞膜内侧有致密物质形成附着板,板上有呈袢状的张力细丝附着,像一连串点状焊接加固了细胞间的连接。故桥粒具有很强的抗牵张力,使细胞间连接更为牢固。

(4)缝隙连接(gapjunction)又称缝管连接,由大量呈颗粒状的连接小体有规律排列而成,相邻细胞膜间仅有2~3nm间隙,每个颗粒由6个圆柱状的亚单位组成。亚单位由镶嵌蛋白组成,称为连接蛋白(connexin),其一端嵌入单位膜,另一端在细胞外面与相邻细胞连接蛋白相结合。中央为一小管,构成了细胞间通道(图2-20),允许一些离子和小分子物质通过,以传递化学信息。

图2-20 缝隙连接超微结构模式图

随便看

 

离鸟网收录3541549条中英文词条,其功能与新华字典、现代汉语词典、牛津高阶英汉词典等各类中英文词典类似,基本涵盖了全部常用中英文字词句的读音、释义及用法,是语言学习和写作的有利工具。

 

Copyright © 2004-2024 vtrois.com All Rights Reserved
更新时间:2026/4/20 8:14:33